Antibody data
- Antibody Data
 - Antigen structure
 - References [13]
 - Comments [0]
 - Validations
 - Western blot [1]
 - Immunohistochemistry [2]
 
Submit
Validation data
Reference
Comment
Report error
- Product number
 - 13422-1-AP - Provider product page

 - Provider
 - Proteintech Group
 - Proper citation
 - Proteintech Cat#13422-1-AP, RRID:AB_2168314
 - Product name
 - PPP3CA antibody
 - Antibody type
 - Polyclonal
 - Description
 - PPP3CA antibody (Cat. #13422-1-AP) is a rabbit polyclonal antibody that shows reactivity with human, mouse and has been validated for the following applications: FC, IF, IHC, IP, WB,ELISA.
 - Reactivity
 - Human, Mouse
 - Host
 - Rabbit
 - Conjugate
 - Unconjugated
 - Isotype
 - IgG
 - Vial size
 - 20ul, 150ul
 
Submitted references		Dietary Taurine Supplementation Improves the Meat Quality, Muscle Fiber Type, and Mitochondrial Function of Finishing Pigs.
				
Activation of Kir4.1/Kir5.1 contributes to the cyclosporin A-induced stimulation of the renal NaCl cotransporter and hyperkalemic hypertension.
				
Taurine promotes muscle fiber type transformation through CaN/NFATc1 signaling in porcine myoblasts.
				
CDN1163 alleviates SERCA2 dysfunction-induced pulmonary vascular remodeling by inhibiting the phenotypic transition of pulmonary artery smooth muscle cells.
				
A recurrent SHANK1 mutation implicated in autism spectrum disorder causes autistic-like core behaviors in mice via downregulation of mGluR1-IP3R1-calcium signaling.
				
The Effect of Cyclosporine A on Proteins Controlling Intracellular Calcium Concentration in Breast Cancer Cells.
				
MicroRNA-30 regulates left ventricular hypertrophy in chronic kidney disease.
				
Stachydrine hydrochloride suppresses phenylephrine-induced pathological cardiac hypertrophy by inhibiting the calcineurin/nuclear factor of activated T-cell signalling pathway.
				
Transcriptional Study Revealed That Boron Supplementation May Alter the Immune-Related Genes Through MAPK Signaling in Ostrich Chick Thymus.
				
Effect of Hypoxia on the Muscle Fiber Switching Signal Pathways CnA/NFATc1 and Myostatin in Mouse Myocytes.
				
Major contribution of the 3/6/7 class of TRPC channels to myocardial ischemia/reperfusion and cellular hypoxia/reoxygenation injuries.
				
Inhibition of Calcineurin A by FK506 Suppresses Seizures and Reduces the Expression of GluN2B in Membrane Fraction.
				
Calcineurin β protects brain after injury by activating the unfolded protein response.
				
		
	
			An W, Huang Z, Mao Z, Qiao T, Jia G, Zhao H, Liu G, Chen X
Journal of agricultural and food chemistry 2023 Oct 18;71(41):15331-15340
		Journal of agricultural and food chemistry 2023 Oct 18;71(41):15331-15340
Activation of Kir4.1/Kir5.1 contributes to the cyclosporin A-induced stimulation of the renal NaCl cotransporter and hyperkalemic hypertension.
			Gao ZX, Zhou R, Li MY, Li ST, Mao ZH, Shu TT, Liu DW, Liu ZS, Wu P
Acta physiologica (Oxford, England) 2023 Jun;238(2):e13948
		Acta physiologica (Oxford, England) 2023 Jun;238(2):e13948
Taurine promotes muscle fiber type transformation through CaN/NFATc1 signaling in porcine myoblasts.
			An W, Huang Z, Mao Z, Jia G, Zhao H, Liu G, Chen X
Journal of cellular physiology 2023 Dec;238(12):2879-2887
		Journal of cellular physiology 2023 Dec;238(12):2879-2887
CDN1163 alleviates SERCA2 dysfunction-induced pulmonary vascular remodeling by inhibiting the phenotypic transition of pulmonary artery smooth muscle cells.
			Yu W, Zhang Q, Qiu Y, Chen H, Huang X, Xiao L, Xu G, Li S, Hu P, Tong X
Clinical and experimental hypertension (New York, N.Y. : 1993) 2023 Dec 31;45(1):2272062
		Clinical and experimental hypertension (New York, N.Y. : 1993) 2023 Dec 31;45(1):2272062
A recurrent SHANK1 mutation implicated in autism spectrum disorder causes autistic-like core behaviors in mice via downregulation of mGluR1-IP3R1-calcium signaling.
			Qin Y, Du Y, Chen L, Liu Y, Xu W, Liu Y, Li Y, Leng J, Wang Y, Zhang XY, Feng J, Zhang F, Jin L, Qiu Z, Gong X, Wang H
Molecular psychiatry 2022 Jul;27(7):2985-2998
		Molecular psychiatry 2022 Jul;27(7):2985-2998
The Effect of Cyclosporine A on Proteins Controlling Intracellular Calcium Concentration in Breast Cancer Cells.
			Caner A, Onal MG, Bitgen N, Sezer G
The Journal of membrane biology 2022 Feb;255(1):33-39
		The Journal of membrane biology 2022 Feb;255(1):33-39
MicroRNA-30 regulates left ventricular hypertrophy in chronic kidney disease.
			Bao J, Lu Y, She Q, Dou W, Tang R, Xu X, Zhang M, Zhu L, Zhou Q, Li H, Zhou G, Yang Z, Shi S, Liu Z, Zheng C
JCI insight 2021 May 24;6(10)
		JCI insight 2021 May 24;6(10)
Stachydrine hydrochloride suppresses phenylephrine-induced pathological cardiac hypertrophy by inhibiting the calcineurin/nuclear factor of activated T-cell signalling pathway.
			Zheng J, Tian J, Wang S, Hu P, Wu Q, Shan X, Zhao P, Zhang C, Guo W, Xu M, Chen H, Lu R
European journal of pharmacology 2020 Sep 15;883:173386
		European journal of pharmacology 2020 Sep 15;883:173386
Transcriptional Study Revealed That Boron Supplementation May Alter the Immune-Related Genes Through MAPK Signaling in Ostrich Chick Thymus.
			Xiao K, Yang K, Wang J, Sun P, Huang H, Khaliq H, Naeem MA, Zhong J, Peng K
Biological trace element research 2019 May;189(1):209-223
		Biological trace element research 2019 May;189(1):209-223
Effect of Hypoxia on the Muscle Fiber Switching Signal Pathways CnA/NFATc1 and Myostatin in Mouse Myocytes.
			Lixin L, Juan W, Yun B, Jingwei L, Xiuju Y, Xiaomao L, Zhiwei Z, Xiaoyan H, Yanjun D, Hongquan L, Haidong W
Acta histochemica 2019 Jul;121(5):539-545
		Acta histochemica 2019 Jul;121(5):539-545
Major contribution of the 3/6/7 class of TRPC channels to myocardial ischemia/reperfusion and cellular hypoxia/reoxygenation injuries.
			He X, Li S, Liu B, Susperreguy S, Formoso K, Yao J, Kang J, Shi A, Birnbaumer L, Liao Y
Proceedings of the National Academy of Sciences of the United States of America 2017 Jun 6;114(23):E4582-E4591
		Proceedings of the National Academy of Sciences of the United States of America 2017 Jun 6;114(23):E4582-E4591
Inhibition of Calcineurin A by FK506 Suppresses Seizures and Reduces the Expression of GluN2B in Membrane Fraction.
			Wen Y, Fu P, Wu K, Si K, Xie Y, Dan W, Zhan Y, Shi Q
Neurochemical research 2017 Aug;42(8):2154-2166
		Neurochemical research 2017 Aug;42(8):2154-2166
Calcineurin β protects brain after injury by activating the unfolded protein response.
			Chen Y, Holstein DM, Aime S, Bollo M, Lechleiter JD
Neurobiology of disease 2016 Oct;94:139-56
		Neurobiology of disease 2016 Oct;94:139-56
				No comments: Submit comment	
	
			
							
					Supportive validation
					
									
				
				- Submitted by
 - Proteintech Group (provider)
 - Main image
 
- Experimental details
 - mouse skeletal muscle tissue were subjected to SDS PAGE followed by western blot with 13422-1-AP(PPP3CA antibody) at dilution of 1:1500
 - Sample type
 - tissue
 
							
					Supportive validation
					
									
				
		
		- Submitted by
 - Proteintech Group (provider)
 - Main image
 
- Experimental details
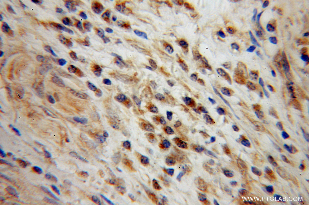
 - Immunohistochemical of paraffin-embedded human cervical cancer using 13422-1-AP(PPP3CA antibody) at dilution of 1:100 (under 10x lens)
 - Sample type
 - tissue
 
- Submitted by
 - Proteintech Group (provider)
 - Main image
 
- Experimental details
 - The PPP3CA antibody from Proteintech is a rabbit polyclonal antibody to a recombinant protein of human PPP3CA. This antibody recognizes human, mouse, rat antigen. The PPP3CA antibody has been validated for the following applications: ELISA, WB, IHC analysis.