Antibody data
- Antibody Data
- Antigen structure
- References [0]
- Comments [0]
- Validations
- Western blot [1]
- Immunocytochemistry [2]
- Immunohistochemistry [5]
- Flow cytometry [3]
Submit
Validation data
Reference
Comment
Report error
- Product number
- TA500704 - Provider product page

- Provider
- OriGene
- Proper citation
- OriGene Cat#TA500704, RRID:AB_11126028
- Product name
- RNF144B (IBRDC2) mouse monoclonal antibody, clone OTI9H10 (formerly 9H10)
- Antibody type
- Monoclonal
- Description
- RNF144B (IBRDC2) mouse monoclonal antibody, clone OTI9H10 (formerly 9H10)
- Host
- Mouse
- Conjugate
- Unconjugated
- Epitope
- RNF144B
- Isotype
- IgG
- Antibody clone number
- OTI9H10
- Vial size
- 100 µl
- Concentration
- 0.8 mg/ml
No comments: Submit comment
Supportive validation
- Submitted by
- OriGene (provider)
- Main image

- Experimental details
- HEK293T cells were transfected with the pCMV6-ENTRY control (Left lane) or pCMV6-ENTRY RNF144B (RC209302, Right lane) cDNA for 48 hrs and lysed. Equivalent amounts of cell lysates (5 ug per lane) were separated by SDS-PAGE and immunoblotted with anti-RNF144B.
- Validation comment
- WB
Supportive validation
- Submitted by
- OriGene (provider)
- Main image

- Experimental details
- Immunofluorescent staining of HeLa cells using anti-RNF144B mouse monoclonal antibody (TA500704).
- Validation comment
- IF
- Submitted by
- OriGene (provider)
- Main image

- Experimental details
- Anti-RNF144B mouse monoclonal antibody (TA500704) immunofluorescent staining of COS7 cells transiently transfected by pCMV6-ENTRY RNF144B(RC209302).
- Validation comment
- IF
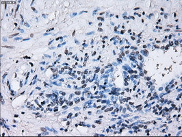
Supportive validation
- Submitted by
- OriGene (provider)
- Main image

- Experimental details
- Immunohistochemical staining of paraffin-embedded Human endometrium tissue within the normal limits using anti-RNF144B mouse monoclonal antibody. (Heat-induced epitope retrieval by 10mM citric buffer, pH6.0, 100C for 10min, TA500704)
- Validation comment
- IHC
- Submitted by
- OriGene (provider)
- Main image

- Experimental details
- Immunohistochemical staining of paraffin-embedded Human colon tissue within the normal limits using anti-RNF144B mouse monoclonal antibody. (Heat-induced epitope retrieval by 10mM citric buffer, pH6.0, 100C for 10min, TA500704)
- Validation comment
- IHC
- Submitted by
- OriGene (provider)
- Main image

- Experimental details
- Immunohistochemical staining of paraffin-embedded Human prostate tissue within the normal limits using anti-RNF144B mouse monoclonal antibody. (Heat-induced epitope retrieval by 10mM citric buffer, pH6.0, 100C for 10min, TA500704)
- Validation comment
- IHC
- Submitted by
- OriGene (provider)
- Main image

- Experimental details
- Immunohistochemical staining of paraffin-embedded Human Ovary tissue within the normal limits using anti-RNF144B mouse monoclonal antibody. (Heat-induced epitope retrieval by 10mM citric buffer, pH6.0, 100C for 10min, TA500704)
- Validation comment
- IHC
- Submitted by
- OriGene (provider)
- Main image

- Experimental details
- Immunohistochemical staining of paraffin-embedded Human Kidney tissue within the normal limits using anti-RNF144B mouse monoclonal antibody. (Heat-induced epitope retrieval by 10mM citric buffer, pH6.0, 100C for 10min, TA500704)
- Validation comment
- IHC
Supportive validation
- Submitted by
- OriGene (provider)
- Main image

- Experimental details
- HEK293T cells transfected with either RC209302 overexpress plasmid(Red) or empty vector control plasmid(Blue) were immunostained by anti-RNF144B antibody(TA500704), and then analyzed by flow cytometry.
- Validation comment
- FC
- Submitted by
- OriGene (provider)
- Main image

- Experimental details
- Flow cytometric Analysis of Hela cells, using anti-RNF144B antibody(TA500704),(Red), compared to a nonspecific negative control antibody,(Blue).
- Validation comment
- FC
- Submitted by
- OriGene (provider)
- Main image

- Experimental details
- Flow cytometric Analysis of Jurkat cells, using anti-RNF144B antibody(TA500704),(Red), compared to a nonspecific negative control antibody,(Blue).
- Validation comment
- FC