Antibody data
- Antibody Data
- Antigen structure
- References [0]
- Comments [0]
- Validations
- Immunocytochemistry [3]
- Immunohistochemistry [2]
Submit
Validation data
Reference
Comment
Report error
- Product number
- MA5-45403 - Provider product page

- Provider
- Invitrogen Antibodies
- Product name
- HCN2 Monoclonal Antibody (S71), APC
- Antibody type
- Monoclonal
- Antigen
- Other
- Description
- 1 µg/mL of MA5-45403 was sufficient for detection of HCN2 in 10 µg of rat brain lysate by colorimetric immunoblot analysis using Goat anti-mouse IgG:HRP as the secondary antibody.|Detects approximately 95kDa. No cross-reactivity against HCN1.
- Reactivity
- Human, Mouse, Rat
- Host
- Mouse
- Isotype
- IgG
- Antibody clone number
- S71
- Vial size
- 100 μg
- Concentration
- 1 mg/mL
- Storage
- 4°C
No comments: Submit comment
Supportive validation
- Submitted by
- Invitrogen Antibodies (provider)
- Main image

- Experimental details
- Immunocytochemistry/Immunofluorescence analysis using differentiated SH-SY5Y cells. Samples were incubated with HCN2 monoclonal antibody (Product # MA5-45403) at 1:100, followed by AlexaFluor 488. Counterstain used was phalloidin (Alexa 647, red), beta tubulin (Anti-beta III Tubulin Ab, Alexa 555, magenta) Hoechst (blue). (A) Phalloidin (B) Anti-beta III Tubulin Ab. (C) HCN2 antibody. (D) Hoechst (E) Composite.
- Submitted by
- Invitrogen Antibodies (provider)
- Main image

- Experimental details
- Immunocytochemistry/Immunofluorescence analysis using human neuroblastoma cells. Fixation involved 4% PFA for 15 min. Samples were incubated with HCN2 monoclonal antibody (Product # MA5-45403) at 1:50 for overnight at 4°C with slow rocking, followed by AlexaFluor 488 at 1:1,000 for 1 hour at RT. Counterstain used was Phalloidin-iFluor 647 (red) F-Actin stain; Hoechst (blue) nuclear stain at 1:800, 1.6mM for 20 min at RT. (A) Hoechst (blue) nuclear stain. (B) Phalloidin-iFluor 647 (red) F-Actin stain. (C) HCN2 antibody (D) Composite.
- Submitted by
- Invitrogen Antibodies (provider)
- Main image

- Experimental details
- Immunocytochemistry/Immunofluorescence analysis using human neuroblastoma cells. Fixation involved 4% PFA for 15 min. Samples were incubated with HCN2 monoclonal antibody (Product # MA5-45403) at 1:50 for overnight at 4°C with slow rocking, followed by AlexaFluor 488 at 1:1,000 for 1 hour at RT. Counterstain used was Phalloidin-iFluor 647 (red) F-Actin stain; Hoechst (blue) nuclear stain at 1:800, 1.6mM for 20 min at RT. (A) Hoechst (blue) nuclear stain. (B) Phalloidin-iFluor 647 (red) F-Actin stain. (C) HCN2 antibody (D) Composite.
Supportive validation
- Submitted by
- Invitrogen Antibodies (provider)
- Main image

- Experimental details
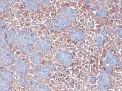
- Immunohistochemistry analysis using frozen brain section. Fixation involved 10% formalin solution for 12-24 hours at RT. Samples were incubated with HCN2 monoclonal antibody (Product # MA5-45403) at 1:1,000 for 1 hour at RT, followed by HRP/DAB Detection System: Biotinylated Goat Anti-Mouse, Streptavidin Peroxidase, DAB Chromogen (brown) for 30 minutes at RT. Counterstain used was Mayer Hematoxylin (purple/blue) nuclear stain at 250-500 µL for 5 minutes at RT.
- Submitted by
- Invitrogen Antibodies (provider)
- Main image

- Experimental details
- Immunohistochemistry analysis using hippocampus. Fixation involved Bouins Fixative and paraffin-embedded. Samples were incubated with HCN2 monoclonal antibody (Product # MA5-45403) at 1:100 for 1 hour at RT, followed by FITC Goat Anti-Mouse (green) at 1:50 for 1 hour at RT.