Antibody data
- Antibody Data
 - Antigen structure
 - References [0]
 - Comments [0]
 - Validations
 - Western blot [1]
 - Immunocytochemistry [1]
 - Immunohistochemistry [2]
 
Submit
Validation data
Reference
Comment
Report error
- Product number
 - TA326907 - Provider product page

 - Provider
 - OriGene
 - Product name
 - PPP3CA Rabbit Polyclonal Antibody
 - Antibody type
 - Polyclonal
 - Description
 - PPP3CA Rabbit Polyclonal Antibody
 - Host
 - Rabbit
 - Conjugate
 - Unconjugated
 - Epitope
 - PPP3CA
 - Isotype
 - IgG
 - Antibody clone number
 - NULL
 - Vial size
 - 100 µg
 - Concentration
 - 1mg/ml
 
				No comments: Submit comment	
	
			
							
					Supportive validation
					
									
				
				- Submitted by
 - OriGene (provider)
 - Main image
 
- Experimental details
 - Western blot analysis of extracts of various cell lines, using PPP3CA antibody.
 - Validation comment
 - WB
 
							
					Supportive validation
					
									
				
				- Submitted by
 - OriGene (provider)
 - Main image
 
- Experimental details
 - Immunofluorescence analysis of HeLa cell using PPP3CA antibody. Blue: DAPI for nuclear staining.
 - Validation comment
 - IF
 
							
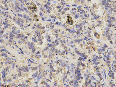
					Supportive validation
					
									
				
		- Submitted by
 - OriGene (provider)
 - Main image
 
- Experimental details
 - Immunohistochemistry of paraffin-embedded human lung cancer using PPP3CA antibody at dilution of 1:200 (400x lens).
 - Validation comment
 - IHC
 
- Submitted by
 - OriGene (provider)
 - Main image
 
- Experimental details
 - Immunohistochemistry of paraffin-embedded human stomach cancer using PPP3CA antibody at dilution of 1:200 (400x lens).
 - Validation comment
 - IHC