PA5-112366
antibody from Invitrogen Antibodies
Targeting: AZU1
AZAMP, AZU, CAP37, HBP, HUMAZUR, NAZC
Antibody data
- Antibody Data
- Antigen structure
- References [0]
- Comments [0]
- Validations
- Western blot [1]
- Immunohistochemistry [3]
Submit
Validation data
Reference
Comment
Report error
- Product number
- PA5-112366 - Provider product page

- Provider
- Invitrogen Antibodies
- Product name
- Azurocidin Polyclonal Antibody
- Antibody type
- Polyclonal
- Antigen
- Recombinant full-length protein
- Reactivity
- Human, Mouse
- Host
- Rabbit
- Isotype
- IgG
- Vial size
- 100 μL
- Concentration
- 0.29 mg/mL
- Storage
- -20°C or -80°C if preferred
No comments: Submit comment
Supportive validation
- Submitted by
- Invitrogen Antibodies (provider)
- Main image

- Experimental details
- Western Blot analysis of Azurocidin in multiple sample types using a Azurocidin polyclonal antibody (Product # PA5-112366) at a concentration of 1 µg/ml. A goat anti rabbit polyclonal secondary antibody was used at a dilution of 1:10,000. Sample types that were tested include: Lane 1: 293T whole cell lysate, Lane 2: Mouse spleen tissue, Lane 3: Mouse thymus tissue.
Supportive validation
- Submitted by
- Invitrogen Antibodies (provider)
- Main image

- Experimental details
- Immunocytochemical analysis of paraffin-embeded Azurocidin in human placenta tissue using a Azurocidin Polyclonal antibody (Product # PA5-112366) at a dilution of 1:100.
- Submitted by
- Invitrogen Antibodies (provider)
- Main image

- Experimental details
- Immunocytochemical analysis of paraffin-embeded Azurocidin in human colon tissue using a Azurocidin Polyclonal antibody (Product # PA5-112366) at a dilution of 1:100.
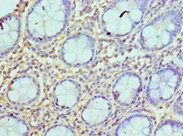
- Submitted by
- Invitrogen Antibodies (provider)
- Main image

- Experimental details
- Immunocytochemical analysis of paraffin-embeded Azurocidin in human colon tissue using a Azurocidin Polyclonal antibody (Product # PA5-112366) at a dilution of 1:100.