Antibody data
- Antibody Data
- Antigen structure
- References [0]
- Comments [0]
- Validations
- ELISA [1]
- Immunocytochemistry [1]
- Immunohistochemistry [2]
- Flow cytometry [1]
Submit
Validation data
Reference
Comment
Report error
- Product number
- GTX60605 - Provider product page

- Provider
- GeneTex
- Product name
- MELK antibody [2G2]
- Antibody type
- Monoclonal
- Reactivity
- Human
- Host
- Mouse
No comments: Submit comment
Supportive validation
- Submitted by
- GeneTex (provider)
- Main image

- Experimental details
- ELISA analysis of control antigen and antigen using MELK antibody [2G2].
Supportive validation
- Submitted by
- GeneTex (provider)
- Main image

- Experimental details
- ICC/IF analysis of HepG2 cells using MELK antibody [2G2] (green), Alexa Fluor-555 phalloidin (red) and DRAQ5 fluorescent DNA dye (blue).
Supportive validation
- Submitted by
- GeneTex (provider)
- Main image

- Experimental details
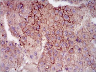
- IHC-P analysis of liver cancer tissues using MELK antibody [2G2].
- Submitted by
- GeneTex (provider)
- Main image

- Experimental details
- IHC-P analysis of rectum cancer tissues using MELK antibody [2G2].
Supportive validation
- Submitted by
- GeneTex (provider)
- Main image

- Experimental details
- FACS analysis of MCF-7 cells using MELK antibody [2G2] (green) or a negative control (red).