Antibody data
- Antibody Data
- Antigen structure
- References [0]
- Comments [0]
- Validations
- Western blot [1]
- Immunohistochemistry [1]
Submit
Validation data
Reference
Comment
Report error
- Product number
- GTX113619 - Provider product page

- Provider
- GeneTex
- Proper citation
- GeneTex Cat#GTX113619, RRID:AB_2037487
- Product name
- NAT1 antibody [N1C1]
- Antibody type
- Polyclonal
- Reactivity
- Human
- Host
- Rabbit
No comments: Submit comment
Supportive validation
- Submitted by
- GeneTex (provider)
- Main image

- Experimental details
- Sample (30 ug of whole cell lysate) A: Hela 12% SDS PAGE GTX113619 diluted at 1:1000
Supportive validation
- Submitted by
- GeneTex (provider)
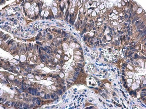
- Main image

- Experimental details
- NAT1 antibody [N1C1] detects NAT1 protein at cytoplasm in human colon carcinoma by immunohistochemical analysis. Sample: Paraffin-embedded human colon carcinoma. NAT1 antibody [N1C1] (GTX113619) diluted at 1:500.