Antibody data
- Antibody Data
 - Antigen structure
 - References [5]
 - Comments [0]
 - Validations
 - Western blot [1]
 - Immunohistochemistry [2]
 
Submit
Validation data
Reference
Comment
Report error
- Product number
 - 10324-1-AP - Provider product page

 - Provider
 - Proteintech Group
 - Proper citation
 - Proteintech Cat#10324-1-AP, RRID:AB_2166830
 - Product name
 - MYL12B antibody
 - Antibody type
 - Polyclonal
 - Description
 - MYL12B antibody (Cat. #10324-1-AP) is a rabbit polyclonal antibody that shows reactivity with human, mouse, rat and has been validated for the following applications: IHC, WB,ELISA.
 - Reactivity
 - Human, Mouse, Rat
 - Host
 - Rabbit
 - Conjugate
 - Unconjugated
 - Isotype
 - IgG
 - Vial size
 - 20ul, 150ul
 
Submitted references		Long-Term Experimental Hyperglycemia Does Not Impair Macrovascular Endothelial Barrier Integrity and Function in vitro.
				
Western Blotting-Based Quantitative Measurement of Myosin II Regulatory Light Chain Phosphorylation in Small Amounts of Non-muscle Cells.
				
Design of peptidase-resistant peptide inhibitors of myosin light chain kinase.
				
Analysis of the role of Ser1/Ser2/Thr9 phosphorylation on myosin II assembly and function in live cells.
				
Multiple regulatory steps control mammalian nonmuscle myosin II assembly in live cells.
				
		
	
			Khapchaev AY, Antonova OA, Kazakova OA, Samsonov MV, Vorotnikov AV, Shirinsky VP
Biochemistry. Biokhimiia 2023 Aug;88(8):1126-1138
		Biochemistry. Biokhimiia 2023 Aug;88(8):1126-1138
Western Blotting-Based Quantitative Measurement of Myosin II Regulatory Light Chain Phosphorylation in Small Amounts of Non-muscle Cells.
			Kazakova OA, Khapchaev AY, Ragimov AA, Salimov EL, Shirinsky VP
Biochemistry. Biokhimiia 2019 Jan;84(1):11-19
		Biochemistry. Biokhimiia 2019 Jan;84(1):11-19
Design of peptidase-resistant peptide inhibitors of myosin light chain kinase.
			Khapchaev AY, Kazakova OA, Samsonov MV, Sidorova MV, Bushuev VN, Vilitkevich EL, Az'muko AA, Molokoedov AS, Bespalova ZD, Shirinsky VP
Journal of peptide science : an official publication of the European Peptide Society 2016 Nov;22(11-12):673-681
		Journal of peptide science : an official publication of the European Peptide Society 2016 Nov;22(11-12):673-681
Analysis of the role of Ser1/Ser2/Thr9 phosphorylation on myosin II assembly and function in live cells.
			Beach JR, Licate LS, Crish JF, Egelhoff TT
BMC cell biology 2011 Dec 2;12:52
		BMC cell biology 2011 Dec 2;12:52
Multiple regulatory steps control mammalian nonmuscle myosin II assembly in live cells.
			Breckenridge MT, Dulyaninova NG, Egelhoff TT
Molecular biology of the cell 2009 Jan;20(1):338-47
		Molecular biology of the cell 2009 Jan;20(1):338-47
				No comments: Submit comment	
	
			
							
					Supportive validation
					
									
				
				- Submitted by
 - Proteintech Group (provider)
 - Main image
 
- Experimental details
 - mouse skeletal muscle tissue were subjected to SDS PAGE followed by western blot with 10324-1-AP(MYL12B antibody) at dilution of 1:1000
 - Sample type
 - tissue
 
							
					Supportive validation
					
									
				
		
		- Submitted by
 - Proteintech Group (provider)
 - Main image
 
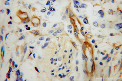
- Experimental details
 - Immunohistochemical of paraffin-embedded human colon cancer using 10324-1-AP(MYL12B antibody) at dilution of 1:100 (under 10x lens)
 - Sample type
 - tissue
 
- Submitted by
 - Proteintech Group (provider)
 - Main image
 
- Experimental details
 - The MYL12B antibody from Proteintech is a rabbit polyclonal antibody to a recombinant protein of human MYL12B. This antibody recognizes human, mouse, rat antigen. The MYL12B antibody has been validated for the following applications: ELISA, WB, IHC analysis.