Antibody data
- Antibody Data
- Antigen structure
- References [0]
- Comments [0]
- Validations
- Western blot [1]
- Immunohistochemistry [6]
Submit
Validation data
Reference
Comment
Report error
- Product number
- MA5-46948 - Provider product page 
- Provider
- Invitrogen Antibodies
- Product name
- PARP14 Recombinant Rabbit Monoclonal Antibody (HL1178)
- Antibody type
- Monoclonal
- Antigen
- Recombinant full-length protein
- Description
- Store as concentrated solution. Centrifuge briefly prior to opening vial.
- Reactivity
- Human, Mouse, Rat
- Host
- Rabbit
- Isotype
- IgG
- Antibody clone number
- HL1178
- Vial size
- 100 μL
- Concentration
- 1 mg/mL
- Storage
- Store at 4°C short term. For long term storage, store at -20°C, avoiding freeze/thaw cycles.
				No comments: Submit comment	
	
			
							
					Supportive validation
					
									
				
				- Submitted by
- Invitrogen Antibodies (provider)
- Main image
 
- Experimental details
- Western blot analysis of PARP14 in Various whole cell extracts (30 µg) separated by 5% SDS-PAGE. Membrane was blotted with PARP14 Monoclonal antibody (Product # MA5-46948) using a dilution of 1:1,000 followed by HRP-conjugated anti-rabbit IgG secondary antibody.
							
					Supportive validation
					
									
				
		- Submitted by
- Invitrogen Antibodies (provider)
- Main image
 
- Experimental details
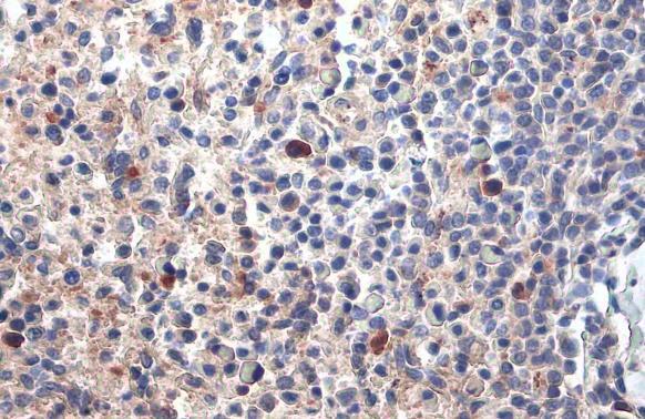
- Immunohistochemistry analysis of PARP14 in paraffin-embedded human spleen. Samples were incubated in PARP14 Monoclonal antibody (Product # MA5-46948). Antigen Retrieval: Citrate buffer, pH 6.0, 15 min.
- Submitted by
- Invitrogen Antibodies (provider)
- Main image
 
- Experimental details
- Immunohistochemistry analysis of PARP14 in paraffin-embedded mouse tissue. Samples were incubated in PARP14 Monoclonal antibody (Product # MA5-46948). Antigen Retrieval: Citrate buffer, pH 6.0, 15 min.
- Submitted by
- Invitrogen Antibodies (provider)
- Main image
 
- Experimental details
- Immunohistochemistry analysis of PARP14 in paraffin-embedded rat tissue. Samples were incubated in PARP14 Monoclonal antibody (Product # MA5-46948). Antigen Retrieval: Citrate buffer, pH 6.0, 15 min.
- Submitted by
- Invitrogen Antibodies (provider)
- Main image
 
- Experimental details
- Immunohistochemistry analysis of PARP14 in paraffin-embedded mouse tissue. Samples were incubated in PARP14 Monoclonal antibody (Product # MA5-46948). Antigen Retrieval: Citrate buffer, pH 6.0, 15 min.
- Submitted by
- Invitrogen Antibodies (provider)
- Main image
 
- Experimental details
- Immunohistochemistry analysis of PARP14 in paraffin-embedded rat tissue. Samples were incubated in PARP14 Monoclonal antibody (Product # MA5-46948). Antigen Retrieval: Citrate buffer, pH 6.0, 15 min.
- Submitted by
- Invitrogen Antibodies (provider)
- Main image
 
- Experimental details
- Immunohistochemistry analysis of PARP14 in paraffin-embedded human spleen. Samples were incubated in PARP14 Monoclonal antibody (Product # MA5-46948). Antigen Retrieval: Citrate buffer, pH 6.0, 15 min.