Antibody data
- Antibody Data
- Antigen structure
- References [0]
- Comments [0]
- Validations
- Western blot [2]
- Immunocytochemistry [2]
- Immunohistochemistry [7]
Submit
Validation data
Reference
Comment
Report error
- Product number
- PA5-53549 - Provider product page

- Provider
- Invitrogen Antibodies
- Product name
- SQRDL Polyclonal Antibody
- Antibody type
- Polyclonal
- Antigen
- Recombinant protein fragment
- Description
- Immunogen sequence: TSPVADAAGW VDVDKETLQH RRYPNVFGIG DCTNLPTSKT AAAVAAQSGI LDRTISVIMK NQTPTKKYDG YTSCPLVTGY NRVILAEFDY KAEPLETFPF DQSKERLSMY LMKADLMPFL YWNMMLRGYW G Highest antigen sequence identity to the following orthologs: Mouse - 89%, Rat - 93%.
- Reactivity
- Human, Mouse
- Host
- Rabbit
- Isotype
- IgG
- Vial size
- 100 μL
- Concentration
- 0.30 mg/mL
- Storage
- Store at 4°C short term. For long term storage, store at -20°C, avoiding freeze/thaw cycles.
No comments: Submit comment
Supportive validation
- Submitted by
- Invitrogen Antibodies (provider)
- Main image

- Experimental details
- Western blot analysis of SQRDL in human cell line U-2197 using a SQRDL Polyclonal Antibody (Product # PA5-53549).
- Submitted by
- Invitrogen Antibodies (provider)
- Main image

- Experimental details
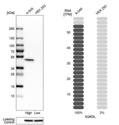
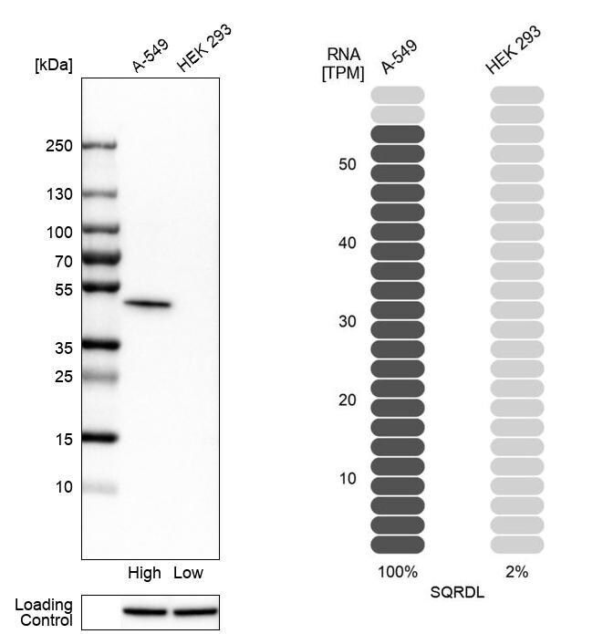
- Western blot analysis of SQRDL in human cell lines A-549 and HEK293 using a SQRDL Polyclonal Antibody (Product # PA5-53549). Corresponding SQRDL RNA-seq data are presented for the same cell lines. Loading control: Anti-HSP90B1.
Supportive validation
- Submitted by
- Invitrogen Antibodies (provider)
- Main image

- Experimental details
- Immunofluorescent staining of SQRDL in human cell line A549 shows positivity in mitochondria. Samples were probed using a SQRDL Polyclonal Antibody (Product # PA5-53549).
- Submitted by
- Invitrogen Antibodies (provider)
- Main image

- Experimental details
- Immunofluorecent analysis of SQRDL in human cell line A549 using SQRDL Polyclonal Antibody (Product # PA5-53549). Staining shows localization to mitochondria.
Supportive validation
- Submitted by
- Invitrogen Antibodies (provider)
- Main image

- Experimental details
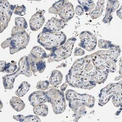
- Immunohistochemical staining of SQRDL in human placenta using SQRDL Polyclonal Antibody (Product # PA5-53549) shows low expression as expected.
- Submitted by
- Invitrogen Antibodies (provider)
- Main image

- Experimental details
- Immunohistochemical analysis of SQRDL in human prostate using SQRDL Polyclonal Antibody (Product # PA5-53549) shows strong granular cytoplasm positivity in glandular cells.
- Submitted by
- Invitrogen Antibodies (provider)
- Main image

- Experimental details
- Immunohistochemical analysis of SQRDL in human lymphoid tissues using SQRDL Polyclonal Antibody (Product # PA5-53549) shows strong positivity in cytoplasm granular in non-germinal center cells.
- Submitted by
- Invitrogen Antibodies (provider)
- Main image

- Experimental details
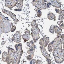
- Immunohistochemical analysis of SQRDL in human placenta using SQRDL Polyclonal Antibody (Product # PA5-53549) shows very weak granular cytoplasm positivity in trophoblastic cells.
- Submitted by
- Invitrogen Antibodies (provider)
- Main image

- Experimental details
- Immunohistochemical staining of SQRDL in human rectum using a SQRDL Polyclonal Antibody (Product # PA5-53549) shows strong cytoplasmic positivity with a granular pattern in glandular cells.
- Submitted by
- Invitrogen Antibodies (provider)
- Main image

- Experimental details
- Immunohistochemical staining of SQRDL in human colon using SQRDL Polyclonal Antibody (Product # PA5-53549) shows high expression.
- Submitted by
- Invitrogen Antibodies (provider)
- Main image

- Experimental details
- Immunohistochemical analysis of SQRDL in human lymphoid tissues using SQRDL Polyclonal Antibody (Product # PA5-53549) shows strong positivity in cytoplasm granular in non-germinal center cells.