25287-1-AP
antibody from Invitrogen Antibodies
		Targeting: FER
		
		PPP1R74, TYK3	
	
	
	
	Antibody data
- Antibody Data
- Antigen structure
- References [0]
- Comments [0]
- Validations
- Western blot [3]
- Immunocytochemistry [2]
- Immunohistochemistry [6]
- Flow cytometry [1]
- Other assay [1]
Submit
Validation data
Reference
Comment
Report error
- Product number
- 25287-1-AP - Provider product page 
- Provider
- Invitrogen Antibodies
- Product name
- FER Polyclonal Antibody
- Antibody type
- Polyclonal
- Antigen
- Other
- Reactivity
- Human, Mouse
- Host
- Rabbit
- Isotype
- IgG
- Vial size
- 150 µL
- Concentration
- 0.43 mg/mL
- Storage
- -20°C
				No comments: Submit comment	
	
			
							
					Supportive validation
					
									
				
				- Submitted by
- Invitrogen Antibodies (provider)
- Main image
 
- Experimental details
- A431 cells were subjected to SDS PAGE followed by western blot with 25287-1-AP (FER Antibody) at dilution of 1:1000 incubated at room temperature for 1.5 hours.
- Submitted by
- Invitrogen Antibodies (provider)
- Main image
 
- Experimental details
- NIH/3T3 cells were subjected to SDS PAGE followed by western blot with 25287-1-AP ( FER Antibody) at dilution of 1:1000 incubated at room temperature for 1.5 hours.
- Submitted by
- Invitrogen Antibodies (provider)
- Main image
 
- Experimental details
- HeLa cells were subjected to SDS PAGE followed by western blot with 25287-1-AP (FER Antibody) at dilution of 1:1000 incubated at room temperature for 1.5 hours.
							
					Supportive validation
					
									
				
				- Submitted by
- Invitrogen Antibodies (provider)
- Main image
 
- Experimental details
- Immunofluorescent analysis of MCF-7 cells using 25287-1-AP (FER antibody) at dilution of 1:50 and Alexa Fluor 488-conjugated AffiniPure Goat Anti-Rabbit IGG (H+L).
- Submitted by
- Invitrogen Antibodies (provider)
- Main image
 
- Experimental details
- Immunofluorescent analysis of MCF-7 cells using 25287-1-AP (FER antibody) at dilution of 1:50 and Alexa Fluor 488-conjugated AffiniPure Goat Anti-Rabbit IgG (H+L).
							
					Supportive validation
					
									
				
				- Submitted by
- Invitrogen Antibodies (provider)
- Main image
 
- Experimental details
- Immunohistochemistry of paraffin-embedded human colon tissue slide using 25287-1-AP (FER Antibody) at dilution of 1:50 (under 10x lens).
- Submitted by
- Invitrogen Antibodies (provider)
- Main image
 
- Experimental details
- Immunohistochemistry of paraffin-embedded human colon tissue slide using 25287-1-AP (FER Antibody) at dilution of 1:50 (under 40x lens).
- Submitted by
- Invitrogen Antibodies (provider)
- Main image
 
- Experimental details
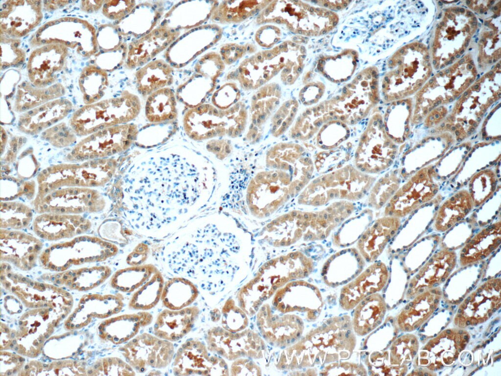
- Immunohistochemistry of paraffin-embedded human kidney tissue slide using 25287-1-AP (FER Antibody) at dilution of 1:50 (under 10x lens).
- Submitted by
- Invitrogen Antibodies (provider)
- Main image
 
- Experimental details
- Immunohistochemistry of paraffin-embedded human kidney tissue slide using 25287-1-AP (FER Antibody) at dilution of 1:50 (under 40x lens).
- Submitted by
- Invitrogen Antibodies (provider)
- Main image
 
- Experimental details
- Immunohistochemistry of paraffin-embedded human colon cancer tissue slide using 25287-1-AP ( FER Antibody) at dilution of 1:50 (under 10x lens).
- Submitted by
- Invitrogen Antibodies (provider)
- Main image
 
- Experimental details
- Immunohistochemistry of paraffin-embedded human colon cancer tissue slide using 25287-1-AP ( FER Antibody) at dilution of 1:50 (under 40x lens).
							
					Supportive validation
					
									
				
				- Submitted by
- Invitrogen Antibodies (provider)
- Main image
 
- Experimental details
- 1X10^6 Jurkat cells were stained with 0.5ug FER antibody (25287-1-AP, red) and control antibody (blue). Fixed with 90% MeOH blocked with 3% BSA (30 min). Alexa Fluor 488-conjugated AffiniPure Goat Anti-Rabbit IGG (H+L) with dilution 1:1000.
							
					Supportive validation
					
									
				
		- Submitted by
- Invitrogen Antibodies (provider)
- Main image
 
- Experimental details
- IP result of anti-FER (IP:25287-1-AP, 4ug; Detection:25287-1-AP 1:1000) with MCF-7 cells lysate 2400ug.