Antibody data
- Antibody Data
- Antigen structure
- References [0]
- Comments [0]
- Validations
- Western blot [1]
- Immunocytochemistry [1]
- Immunohistochemistry [1]
Submit
Validation data
Reference
Comment
Report error
- Product number
- AM06187SU-N - Provider product page 
- Provider
- OriGene
- Product name
- FER mouse monoclonal antibody, clone 5D2C4, Ascites
- Antibody type
- Monoclonal
- Description
- FER mouse monoclonal antibody, clone 5D2C4, Ascites
- Host
- Mouse
- Conjugate
- Unconjugated
- Epitope
- FER
- Isotype
- IgG
- Antibody clone number
- 5D2C4
- Vial size
- 100 µl
				No comments: Submit comment	
	
			
							
					Supportive validation
					
									
				
				- Submitted by
- OriGene (provider)
- Main image
 
- Experimental details
- Western blot analysis using FER antibody Cat.-No AM06187SU-N against NIH/3T3 (1), A549 (2) and SK-MEL-5 (3) cell lysate.
- Validation comment
- WB
							
					Supportive validation
					
									
				
				- Submitted by
- OriGene (provider)
- Main image
 
- Experimental details
- Confocal immunofluorescence analysis of Hela cells using FER antibody Cat.-No AM06187SU-N (green). Red: Actin filaments have been labeled with Alexa Fluor-555 phalloidin. Blue: DRAQ5 fluorescent DNA dye.
- Validation comment
- IF
							
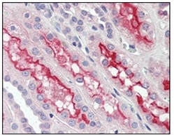
					Supportive validation
					
									
				
		- Submitted by
- OriGene (provider)
- Main image
 
- Experimental details
- Immunohistochemical analysis of paraffin-embedded human kidney tissues using FER antibody Cat.-No AM06187SU-N
- Validation comment
- IHC