Antibody data
- Antibody Data
- Antigen structure
- References [0]
- Comments [0]
- Validations
- Immunocytochemistry [2]
- Immunohistochemistry [1]
- Flow cytometry [2]
Submit
Validation data
Reference
Comment
Report error
- Product number
- PA5-48336 - Provider product page

- Provider
- Invitrogen Antibodies
- Product name
- Naked2 Polyclonal Antibody
- Antibody type
- Polyclonal
- Antigen
- Synthetic peptide
- Reactivity
- Human
- Host
- Rabbit
- Isotype
- IgG
- Vial size
- 400 μL
- Concentration
- 0.5 mg/mL
- Storage
- Store at 4°C short term. For long term storage, store at -20°C, avoiding freeze/thaw cycles.
No comments: Submit comment
Supportive validation
- Submitted by
- Invitrogen Antibodies (provider)
- Main image

- Experimental details
- Confocal immunofluorescent analysis of NKD2 in A375 cells. Cells were stained with a NKD2 Antibody (C-term) (Product # PA5-48336) followed by Alexa Fluor 488-conjugated goat anti-rabbit lgG (green). Actin filaments have been labeled with Alexa Fluor 555 phalloidin (red). DAPI was used to stain the cell nuclear (blue).
- Submitted by
- Invitrogen Antibodies (provider)
- Main image

- Experimental details
- Immunocytochemistry analysis of Naked2 in A375 cells. Samples were incubated in Naked2 polyclonal antibody (Product # PA5-48336) followed by Alexa Fluor 488-conjugated goat anti-rabbit lgG (green). Actin filaments have been labeled with Alexa Fluor 555 phalloidin (red). DAPI was used to stain the cell nuclear (blue).
Supportive validation
- Submitted by
- Invitrogen Antibodies (provider)
- Main image

- Experimental details
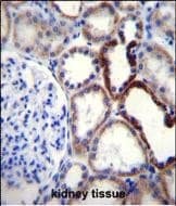
- Immunohistochemistry analysis of Naked2 in formalin fixed and paraffin embedded human kidney tissue. Samples were incubated with Naked2 polyclonal antibody (Product # PA5-48336) followed by peroxidase conjugation of the secondary antibody and DAB staining. This data demonstrates the use of this antibody for immunohistochemistry. Clinical relevance has not been evaluated.
Supportive validation
- Submitted by
- Invitrogen Antibodies (provider)
- Main image

- Experimental details
- Flow cytometric analysis of NKD2 in Jurkat cells (right histogram) compared to a negative control cell (left histogram). Samples were probed with a NKD2 Antibody (C-term) (Product # PA5-48336). FITC-conjugated donkey-anti-rabbit secondary antibodies were used for the analysis.
- Submitted by
- Invitrogen Antibodies (provider)
- Main image

- Experimental details
- Flow cytometry of Naked2 in Jurkat cells (right histogram). Samples were incubated with Naked2 polyclonal antibody (Product # PA5-48336) followed by FITC-conjugated donkey-anti-rabbit secondary antibody. Negative control cell (left histogram).