Antibody data
- Antibody Data
- Antigen structure
- References [16]
- Comments [0]
- Validations
- Immunohistochemistry [2]
Submit
Validation data
Reference
Comment
Report error
- Product number
- NB200-117 - Provider product page

- Provider
- Novus Biologicals
- Proper citation
- Novus Cat#NB200-117, RRID:AB_10001351
- Product name
- Rabbit Polyclonal beta-Defensin 3 Antibody
- Antibody type
- Polyclonal
- Description
- Immunogen affinity purified.
- Reactivity
- Human, Rat
- Host
- Rabbit
- Isotype
- IgG
- Vial size
- 0.1 ml
- Concentration
- 1 mg/ml
- Storage
- Store at 4C short term. Aliquot and store at -20C long term. Avoid freeze-thaw cycles.
Submitted references Exploring Pleiotropic Functions of Canine β-Defensin 103: Nasal Cavity Expression, Antimicrobial Activity, and Melanocortin Receptor Activity.
An investigation of human beta-defensins and cathelicidin expression in patients with pterygium.
Human papillomavirus oncogenic E6 protein regulates human β-defensin 3 (hBD3) expression via the tumor suppressor protein p53.
Radiotherapy for oral cancer decreases the cutaneous expression of host defence peptides.
Cigarette Smoke Modulates NOD1 Signal Pathway and Human β Defensins Expression in Human Oral Mucosa.
Human beta-defensin-3 producing cells in septic implant loosening.
Neonatal capsaicin treatment in rats induces chronic hyperthermia resulting in infectious disease.
Active eosinophilic esophagitis is characterized by epithelial barrier defects and eosinophil extracellular trap formation.
The potential role of increasing the release of mouse β- defensin-14 in the treatment of osteomyelitis in mice: a primary study.
Immunolocalization of antimicrobial and cytoskeletal components in the serous glands of human sinonasal mucosa.
Human β-defensin-3 correlates with muscle fibre degeneration in idiopathic inflammatory myopathies.
Antimicrobial peptide response to group B Streptococcus in human extraplacental membranes in culture.
Human β-defensin 3 peptide is increased and redistributed in Crohn's ileitis.
The yin and yang of human Beta-defensins in health and disease.
Alterations in content and localization of defensins in rat ileum and jejunum following ischemia-reperfusion. Specific peptides, in specific places, for specific jobs?
CGI-58 is an alpha/beta-hydrolase within lipid transporting lamellar granules of differentiated keratinocytes.
Aono S, Dennis JC, He S, Wang W, Tao YX, Morrison EE
Anatomical record (Hoboken, N.J. : 2007) 2019 Nov 12;
Anatomical record (Hoboken, N.J. : 2007) 2019 Nov 12;
An investigation of human beta-defensins and cathelicidin expression in patients with pterygium.
Karadag R, Bayram N, Oguztuzun S, Bayramlar H, Bozer B, Simsek G, Rapuano CJ
Arquivos brasileiros de oftalmologia 2017 Sep-Oct;80(5):277-280
Arquivos brasileiros de oftalmologia 2017 Sep-Oct;80(5):277-280
Human papillomavirus oncogenic E6 protein regulates human β-defensin 3 (hBD3) expression via the tumor suppressor protein p53.
DasGupta T, Nweze EI, Yue H, Wang L, Jin J, Ghosh SK, Kawsar HI, Zender C, Androphy EJ, Weinberg A, McCormick TS, Jin G
Oncotarget 2016 May 10;7(19):27430-44
Oncotarget 2016 May 10;7(19):27430-44
Radiotherapy for oral cancer decreases the cutaneous expression of host defence peptides.
Koerdt S, Steinstraesser L, Stoeckelhuber M, Wales CJ, Rohleder NH, Babaryka G, Steiner T, Wolff KD, Loeffelbein DJ, Muecke T, Nieberler M, Kesting MR
Journal of cranio-maxillo-facial surgery : official publication of the European Association for Cranio-Maxillo-Facial Surgery 2016 Jul;44(7):882-9
Journal of cranio-maxillo-facial surgery : official publication of the European Association for Cranio-Maxillo-Facial Surgery 2016 Jul;44(7):882-9
Cigarette Smoke Modulates NOD1 Signal Pathway and Human β Defensins Expression in Human Oral Mucosa.
Qian YJ, Wang X, Gao YF, Duan N, Huang XF, Sun FF, Han XD, Wang WM
Cellular physiology and biochemistry : international journal of experimental cellular physiology, biochemistry, and pharmacology 2015;36(2):457-73
Cellular physiology and biochemistry : international journal of experimental cellular physiology, biochemistry, and pharmacology 2015;36(2):457-73
Human beta-defensin-3 producing cells in septic implant loosening.
Levón J, Al-Samadi A, Mackiewicz Z, Coer A, Trebse R, Waris E, Konttinen YT
Journal of materials science. Materials in medicine 2015 Feb;26(2):98
Journal of materials science. Materials in medicine 2015 Feb;26(2):98
Neonatal capsaicin treatment in rats induces chronic hyperthermia resulting in infectious disease.
Jeong KY, Kim HM
Experimental and therapeutic medicine 2015 Dec;10(6):2417-2423
Experimental and therapeutic medicine 2015 Dec;10(6):2417-2423
Active eosinophilic esophagitis is characterized by epithelial barrier defects and eosinophil extracellular trap formation.
Simon D, Radonjic-Hösli S, Straumann A, Yousefi S, Simon HU
Allergy 2015 Apr;70(4):443-52
Allergy 2015 Apr;70(4):443-52
The potential role of increasing the release of mouse β- defensin-14 in the treatment of osteomyelitis in mice: a primary study.
Zhu C, Wang J, Cheng T, Li Q, Shen H, Qin H, Cheng M, Zhang X
PloS one 2014;9(1):e86874
PloS one 2014;9(1):e86874
Immunolocalization of antimicrobial and cytoskeletal components in the serous glands of human sinonasal mucosa.
Stoeckelhuber M, Olzowy B, Ihler F, Matthias C, Scherer EQ, Babaryka G, Loeffelbein DJ, Rohleder NH, Nieberler M, Kesting MR
Histology and histopathology 2014 Oct;29(10):1315-24
Histology and histopathology 2014 Oct;29(10):1315-24
Human β-defensin-3 correlates with muscle fibre degeneration in idiopathic inflammatory myopathies.
Güttsches AK, Jacobsen F, Theiss C, Rittig A, Rehimi R, Kley RA, Vorgerd M, Steinstraesser L
Innate immunity 2014 Jan;20(1):49-60
Innate immunity 2014 Jan;20(1):49-60
Antimicrobial peptide response to group B Streptococcus in human extraplacental membranes in culture.
Boldenow E, Jones S, Lieberman RW, Chames MC, Aronoff DM, Xi C, Loch-Caruso R
Placenta 2013 Jun;34(6):480-5
Placenta 2013 Jun;34(6):480-5
Human β-defensin 3 peptide is increased and redistributed in Crohn's ileitis.
Meisch JP, Nishimura M, Vogel RM, Sung HC, Bednarchik BA, Ghosh SK, Fu P, McCormick T, Weinberg A, Levine AD
Inflammatory bowel diseases 2013 Apr;19(5):942-53
Inflammatory bowel diseases 2013 Apr;19(5):942-53
The yin and yang of human Beta-defensins in health and disease.
Weinberg A, Jin G, Sieg S, McCormick TS
Frontiers in immunology 2012;3:294
Frontiers in immunology 2012;3:294
Alterations in content and localization of defensins in rat ileum and jejunum following ischemia-reperfusion. Specific peptides, in specific places, for specific jobs?
Kozar RA, Santora RJ, Poindexter BJ, Milner SM, Bick RJ
Eplasty 2011 Feb 23;11:e8
Eplasty 2011 Feb 23;11:e8
CGI-58 is an alpha/beta-hydrolase within lipid transporting lamellar granules of differentiated keratinocytes.
Akiyama M, Sakai K, Takayama C, Yanagi T, Yamanaka Y, McMillan JR, Shimizu H
The American journal of pathology 2008 Nov;173(5):1349-60
The American journal of pathology 2008 Nov;173(5):1349-60
No comments: Submit comment
Supportive validation
- Submitted by
- Novus Biologicals (provider)
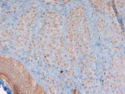
- Main image

- Experimental details
- Immunohistochemistry-Paraffin: beta-Defensin 3 Antibody [NB200-117] - Analysis of beta-Defensin 3 in human skin.
- Submitted by
- Novus Biologicals (provider)
- Main image

- Experimental details
- Immunohistochemistry-Paraffin: beta-Defensin 3 Antibody [NB200-117] - Distribution of hBD-2 and hBD-3 in normal oral epithelium. Formalin fixed and parafilm embedded normal human oral tissue was labeled with an anti-hBD-2 specific primary antibody, and detected with an AF488 conjugated secondary antibody. hBD-3 was labeled with a rabbit anti-hBD-3 (Novus Biologicals Inc., Littleton, CO, USA), specific primary antibody and detected using an AF594 (purple) conjugated donkey anti-rabbit (Invitrogen). Note green fluorescence detection of hBD-2 localized to the stratum spinosum and stratum granulosum, while pink/red fluorescence detects hBD-3 exclusively to the stratum basale. hBD-1, not shown, is localized to the same regions as hBD-2. Image collected and cropped by CiteAb from the following publication (http://journal.frontiersin.org/article/10.3389/fimmu.2012.00294/abstract) licensed under a CC-BY licence.