Antibody data
- Antibody Data
- Antigen structure
- References [4]
- Comments [0]
- Validations
- Immunohistochemistry [1]
Submit
Validation data
Reference
Comment
Report error
- Product number
- PA1006 - Provider product page

- Provider
- Boster Biological Technology
- Product name
- Anti-Annexin A1/ANXA1 Antibody
- Antibody type
- Polyclonal
- Description
- Polyclonal antibody for ANNEXIN I/ANXA1 detection. Host: Rabbit.Size: 100μg/vial. Tested applications: WB, IHC-P, ICC/IF, FCM. Reactive species: Human. ANNEXIN I/ANXA1 information: Molecular Weight: 38714 MW; Subcellular Localization: Nucleus . Cytoplasm . Cell projection, cilium . Basolateral cell membrane . Found in the cilium, nucleus and basolateral cell membrane of ciliated cells in the tracheal endothelium. Found in the cytoplasm of type II pneumocytes and alveolar macrophages.
- Reactivity
- Human
- Host
- Rabbit
- Vial size
- 100μg/vial
- Concentration
- Add 0.2ml of distilled water will yield a concentration of 500ug/ml.
- Storage
- At -20°C for one year. After reconstitution, at 4°C for one month. It can also be aliquoted and stored frozen at -20°C for a longer time. Avoid repeated freezing and thawing.
- Handling
- Add 0.2ml of distilled water will yield a concentration of 500ug/ml.
Submitted references Trafficking of Annexins during Membrane Repair in Human Skeletal Muscle Cells.
Germacrone Regulates HBXIP-Mediated Cell Cycle, Apoptosis and Promotes the Formation of Autophagosomes to Inhibit the Proliferation of Gastric Cancer Cells.
Defective membrane repair machinery impairs survival of invasive cancer cells.
Membrane repair of human skeletal muscle cells requires Annexin-A5.
Croissant C, Gounou C, Bouvet F, Tan S, Bouter A
Membranes 2022 Jan 26;12(2)
Membranes 2022 Jan 26;12(2)
Germacrone Regulates HBXIP-Mediated Cell Cycle, Apoptosis and Promotes the Formation of Autophagosomes to Inhibit the Proliferation of Gastric Cancer Cells.
Fang X, Tan T, Gao B, Zhao Y, Liu T, Xia Q
Frontiers in oncology 2020;10:537322
Frontiers in oncology 2020;10:537322
Defective membrane repair machinery impairs survival of invasive cancer cells.
Bouvet F, Ros M, Bonedeau E, Croissant C, Frelin L, Saltel F, Moreau V, Bouter A
Scientific reports 2020 Dec 11;10(1):21821
Scientific reports 2020 Dec 11;10(1):21821
Membrane repair of human skeletal muscle cells requires Annexin-A5.
Carmeille R, Bouvet F, Tan S, Croissant C, Gounou C, Mamchaoui K, Mouly V, Brisson AR, Bouter A
Biochimica et biophysica acta 2016 Sep;1863(9):2267-79
Biochimica et biophysica acta 2016 Sep;1863(9):2267-79
No comments: Submit comment
Supportive validation
- Submitted by
- Boster Biological Technology (provider)
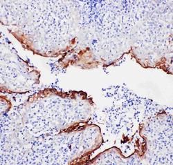
- Main image

- Experimental details
- Anti-Annexin A1 antibody, PA1006, IHC(P)IHC(P): Human Placenta Tissue
- Additional image
