Antibody data
- Antibody Data
- Antigen structure
- References [0]
- Comments [0]
- Validations
- Western blot [2]
- Immunohistochemistry [2]
Submit
Validation data
Reference
Comment
Report error
- Product number
- LS-C379470 - Provider product page

- Provider
- LSBio
- Product name
- HAUS4 Antibody (aa1-363) LS-C379470
- Antibody type
- Polyclonal
- Description
- Immunoaffinity purified
- Reactivity
- Human, Rat
- Host
- Rabbit
- Isotype
- IgG
- Storage
- Short term: -20°C; Long term: -80°C; Avoid freeze-thaw cycles.
No comments: Submit comment
Enhanced validation
- Submitted by
- LSBio (provider)
- Enhanced method
- Genetic validation
- Main image

- Experimental details
- Western blot. All lanes: HAUS augmin-like complex subunit 4 antibody at 6 ug/ml+rat brain tissue. Secondary antibody: Goat polyclonal to rabbit at 1:10000 dilution. Predicted band size: 42 kDa. Observed band size: 42 kDa Immunohistochemistry.
- Submitted by
- LSBio (provider)
- Enhanced method
- Genetic validation
- Main image

- Experimental details
- Western blot All lanes: HAUS augmin-like complex subunit 4 antibody at 6µg/ml + Rat brain tissue Secondary Goat polyclonal to rabbit IgG at 1/10000 dilution Predicted band size: 43, 28, 29, 38 kDa Observed band size: 43 kDa
Supportive validation
- Submitted by
- LSBio (provider)
- Enhanced method
- Genetic validation
- Main image

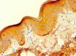
- Experimental details
- Immunohistochemistry of paraffin-embedded human skin tissue using antibody at 1:100 dilution.
- Submitted by
- LSBio (provider)
- Enhanced method
- Genetic validation
- Main image

- Experimental details
- Immunohistochemistry of paraffin-embedded human placenta using antibody at 1:100 dilution.