Antibody data
- Antibody Data
 - Antigen structure
 - References [0]
 - Comments [0]
 - Validations
 - Western blot [1]
 - Immunohistochemistry [1]
 
Submit
Validation data
Reference
Comment
Report error
- Product number
 - LS-C809346 - Provider product page

 - Provider
 - LSBio
 - Product name
 - MRPL51 Antibody LS-C809346
 - Antibody type
 - Polyclonal
 - Description
 - Peptide affinity chromatography.
 - Reactivity
 - Human, Mouse
 - Host
 - Rabbit
 - Isotype
 - IgG
 - Storage
 - Upon receipt, store at -20°C. Avoid freeze-thaw cycles.
 
				No comments: Submit comment	
	
			
							
					Enhanced validation
					
									
				
				- Submitted by
 - LSBio (provider)
 - Enhanced method
 - Genetic validation
 - Main image
 
- Experimental details
 - Western blot analysis of extracts of K562 cells using MRPL51 antibody.
 
							
					Supportive validation
					
									
				
		- Submitted by
 - LSBio (provider)
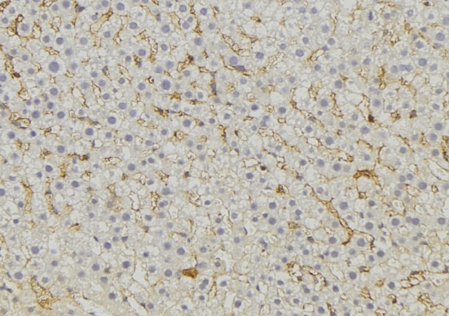
 - Main image
 
- Experimental details
 - 1:100 staining mouse liver tissue by IHC-P. The sample was formaldehyde fixed and a heat mediated antigen retrieval step in citrate buffer was performed. The sample was then blocked and incubated with the antibody for 1.5 hours at 22°C. An HRP conjugated goat anti-rabbit antibody was used as the secondary.