Antibody data
- Antibody Data
- Antigen structure
- References [1]
- Comments [0]
- Validations
- Western blot [1]
- Immunohistochemistry [14]
Submit
Validation data
Reference
Comment
Report error
- Product number
- TA500115 - Provider product page

- Provider
- OriGene
- Proper citation
- OriGene Cat#TA500115, RRID:AB_2267387
- Product name
- Anti-NT3 (Neurotrophin 3) mouse monoclonal antibody, clone OTI5C7 (formerly 5C7)
- Antibody type
- Monoclonal
- Description
- Anti-NT3 (Neurotrophin 3) mouse monoclonal antibody, clone OTI5C7 (formerly 5C7)
- Host
- Mouse
- Conjugate
- Unconjugated
- Epitope
- NTF3
- Isotype
- IgG
- Antibody clone number
- OTI5C7
- Vial size
- 100 µl
- Concentration
- 0.2 mg/ml
Submitted references Neurotrophin-3 modulates breast cancer cells and the microenvironment to promote the growth of breast cancer brain metastasis.
Louie E, Chen XF, Coomes A, Ji K, Tsirka S, Chen EI
Oncogene 2013 Aug 29;32(35):4064-77
Oncogene 2013 Aug 29;32(35):4064-77
No comments: Submit comment
Supportive validation
- Submitted by
- OriGene (provider)
- Main image

- Experimental details
- HEK293T cells were transfected with the pCMV6-ENTRY control (Left lane) or pCMV6-ENTRY NTF3(RC214281) (RC214281, Right lane) cDNA for 48 hrs and lysed. Equivalent amounts of cell lysates (5 ug per lane) were separated by SDS-PAGE and immunoblotted with anti-NTF3.
- Validation comment
- WB
Supportive validation
- Submitted by
- OriGene (provider)
- Main image

- Experimental details
- Immunohistochemical staining of paraffin-embedded Carcinoma of lung using anti-NTF3 (TA500115) mouse monoclonal antibody (Heat-induced epitope retrieval by 10mM citric buffer, pH6.0, 100C for 10min).
- Validation comment
- IHC
- Submitted by
- OriGene (provider)
- Main image

- Experimental details
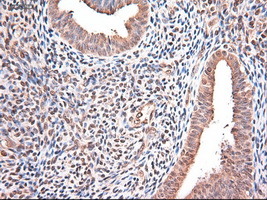
- Immunohistochemical staining of paraffin-embedded Adenocarcinoma of ovary using anti-NTF3(TA500115) mouse monoclonal antibody (Heat-induced epitope retrieval by 10mM citric buffer, pH6.0, 100C for 10min).
- Validation comment
- IHC
- Submitted by
- OriGene (provider)
- Main image

- Experimental details
- Immunohistochemical staining of paraffin-embedded breast within the normal limits using anti-NTF3 (TA500115) mouse monoclonal antibody (Heat-induced epitope retrieval by 10mM citric buffer, pH6.0, 100C for 10min).
- Validation comment
- IHC
- Submitted by
- OriGene (provider)
- Main image

- Experimental details
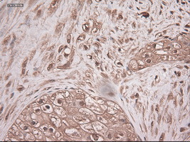
- Immunohistochemical staining of paraffin-embedded Adenocarcinoma of breast using anti-NTF3 (TA500115) mouse monoclonal antibody (Heat-induced epitope retrieval by 10mM citric buffer, pH6.0, 100C for 10min).
- Validation comment
- IHC
- Submitted by
- OriGene (provider)
- Main image

- Experimental details
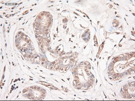
- Immunohistochemical staining of paraffin-embedded Adenocarcinoma of colon using anti-NTF3(TA500115) mouse monoclonal antibody (Heat-induced epitope retrieval by 10mM citric buffer, pH6.0, 100C for 10min).
- Validation comment
- IHC
- Submitted by
- OriGene (provider)
- Main image

- Experimental details
- Immunohistochemical staining of paraffin-embedded kidney within the normal limits using anti-NTF3(TA500115) mouse monoclonal antibody (Heat-induced epitope retrieval by 10mM citric buffer, pH6.0, 100C for 10min).
- Validation comment
- IHC
- Submitted by
- OriGene (provider)
- Main image

- Experimental details
- Immunohistochemical staining of paraffin-embedded Carcinoma of kidney using anti-NTF3 (TA500115) mouse monoclonal antibody (Heat-induced epitope retrieval by 10mM citric buffer, pH6.0, 100C for 10min).
- Validation comment
- IHC
- Submitted by
- OriGene (provider)
- Main image

- Experimental details
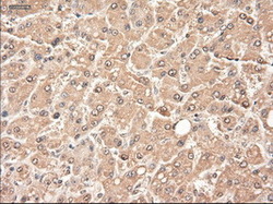
- Immunohistochemical staining of paraffin-embedded liver within the normal limits using anti-NTF3(TA500115) mouse monoclonal antibody (Heat-induced epitope retrieval by 10mM citric buffer, pH6.0, 100C for 10min).
- Validation comment
- IHC
- Submitted by
- OriGene (provider)
- Main image

- Experimental details
- Immunohistochemical staining of paraffin-embedded Carcinoma of liver using anti-NTF3 (TA500115) mouse monoclonal antibody (Heat-induced epitope retrieval by 10mM citric buffer, pH6.0, 100C for 10min).
- Validation comment
- IHC
- Submitted by
- OriGene (provider)
- Main image

- Experimental details
- Immunohistochemical staining of paraffin-embedded lung within the normal limits using anti-NTF3 (TA500115) mouse monoclonal antibody (Heat-induced epitope retrieval by 10mM citric buffer, pH6.0, 100C for 10min).
- Validation comment
- IHC
- Submitted by
- OriGene (provider)
- Main image

- Experimental details
- Immunohistochemical staining of paraffin-embedded Carcinoma of pancreas using anti-NTF3 (TA500115) mouse monoclonal antibody (Heat-induced epitope retrieval by 10mM citric buffer, pH6.0, 100C for 10min).
- Validation comment
- IHC
- Submitted by
- OriGene (provider)
- Main image

- Experimental details
- Immunohistochemical staining of paraffin-embedded Carcinoma of thyroid using anti-NTF3(TA500115) mouse monoclonal antibody (Heat-induced epitope retrieval by 10mM citric buffer, pH6.0, 100C for 10min).
- Validation comment
- IHC
- Submitted by
- OriGene (provider)
- Main image

- Experimental details
- Immunohistochemical staining of paraffin-embedded endometrium within the normal limits using anti-NTF3 (TA500115) mouse monoclonal antibody (Heat-induced epitope retrieval by 10mM citric buffer, pH6.0, 100C for 10min).
- Validation comment
- IHC
- Submitted by
- OriGene (provider)
- Main image

- Experimental details
- Figure from citation: Detection of NT-3(NTF3) protein in brain metastases from breast cancer patients. (a) ? 100 magnification of the brain metastasis tissue section with the isotype-matched negative control antibody staining. (b) ?100 magnification of the brain metastasis tissue section with the NT-3 antibody staining.
- Validation comment
- IHC