Antibody data
- Antibody Data
- Antigen structure
- References [0]
- Comments [0]
- Validations
- Immunocytochemistry [1]
- Immunohistochemistry [1]
Submit
Validation data
Reference
Comment
Report error
- Product number
- PA5-59169 - Provider product page

- Provider
- Invitrogen Antibodies
- Product name
- N6AMT2 Polyclonal Antibody
- Antibody type
- Polyclonal
- Antigen
- Recombinant protein fragment
- Description
- Immunogen sequence: MSDLEDDETP QLSAHALAAL QEFYAEQKQQ IEPGEDDKYN IGIIEENWQL SQFWYSQETA LQLAQEAIAA V Highest antigen sequence identity to the following orthologs: Mouse - 75%, Rat - 82%.
- Reactivity
- Human
- Host
- Rabbit
- Isotype
- IgG
- Vial size
- 100 μL
- Concentration
- 0.6 mg/mL
- Storage
- Store at 4°C short term. For long term storage, store at -20°C, avoiding freeze/thaw cycles.
No comments: Submit comment
Supportive validation
- Submitted by
- Invitrogen Antibodies (provider)
- Main image

- Experimental details
- Immunofluorecent analysis of N6AMT2 in human cell line U-251 MG using N6AMT2 Polyclonal Antibody (Product # PA5-59169). Staining shows localization to plasma membrane and cytosol.
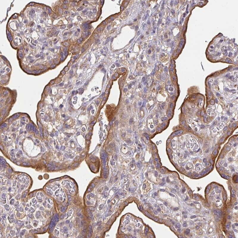
Supportive validation
- Submitted by
- Invitrogen Antibodies (provider)
- Main image

- Experimental details
- Immunohistochemical analysis of N6AMT2 in human placenta using N6AMT2 Polyclonal Antibody (Product # PA5-59169) shows moderate cytoplasmic and membranous positivity in trophoblastic cells.