AP09612PU-N
antibody from Acris Antibodies GmbH
Targeting: DLC1
ARHGAP7, DLC-1, HP, p122-RhoGAP, STARD12
Antibody data
- Antibody Data
- Antigen structure
- References [0]
- Comments [0]
- Validations
- Immunohistochemistry [1]
Submit
Validation data
Reference
Comment
Report error
- Product number
- AP09612PU-N - Provider product page

- Provider
- Acris Antibodies GmbH
- Proper citation
- Acris Antibodies GmbH Cat#AP09612PU-N, RRID:AB_10654953
- Product name
- anti ARHGAP7 / DLC1 (isoforms 1 and 3) (N-term)
- Antibody type
- Polyclonal
- Antigen
- Peptide with sequence from the N Terminus of the protein sequence according to NP_872584.2, NP_079043.3.
- Reactivity
- Human, Mouse, Porcine
- Host
- Goat
- Vial size
- 0.1 mg
- Concentration
- 0.5 mg/ml
No comments: Submit comment
Supportive validation
- Submitted by
- Acris Antibodies GmbH (provider)
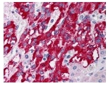
- Main image

- Experimental details
- DLC1 antibody (AP09612PU-N at 5µg/ml) staining of paraffin embedded Human Adrenal Gland. Steamed antigen retrieval with citrate buffer pH 6, AP-staining.