Antibody data
- Antibody Data
- Antigen structure
- References [0]
- Comments [0]
- Validations
- Western blot [1]
- ELISA [1]
- Immunocytochemistry [1]
- Immunohistochemistry [2]
Submit
Validation data
Reference
Comment
Report error
- Product number
- AM06651SU-N - Provider product page

- Provider
- Acris Antibodies GmbH
- Proper citation
- Acris Antibodies GmbH Cat#AM06651SU-N, RRID:AB_11215983
- Product name
- anti DLGAP1 / SAPAP1
- Antibody type
- Monoclonal
- Antigen
- Purified recombinant fragment of human GKAP expressed in E. Coli.
- Reactivity
- Human
- Host
- Mouse
- Isotype
- IgG
- Antibody clone number
- 3G4
- Vial size
- 0.1 ml
No comments: Submit comment
Supportive validation
- Submitted by
- Acris Antibodies GmbH (provider)
- Main image

- Experimental details
- Western blot analysis using GKAP mAb against HEK293 (1) and GKAP(AA: 490-663)-hIgGFc transfected HEK293 (2) cell lysate.
Supportive validation
- Submitted by
- Acris Antibodies GmbH (provider)
- Main image

- Experimental details
- Red: Control Antigen (100ng)Purple: Antigen (10ng)Green: Antigen (50ng)Blue: Antigen (100ng)
Supportive validation
- Submitted by
- Acris Antibodies GmbH (provider)
- Main image

- Experimental details
- Immunofluorescence analysis of NIH/3T3 cells using GKAP mouse mAb (green). Blue: DRAQ5 fluorescent DNA dye. Red: Actin filaments have been labeled with Alexa Fluor-555 phalloidin.
Supportive validation
- Submitted by
- Acris Antibodies GmbH (provider)
- Main image

- Experimental details
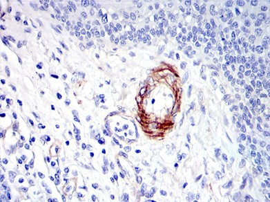
- Immunohistochemical analysis of paraffin-embedded human esophagus tissues using GKAP mouse mAb with DAB staining.
- Submitted by
- Acris Antibodies GmbH (provider)
- Main image

- Experimental details
- Immunohistochemical analysis of paraffin-embedded human liver cancer tissues using GKAP mouse mAb with DAB staining.