Antibody data
- Antibody Data
- Antigen structure
- References [0]
- Comments [0]
- Validations
- Western blot [2]
- Immunocytochemistry [1]
- Immunoprecipitation [1]
- Immunohistochemistry [6]
- Flow cytometry [2]
Submit
Validation data
Reference
Comment
Report error
- Product number
- TA500893 - Provider product page

- Provider
- OriGene
- Proper citation
- OriGene Cat#TA500893, RRID:AB_11126824
- Product name
- Anti-RALBP1 (RIP1) mouse monoclonal antibody, clone OTI11B2 (formerly 11B2)
- Antibody type
- Monoclonal
- Description
- Anti-RALBP1 (RIP1) mouse monoclonal antibody, clone OTI11B2 (formerly 11B2)
- Reactivity
- Canine
- Host
- Mouse
- Conjugate
- Unconjugated
- Epitope
- RALBP1
- Isotype
- IgG
- Antibody clone number
- OTI11B2
- Vial size
- 100 µl
- Concentration
- 0.84 mg/ml
No comments: Submit comment
Supportive validation
- Submitted by
- OriGene (provider)
- Main image

- Experimental details
- HEK293T cells were transfected with the pCMV6-ENTRY control (Left lane) or pCMV6-ENTRY RALBP1 (RC201524, Right lane) cDNA for 48 hrs and lysed. Equivalent amounts of cell lysates (5 ug per lane) were separated by SDS-PAGE and immunoblotted with anti-RALBP1.
- Validation comment
- WB
- Submitted by
- OriGene (provider)
- Main image

- Experimental details
- Western blot analysis of extracts (35ug) from 9 different cell lines by using anti-RALBP1 monoclonal antibody.
- Validation comment
- WB
Supportive validation
- Submitted by
- OriGene (provider)
- Main image

- Experimental details
- Anti-RALBP1 mouse monoclonal antibody (TA500893) immunofluorescent staining of COS7 cells transiently transfected by pCMV6-ENTRY RALBP1(RC201524).
- Validation comment
- IF
Supportive validation
- Submitted by
- OriGene (provider)
- Main image

- Experimental details
- Immunoprecipitation(IP) of RALBP1 by using TrueMab monoclonal anti-RALBP1 antibodies (Negative control: IP without adding anti-RALBP1 antibody.). For each experiment, 500ul of DDK tagged RALBP1 overexpression lysates (at 1:5 dilution with HEK293T lysate),
- Validation comment
- IP
Supportive validation
- Submitted by
- OriGene (provider)
- Main image

- Experimental details
- Immunohistochemical staining of paraffin-embedded breast tissue within the normal limits using anti-RALBP1 mouse monoclonal antibody. (Heat-induced epitope retrieval by 10mM citric buffer, pH6.0, 100C for 10min, TA500893, Dilution 1:50)
- Validation comment
- IHC
- Submitted by
- OriGene (provider)
- Main image

- Experimental details
- Immunohistochemical staining of paraffin-embedded Ovary tissue within the normal limits using anti-RALBP1mouse monoclonal antibody. (Heat-induced epitope retrieval by 10mM citric buffer, pH6.0, 100C for 10min, TA500893, Dilution 1:50)
- Validation comment
- IHC
- Submitted by
- OriGene (provider)
- Main image

- Experimental details
- Immunohistochemical staining of paraffin-embedded endometrium tissue within the normal limits using anti-RALBP1mouse monoclonal antibody. (Heat-induced epitope retrieval by 10mM citric buffer, pH6.0, 100C for 10min, TA500893, Dilution 1:50)
- Validation comment
- IHC
- Submitted by
- OriGene (provider)
- Main image

- Experimental details
- Immunohistochemical staining of paraffin-embedded prostate tissue within the normal limits using anti-RALBP1mouse monoclonal antibody. (Heat-induced epitope retrieval by 10mM citric buffer, pH6.0, 100C for 10min, TA500893, Dilution 1:50)
- Validation comment
- IHC
- Submitted by
- OriGene (provider)
- Main image

- Experimental details
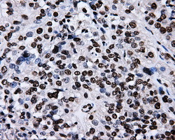
- Immunohistochemical staining of paraffin-embedded Carcinoma of prostate tissue using anti-RALBP1mouse monoclonal antibody. (Heat-induced epitope retrieval by 10mM citric buffer, pH6.0, 100C for 10min, TA500893, Dilution 1:50)
- Validation comment
- IHC
- Submitted by
- OriGene (provider)
- Main image

- Experimental details
- Immunohistochemical staining of paraffin-embedded Carcinoma of bladder tissue using anti-RALBP1mouse monoclonal antibody. (Heat-induced epitope retrieval by 10mM citric buffer, pH6.0, 100C for 10min, TA500893, Dilution 1:50)
- Validation comment
- IHC
Supportive validation
- Submitted by
- OriGene (provider)
- Main image

- Experimental details
- HEK293T cells transfected with either pCMV6-ENTRY RALBP1(RC201524)(Red) or empty vector control plasmid(Blue) were immunostained with anti-RALBP1 mouse monoclonal(TA500893), and then analyzed by flow cytometry.
- Validation comment
- FC
- Submitted by
- OriGene (provider)
- Main image

- Experimental details
- Flow cytometric analysis of Jurkat cells, using anti-RALBP1 antibody(TA500893),(Red) compared to a nonspecific negative control antibody(TA50011)(Blue).
- Validation comment
- FC