Antibody data
- Antibody Data
- Antigen structure
- References [0]
- Comments [0]
- Validations
- Western blot [2]
- Immunohistochemistry [5]
Submit
Validation data
Reference
Comment
Report error
- Product number
- NBP2-16772 - Provider product page

- Provider
- Novus Biologicals
- Product name
- Rabbit Polyclonal H1F0 Antibody
- Antibody type
- Polyclonal
- Description
- Immunogen affinity purified.
- Reactivity
- Human, Mouse, Rat
- Host
- Rabbit
- Isotype
- IgG
- Vial size
- 0.1 ml
- Storage
- Aliquot and store at -20C or -80C. Avoid freeze-thaw cycles.
No comments: Submit comment
Supportive validation
- Submitted by
- Novus Biologicals (provider)
- Main image

- Experimental details
- Western Blot: H1F0 Antibody [NBP2-16772] - HepG2 whole cell extracts and nuclear extracts (30 ug) were separated by 12% SDS-PAGE, and the membrane was blotted with Histone H1 antibody (NBP2-16772) at a dilution of 1:10000 and developed with Trident Sharp-ECL.
- Submitted by
- Novus Biologicals (provider)
- Main image

- Experimental details
- Western Blot: H1F0 Antibody [NBP2-16772] - Mouse tissue extracts (50 ug) was separated by 12 % SDS-PAGE, and the membrane was blotted with Histone H1 antibody diluted by 1:5000.
Supportive validation
- Submitted by
- Novus Biologicals (provider)
- Main image

- Experimental details
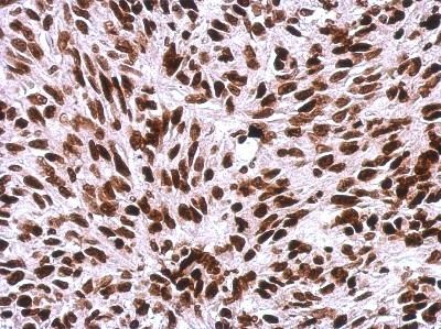
- Immunohistochemistry-Paraffin: H1F0 Antibody [NBP2-16772] - Immunohistochemical analysis of paraffin-embedded SkHep1 xenograft, using antibody at 1:500 dilution.
- Submitted by
- Novus Biologicals (provider)
- Main image

- Experimental details
- Immunohistochemistry-Paraffin: H1F0 Antibody [NBP2-16772] - Paraffin-embedded rat fore brain. Histone H1.0 antibody dilution: 1:500.
- Submitted by
- Novus Biologicals (provider)
- Main image

- Experimental details
- Immunohistochemistry-Paraffin: H1F0 Antibody [NBP2-16772] - Immunohistochemical analysis of paraffin-embedded C2C12 xenograft, using antibody at 1:500 dilution.
- Submitted by
- Novus Biologicals (provider)
- Main image

- Experimental details
- Immunohistochemistry-Paraffin: H1F0 Antibody [NBP2-16772] - Paraffin-embedded mouse brain. Histone H1.0 antibody diluted at 1:50
- Submitted by
- Novus Biologicals (provider)
- Main image

- Experimental details
- Immunohistochemistry-Paraffin: H1F0 Antibody [NBP2-16772] - Paraffin-embedded mouse brain. Histone H1.0 antibody diluted at 1:50