Antibody data
- Antibody Data
- Antigen structure
- References [1]
- Comments [0]
- Validations
- Immunohistochemistry [1]
Submit
Validation data
Reference
Comment
Report error
- Product number
- PAB11457 - Provider product page

- Provider
- Abnova Corporation
- Proper citation
- Abnova Corporation Cat#PAB11457, RRID:AB_1674261
- Product name
- GABRB3 polyclonal antibody
- Antibody type
- Polyclonal
- Description
- Goat polyclonal antibody raised against synthetic peptide of GABRB3.
- Antigen sequence
C-EKTAKAKNDRSK- Storage
- Store at -20°C.Aliquot to avoid repeated freezing and thawing.
Submitted references Hyperglycosylation and reduced GABA currents of mutated GABRB3 polypeptide in remitting childhood absence epilepsy.
Tanaka M, Olsen RW, Medina MT, Schwartz E, Alonso ME, Duron RM, Castro-Ortega R, Martinez-Juarez IE, Pascual-Castroviejo I, Machado-Salas J, Silva R, Bailey JN, Bai D, Ochoa A, Jara-Prado A, Pineda G, Macdonald RL, Delgado-Escueta AV
American journal of human genetics 2008 Jun;82(6):1249-61
American journal of human genetics 2008 Jun;82(6):1249-61
No comments: Submit comment
Supportive validation
- Submitted by
- Abnova Corporation (provider)
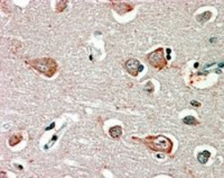
- Main image

- Experimental details
- GABRB3 polyclonal antibody (Cat # PAB11457) (2.5 ug/mL) staining of paraffin embedded human cortex. Steamed antigen retrieval with citrate buffer pH 6, AP-staining.
- Validation comment
- Immunohistochemistry (Formalin/PFA-fixed paraffin-embedded sections)