Antibody data
- Antibody Data
- Antigen structure
- References [2]
- Comments [0]
- Validations
- Western blot [1]
- Immunohistochemistry [1]
Submit
Validation data
Reference
Comment
Report error
- Product number
- NB110-40713 - Provider product page

- Provider
- Novus Biologicals
- Proper citation
- Novus Cat#NB110-40713, RRID:AB_715050
- Product name
- Rabbit Polyclonal PRMT6 Antibody
- Antibody type
- Polyclonal
- Description
- Immunogen affinity purified.
- Reactivity
- Human
- Host
- Rabbit
- Isotype
- IgG
- Vial size
- 100 ul
- Concentration
- 1.0 mg/ml
- Storage
- Store at 4C. Do not freeze.
Submitted references Ablation of PRMT6 reveals a role as a negative transcriptional regulator of the p53 tumor suppressor.
Arginine methylation of the histone H3 tail impedes effector binding.
Neault M, Mallette FA, Vogel G, Michaud-Levesque J, Richard S
Nucleic acids research 2012 Oct;40(19):9513-21
Nucleic acids research 2012 Oct;40(19):9513-21
Arginine methylation of the histone H3 tail impedes effector binding.
Iberg AN, Espejo A, Cheng D, Kim D, Michaud-Levesque J, Richard S, Bedford MT
The Journal of biological chemistry 2008 Feb 8;283(6):3006-10
The Journal of biological chemistry 2008 Feb 8;283(6):3006-10
No comments: Submit comment
Supportive validation
- Submitted by
- Novus Biologicals (provider)
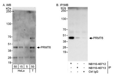
- Main image

- Experimental details
- Western Blot: PRMT6 Antibody [NB110-40713] - Detection of Human PRMT6 on HeLa whole cell lysate using NB110-40713. PRMT6 was also immunoprecipitated by rabbit anti-PRMT6 antibody NB110-40712.
Supportive validation
- Submitted by
- Novus Biologicals (provider)
- Main image

- Experimental details
- Immunohistochemistry-Paraffin: PRMT6 Antibody [NB110-40713] - Human breast carcinoma. Antibody: Affinity purified rabbit anti- PRMT6 used at a dilution of 1:5,000 (0.2 ug/ml). Detection: DAB