Antibody data
- Antibody Data
- Antigen structure
- References [0]
- Comments [0]
- Validations
- Western blot [1]
- Immunocytochemistry [2]
- Immunohistochemistry [3]
- Flow cytometry [1]
Submit
Validation data
Reference
Comment
Report error
- Product number
- RQ7425 - Provider product page

- Provider
- NSJ Bioreagents
- Product name
- Delta-5 desaturase Antibody / FADS1 / Fatty acid desaturase 1
- Antibody type
- Polyclonal
- Description
- This highly specific Delta-5 desaturase antibody is suitable for use in Western blot/Immunohistochemistry/Flow cytometry/Immunofluorescence/Direct ELISA applications with human samples.
- Reactivity
- Human
- Host
- Rabbit
- Conjugate
- Unconjugated
- Vial size
- 100 ug
- Concentration
- 0.5mg/ml if reconstituted with 0.2ml sterile DI water
- Storage
- After reconstitution, the Delta-5 desaturase antibody can be stored for up to one month at 4oC. For long-term, aliquot and store at -20oC. Avoid repeated freezing and thawing.
No comments: Submit comment
Supportive validation
- Submitted by
- NSJ Bioreagents (provider)
- Main image

- Experimental details
- Western blot testing of human 1) HepG2, 2) A549, 3) Jurkat and 4) HeLa cell lysate with Delta-5 desaturase antibody. Predicted molecular weight: ~52 kDa.
Supportive validation
- Submitted by
- NSJ Bioreagents (provider)
- Main image

- Experimental details
- Immunofluorescent staining of FFPE human liver cancer tissue with Delta-5 desaturase antibody (red) and DAPI nuclear stain (blue). HIER: steam section in pH8 EDTA buffer for 20 min.
- Submitted by
- NSJ Bioreagents (provider)
- Main image

- Experimental details
- Immunofluorescent staining of FFPE human ovarian cancer tissue with Delta-5 desaturase antibody (red) and DAPI nuclear stain (blue). HIER: steam section in pH8 EDTA buffer for 20 min.
Supportive validation
- Submitted by
- NSJ Bioreagents (provider)
- Main image

- Experimental details
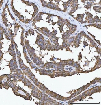
- IHC staining of FFPE human liver cancer tissue with Delta-5 desaturase antibody. HIER: boil tissue sections in pH8 EDTA for 20 min and allow to cool before testing.
- Submitted by
- NSJ Bioreagents (provider)
- Main image

- Experimental details
- IHC staining of FFPE human lung cancer tissue with Delta-5 desaturase antibody. HIER: boil tissue sections in pH8 EDTA for 20 min and allow to cool before testing.
- Submitted by
- NSJ Bioreagents (provider)
- Main image

- Experimental details
- IHC staining of FFPE human ovarian cancer tissue with Delta-5 desaturase antibody. HIER: boil tissue sections in pH8 EDTA for 20 min and allow to cool before testing.
Supportive validation
- Submitted by
- NSJ Bioreagents (provider)
- Main image

- Experimental details
- Flow cytometry testing of human SiHa cells with Delta-5 desaturase antibody at 1ug/million cells (blocked with goat sera); Red=cells alone, Green=isotype control, Blue= Delta-5 desaturase antibody.