Antibody data
- Antibody Data
- Antigen structure
- References [0]
- Comments [0]
- Validations
- Western blot [1]
- Immunohistochemistry [2]
Submit
Validation data
Reference
Comment
Report error
- Product number
- PA5-120888 - Provider product page

- Provider
- Invitrogen Antibodies
- Product name
- NLGN4Y Polyclonal Antibody
- Antibody type
- Polyclonal
- Antigen
- Recombinant full-length protein
- Description
- Positive test controls include: U-87MG, U-251MG, HeLa, A-549, Mouse brain, Mouse testis, Rat brain, Rat testis. The target is usually found in the following locations: Cell junction, Cell membrane, Single-pass type I membrane protein, postsynaptic cell membrane, postsynaptic density, synapse. Immunogen sequence: DMLPIWFTTS LDTLMTYVQD QNEDCLYLNI YVPMEDGTNI KRNADDITSN DHGEDKDIHE QNSKKPVMVY IHGGSYMEGT GNMIDGSILA SYGNVIVITI NYRLGILGMQ EARLCGSSKM FNYFKSPFTN LINFF
- Reactivity
- Human, Mouse, Rat
- Host
- Rabbit
- Isotype
- IgG
- Vial size
- 100 μL
- Concentration
- 1.14 mg/mL
- Storage
- -20°C, Avoid Freeze/Thaw Cycles
No comments: Submit comment
Supportive validation
- Submitted by
- Invitrogen Antibodies (provider)
- Main image

- Experimental details
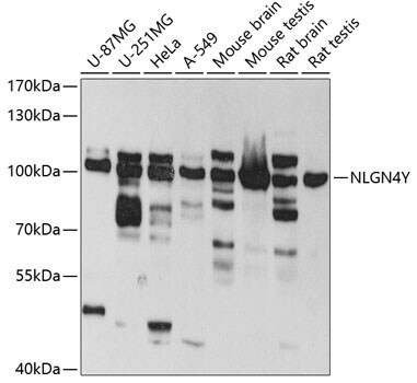
- Western blot analysis of NLGN4Y in extracts of various cell lines. Samples were incubated with NLGN4Y Polyclonal antibody (Product # PA5-120888) using a dilution of 1:1,000, followed by HRP Goat Anti-Rabbit IgG (H+L) at a dilution of 1:10,000. Lysates/proteins: 25 µg per lane. Blocking buffer: 3% nonfat dry milk in TBST. Detection: ECL Basic Kit. Exposure time: 30s.
Supportive validation
- Submitted by
- Invitrogen Antibodies (provider)
- Main image

- Experimental details
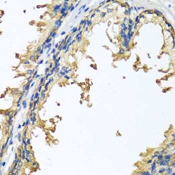
- Immunohistochemistry analysis of NLGN4Y in paraffin-embedded human prostate. Samples were incubated with NLGN4Y Polyclonal antibody (Product # PA5-120888) using a dilution of 1:100 (40x lens). Perform microwave antigen retrieval with 10 mM PBS buffer pH 7.2 before commencing with IHC staining protocol.
- Submitted by
- Invitrogen Antibodies (provider)
- Main image

- Experimental details
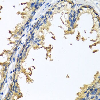
- Immunohistochemistry analysis of NLGN4Y in paraffin-embedded human prostate. Samples were incubated with NLGN4Y Polyclonal antibody (Product # PA5-120888) using a dilution of 1:100 (40x lens). Perform microwave antigen retrieval with 10 mM PBS buffer pH 7.2 before commencing with IHC staining protocol.