Antibody data
- Antibody Data
- Antigen structure
- References [0]
- Comments [0]
- Validations
- Western blot [1]
- Immunohistochemistry [1]
Submit
Validation data
Reference
Comment
Report error
- Product number
- H00055790-B02P - Provider product page

- Provider
- Abnova Corporation
- Proper citation
- Abnova Corporation Cat#H00055790-B02P, RRID:AB_1573047
- Product name
- ChGn purified MaxPab mouse polyclonal antibody (B02P)
- Antibody type
- Polyclonal
- Description
- Mouse polyclonal antibody raised against a full-length human ChGn protein.
- Antigen sequence
MMMVRRGLLAWISRVVVLLVLLCCAISVLYMLACT
PKGDEEQLALPRANSPTGKEGYQAVLQEWEEQHRN
YVSSLKRQIAQLKEELQERSEQLRNGQYQASDAAG
LGLDRSPPEKTQADLLAFLHSQVDKAEVNAGVKLA
TEYAAVPFDSFTLQKVYQLETGLTRHPEEKPVRKD
KRDELVEAIESALETLNNPAENSPNHRPYTASDFI
EGIYRTERDKGTLYELTFKGDHKHEFKRLILFRPF
GPIMKVENEKLNMANTLINVIVPLAKRVDKFRQFM
QNFRPADEVFRCVPLSP- Storage
- Store at -20°C or lower. Aliquot to avoid repeated freezing and thawing.
No comments: Submit comment
Supportive validation
- Submitted by
- Abnova Corporation (provider)
- Main image

- Experimental details
- Western Blot analysis of CSGALNACT1 expression in transfected 293T cell line (H00055790-T02) by CSGALNACT1 MaxPab polyclonal antibody.Lane 1: ChGn transfected lysate(32.67 KDa).Lane 2: Non-transfected lysate.
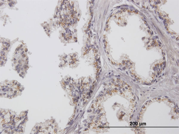
Supportive validation
- Submitted by
- Abnova Corporation (provider)
- Main image

- Experimental details
- Immunoperoxidase of purified MaxPab antibody to ChGn on formalin-fixed paraffin-embedded human prostate. [antibody concentration 3 ug/ml]
- Validation comment
- Immunohistochemistry (Formalin/PFA-fixed paraffin-embedded sections)
- Protocol
- Protocol