Antibody data
- Antibody Data
- Antigen structure
- References [0]
- Comments [0]
- Validations
- Western blot [1]
- Immunohistochemistry [5]
Submit
Validation data
Reference
Comment
Report error
- Product number
- NBP1-89372 - Provider product page

- Provider
- Novus Biologicals
- Proper citation
- Novus Cat#NBP1-89372, RRID:AB_11056645
- Product name
- Rabbit Polyclonal EPB41L3 Antibody
- Antibody type
- Polyclonal
- Description
- Immunogen affinity purified. Specificity of human EPB41L3 antibody verified on a Protein Array containing target protein plus 383 other non-specific proteins.
- Reactivity
- Human
- Host
- Rabbit
- Isotype
- IgG
- Vial size
- 0.1 ml
- Storage
- Store at 4C short term. Aliquot and store at -20C long term. Avoid freeze-thaw cycles.
No comments: Submit comment
Supportive validation
- Submitted by
- Novus Biologicals (provider)
- Main image

- Experimental details
- Western Blot: EPB41L3 Antibody [NBP1-89372] - Lane 1: Marker [kDa] 230, 130, 95, 72, 56, 36, 28, 17, 11. Lane 2: Human cell line RT-4. Lane 3: Human cell line U-251MG sp
Supportive validation
- Submitted by
- Novus Biologicals (provider)
- Main image

- Experimental details
- Immunohistochemistry-Paraffin: EPB41L3 Antibody [NBP1-89372] - Staining of human kidney shows moderate cytoplasmic and membranous positivity in cells of tubules.
- Submitted by
- Novus Biologicals (provider)
- Main image

- Experimental details
- Immunohistochemistry-Paraffin: EPB41L3 Antibody [NBP1-89372] - Staining of human skeletal muscle shows low expression as expected.
- Submitted by
- Novus Biologicals (provider)
- Main image

- Experimental details
- Immunohistochemistry-Paraffin: EPB41L3 Antibody [NBP1-89372] - Staining in human testis and skeletal muscle tissues using anti-EPB41L3 antibody. Corresponding EPB41L3 RNA-seq data are presented for the same tissues.
- Submitted by
- Novus Biologicals (provider)
- Main image

- Experimental details
- Immunohistochemistry-Paraffin: EPB41L3 Antibody [NBP1-89372] - Staining of human testis shows high expression.
- Submitted by
- Novus Biologicals (provider)
- Main image

- Experimental details
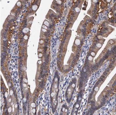
- Immunohistochemistry-Paraffin: EPB41L3 Antibody [NBP1-89372] - Staining of human gastrointestinal shows moderate to strong cytoplasmic and membranous positivity in glandular cells.