Antibody data
- Antibody Data
- Antigen structure
- References [0]
- Comments [0]
- Validations
- Western blot [2]
- Immunohistochemistry [6]
Submit
Validation data
Reference
Comment
Report error
- Product number
- LS-C344019 - Provider product page

- Provider
- LSBio
- Product name
- SIRT2 / Sirtuin 2 Antibody (aa165-187) LS-C344019
- Antibody type
- Polyclonal
- Description
- Immunogen affinity purified
- Reactivity
- Human, Mouse, Rat, Simian
- Host
- Rabbit
- Storage
- At -20°C for 1 year. After reconstitution, at 4°C for 1 month. It can also be aliquotted and stored frozen at -20°C for a longer time. Avoid freeze-thaw cycles.
No comments: Submit comment
Enhanced validation
- Submitted by
- LSBio (provider)
- Enhanced method
- Genetic validation
- Main image

- Experimental details
- SIRT2 antibody Western blot. All lanes: Anti SIRT2 at 0.5 ug/ml. WB: Recombinant Human SIRT2 Protein 0.5ng. Predicted band size: 39 kD. Observed band size: 39 kD.
- Submitted by
- LSBio (provider)
- Enhanced method
- Genetic validation
- Main image

- Experimental details
- SIRT2 antibody Western blot. All lanes: Anti SIRT2 at 0.5 ug/ml. Lane 1: Rat Spleen Tissue Lysate at 50 ug. Lane 2: HELA Whole Cell Lysate at 40 ug. Lane 3: A549 Whole Cell Lysate at 40 ug. Predicted band size: 43 kD . Observed band size: 43 kD.
Supportive validation
- Submitted by
- LSBio (provider)
- Enhanced method
- Genetic validation
- Main image

- Experimental details
- SIRT2 antibody IHC-paraffin: Mouse Brain Tissue.
- Submitted by
- LSBio (provider)
- Enhanced method
- Genetic validation
- Main image

- Experimental details
- SIRT2 antibody IHC-paraffin: Rat Brain Tissue.
- Submitted by
- LSBio (provider)
- Enhanced method
- Genetic validation
- Main image

- Experimental details
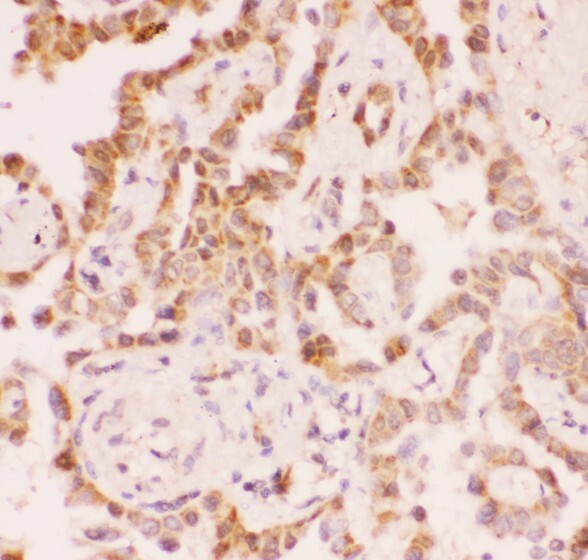
- SIRT2 antibody IHC-paraffin: Human Lung Cancer Tissue.
- Submitted by
- LSBio (provider)
- Enhanced method
- Genetic validation
- Main image

- Experimental details
- SIRT2 antibody IHC-paraffin: Rat Brain Tissue.
- Submitted by
- LSBio (provider)
- Enhanced method
- Genetic validation
- Main image

- Experimental details
- SIRT2 antibody IHC-paraffin: Human Lung Cancer Tissue.
- Submitted by
- LSBio (provider)
- Enhanced method
- Genetic validation
- Main image

- Experimental details
- SIRT2 antibody IHC-paraffin: Mouse Brain Tissue.