Antibody data
- Antibody Data
- Antigen structure
- References [0]
- Comments [0]
- Validations
- Immunocytochemistry [1]
- Immunohistochemistry [2]
Submit
Validation data
Reference
Comment
Report error
- Product number
- PA5-84259 - Provider product page

- Provider
- Invitrogen Antibodies
- Product name
- PPAP2C Polyclonal Antibody
- Antibody type
- Polyclonal
- Antigen
- Recombinant protein fragment
- Description
- Immunogen sequence: PQHCLKEEEL ERKPSLSLTL TLGEADHNHY GYPHSS
- Reactivity
- Human
- Host
- Rabbit
- Isotype
- IgG
- Vial size
- 100 μL
- Concentration
- 0.1 mg/mL
- Storage
- Store at 4°C short term. For long term storage, store at -20°C, avoiding freeze/thaw cycles.
No comments: Submit comment
Supportive validation
- Submitted by
- Invitrogen Antibodies (provider)
- Main image

- Experimental details
- Immunofluorecent analysis of PPAP2C in human cell line U-2 OS using PPAP2C Polyclonal Antibody (Product # PA5-84259). Staining shows localization to mitochondria.
Supportive validation
- Submitted by
- Invitrogen Antibodies (provider)
- Main image

- Experimental details
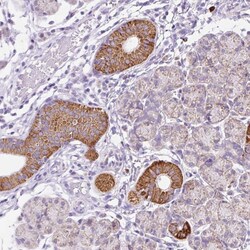
- Immunohistochemical analysis of PPAP2C in human salivary gland using PPAP2C Polyclonal Antibody (Product # PA5-84259) shows cytoplasmic positivity in glandular cells.
- Submitted by
- Invitrogen Antibodies (provider)
- Main image

- Experimental details
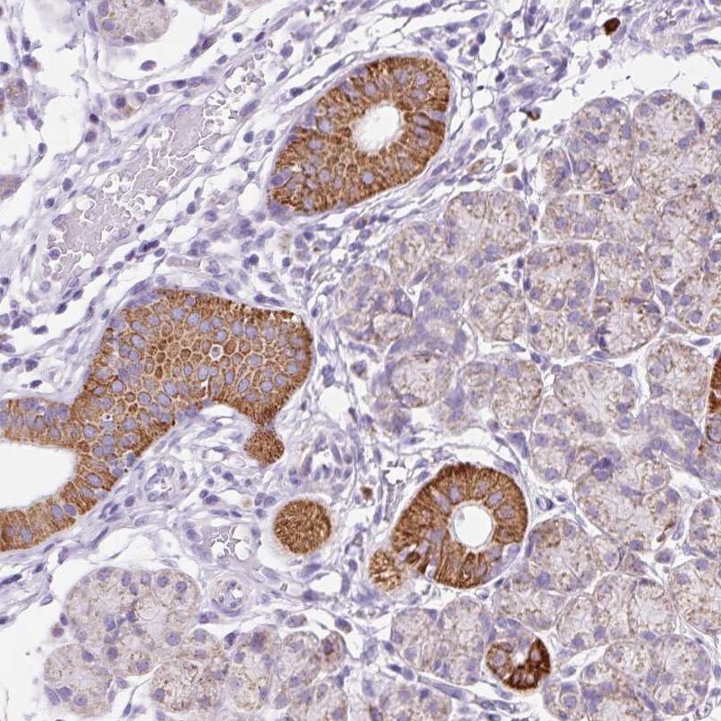
- Immunohistochemical analysis of PPAP2C in human salivary gland using PPAP2C Polyclonal Antibody (Product # PA5-84259) shows cytoplasmic positivity in glandular cells.