Antibody data
- Antibody Data
- Antigen structure
- References [0]
- Comments [0]
- Validations
- Western blot [1]
- Immunohistochemistry [1]
Submit
Validation data
Reference
Comment
Report error
- Product number
- NBP1-31078 - Provider product page

- Provider
- Novus Biologicals
- Proper citation
- Novus Cat#NBP1-31078, RRID:AB_2298076
- Product name
- Rabbit Polyclonal MTMR9 Antibody
- Antibody type
- Polyclonal
- Description
- Antigen Affinity-purified.
- Reactivity
- Human, Mouse
- Host
- Rabbit
- Isotype
- IgG
- Vial size
- 0.1 ml
- Storage
- Store at 4C short term. Aliquot and store at -20C long term. Avoid freeze-thaw cycles.
No comments: Submit comment
Supportive validation
- Submitted by
- Novus Biologicals (provider)
- Main image

- Experimental details
- Western Blot: MTMR9 Antibody [NBP1-31078] - Sample (30 ug of whole cell lysate) A: Hep G2 7. 5% SDS PAGE MTMR9 antibody, antibody diluted at 1:1000.
Supportive validation
- Submitted by
- Novus Biologicals (provider)
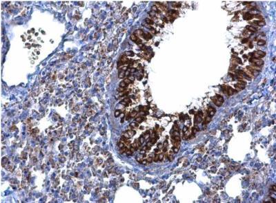
- Main image

- Experimental details
- Immunohistochemistry-Paraffin: MTMR9 Antibody [NBP1-31078] - Paraffin-embedded mouse lung. MTMR9 antibody [C3], C-term diluted at 1:500.