PAB25578
antibody from Abnova Corporation
Targeting: TAOK1
FLJ14314, KIAA1361, MAP3K16, MARKK, PSK2, TAO1
Antibody data
- Antibody Data
- Antigen structure
- References [0]
- Comments [0]
- Validations
- Immunohistochemistry [1]
Submit
Validation data
Reference
Comment
Report error
- Product number
- PAB25578 - Provider product page

- Provider
- Abnova Corporation
- Product name
- TAOK1 polyclonal antibody
- Antibody type
- Polyclonal
- Description
- Rabbit polyclonal antibody raised against synthetic peptide of TAOK1.
- Storage
- Store at 4°C. For long term storage store at -80°C.Aliquot to avoid repeated freezing and thawing.
No comments: Submit comment
Supportive validation
- Submitted by
- Abnova Corporation (provider)
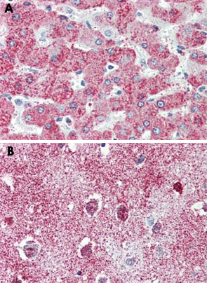
- Main image

- Experimental details
- Immunohistochemical staining of formalin-fixed, paraffin-embedded human liver (A) and human brain, cortex (B) tissue after heat-induced antigen retrieval.Using TAOK1 polyclonal antibody (Cat # PAB25578).
- Validation comment
- Immunohistochemistry (Formalin/PFA-fixed paraffin-embedded sections)