Antibody data
- Antibody Data
- Antigen structure
- References [3]
- Comments [0]
- Validations
- Immunohistochemistry [2]
Submit
Validation data
Reference
Comment
Report error
- Product number
- AF2758 - Provider product page

- Provider
- R&D Systems
- Product name
- Human beta-Defensin 4/2 Antibody
- Antibody type
- Polyclonal
- Description
- Immunogen affinity purified. Detects human beta-Defensin 4/2 in direct ELISAs and Western blots.
- Reactivity
- Human
- Host
- Goat
- Conjugate
- Unconjugated
- Antigen sequence
O15263- Isotype
- IgG
- Vial size
- 100 ug
- Concentration
- LYOPH
- Storage
- Use a manual defrost freezer and avoid repeated freeze-thaw cycles. 12 months from date of receipt, -20 to -70 °C as supplied. 1 month, 2 to 8 °C under sterile conditions after reconstitution. 6 months, -20 to -70 °C under sterile conditions after reconstitution.
Submitted references Inflammatory cytokines and antimicrobial peptides in acquired heart diseases.
Inflammatory and antimicrobial responses to methicillin-resistant Staphylococcus aureus in an in vitro wound infection model.
A novel organotypic dento-epithelial culture model: effect of Fusobacterium nucleatum biofilm on B-defensin-2, -3, and LL-37 expression.
Vartina E, Pilmane M, Lacis R
Histology and histopathology 2019 Aug;34(8):889-897
Histology and histopathology 2019 Aug;34(8):889-897
Inflammatory and antimicrobial responses to methicillin-resistant Staphylococcus aureus in an in vitro wound infection model.
Haisma EM, Rietveld MH, de Breij A, van Dissel JT, El Ghalbzouri A, Nibbering PH
PloS one 2013;8(12):e82800
PloS one 2013;8(12):e82800
A novel organotypic dento-epithelial culture model: effect of Fusobacterium nucleatum biofilm on B-defensin-2, -3, and LL-37 expression.
Gursoy UK, Pöllänen M, Könönen E, Uitto VJ
Journal of periodontology 2012 Feb;83(2):242-7
Journal of periodontology 2012 Feb;83(2):242-7
No comments: Submit comment
Supportive validation
- Submitted by
- R&D Systems (provider)
- Main image

- Experimental details
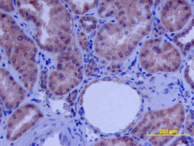
- beta-Defensin 4/2 in Human Kidney Array. beta-Defensin 4/2 was detected in immersion fixed paraffin-embedded sections of human kidney array using Human beta-Defensin 4/2 Antigen Affinity-purified Polyclonal Antibody (Catalog # AF2758) at 10 µg/mL overnight at 4 °C. Tissue was stained using the Anti-Goat HRP-DAB Cell & Tissue Staining Kit (brown; Catalog # CTS008) and counterstained with hematoxylin (blue). View our protocol for Chromogenic IHC Staining of Paraffin-embedded Tissue Sections.
- Submitted by
- R&D Systems (provider)
- Main image

- Experimental details
- beta-Defensin 4/2 in Human Lung. beta-Defensin 4/2 was detected in immersion fixed paraffin-embedded sections of human lung using Human beta-Defensin 4/2 Antigen Affinity-purified Polyclonal Antibody (Catalog # AF2758) at 10 µg/mL overnight at 4 °C. Before incubation with the primary antibody tissue was subjected to heat-induced epitope retrieval using Antigen Retrieval Reagent-Basic (Catalog # CTS013). Tissue was stained using the Anti-Goat HRP-DAB Cell & Tissue Staining Kit (brown; Catalog # CTS008) and counterstained with hematoxylin (blue). Specific labeling was localized to the cytoplasm of alveolar cells. View our protocol for Chromogenic IHC Staining of Paraffin-embedded Tissue Sections.