Antibody data
- Antibody Data
- Antigen structure
- References [47]
- Comments [0]
- Validations
- Western blot [1]
- Immunoprecipitation [1]
- Immunohistochemistry [2]
Submit
Validation data
Reference
Comment
Report error
- Product number
- 17564-1-AP - Provider product page

- Provider
- Proteintech Group
- Proper citation
- Proteintech Cat#17564-1-AP, RRID:AB_2143373
- Product name
- CD146/MCAM antibody
- Antibody type
- Polyclonal
- Description
- KD/KO validated CD146/MCAM antibody (Cat. #17564-1-AP) is a rabbit polyclonal antibody that shows reactivity with human, mouse, rat and has been validated for the following applications: FC, IF, IHC, IP, WB,ELISA.
- Reactivity
- Human, Mouse, Rat
- Host
- Rabbit
- Conjugate
- Unconjugated
- Isotype
- IgG
- Vial size
- 20ul, 150ul
Submitted references Establishment of a m(6)A-Related Molecular Pattern in the Prognosis and Immune Infiltration of Osteosarcoma Using Machine Learning and Experiments.
Metabolomics Analysis Reveals Gut Microbiota-Associated Sakuranin Modulates Endometrial Stem Cell Differentiation and Inflammation to Alleviate Pain in Endometriosis.
CD146(+) pericyte-like lung cancer brain metastatic stem cells promote tumor angiogenesis through dual regulatory effects on the VEGF/VEGFR axis.
Sal-hDPSCs Transplantation Alleviates Hypoxic-Ischaemic Ferroptosis in Neonatal Rats Via the FSP1-CoQ(10) Axis.
Exendin-4 Reduces Senescence of Inflammation-Induced Periodontal Ligament Stem Cells Through SIRT1/Notch1 Signaling.
Specnuezhenide Alleviates Senile Osteoporosis by Activating TGR5/FXR Signaling in Bone Marrow Mesenchymal Stem Cells and RANKL-Induced Osteoclasts.
Characteristics of lipid metabolism dysfunction in hypertensive disorders of pregnancy.
Protocatechuic aldehyde promotes diabetic wound healing by enhancing angiogenesis via H3K18 lactylation-mediated Acvr1c expression.
BACH1 deficiency improves placental angiogenesis via SLC25A51-mediated mitochondrial NAD(+) transport in intrahepatic cholestasis of pregnancy.
Senolytic elimination of senescent cells improved periodontal ligament stem cell-based bone regeneration partially through inhibiting YAP.
Melanoma Cell Adhesion Molecule Plays a Pivotal Role in Proliferation, Migration, Tumor Immune Microenvironment, and Immunotherapy in Colorectal Cancer.
The role of transient receptor potential melastatin channels in compressive force-induced contraction of primary cardiac pericytes.
Human neural stem cell-derived small extracellular vesicles enhance functional recovery after ischemic stroke through the miR-362-3p/MCAM/Wnt/β-catenin axis.
Spatiotemporally Programming Microenvironment to Recapitulate Endochondral Ossification via Greenhouse-Inspired Bionic Niche.
CD142-positive synovial fibroblasts drive meniscus destruction in rheumatoid arthritis.
Machine learning developed LKB1-AMPK signaling related signature for prognosis and drug sensitivity in hepatocellular carcinoma.
Single-cell sequencing reveals MCAM(+) MyCAFs as key pro-angiogenic cells interacting with endothelial cells in solid-type adenoid cystic carcinoma.
CD146(+) CAFs mediate immunosuppression in gastric cancer via COL4A1: potential therapeutic targets.
Cigarette smoke disrupts osteogenic-adipogenic balance via Nrf2/HERC2 axis-driven ferroptosis.
The long noncoding RNA lnc-FANCI-2 intrinsically restricts RAS signaling in human papillomavirus type 16-infected cervical cancer cells.
Rapamycin ameliorates senescence of periodontal ligament stem cells and promotes their osteogenesis via the PI3K/AKT pathway.
Regeneration process of severed rabbit common calcanean tendons influenced by external compression.
Integrin β8 prevents pericyte-myofibroblast transition and renal fibrosis through inhibiting the TGF-β1/TGFBR1/Smad3 pathway in diabetic kidney disease.
Biological characteristics of Muse cells derived from MenSCs and their application in acute liver injury and intracerebral hemorrhage diseases.
Exosomes derived from umbilical cord mesenchymal stem cells promote healing of complex perianal fistulas in rats.
The therapeutic value of adipose-derived pericyte transplantation after intracerebral hemorrhage in rats.
Extrafibrillarly Demineralized Dentin Matrix for Bone Regeneration.
ST6GAL1 inhibits metastasis of hepatocellular carcinoma via modulating sialylation of MCAM on cell surface.
Rejuvenation of tendon stem/progenitor cells for functional tendon regeneration through platelet-derived exosomes loaded with recombinant Yap1.
Overexpression of MCAM induced by SMYD2-H3K36me2 in breast cancer stem cell properties.
Connective tissue growth factor promotes cementogenesis and cementum repair via Cx43/β-catenin axis.
Pericyte mediates the infiltration, migration, and polarization of macrophages by CD163/MCAM axis in glioblastoma.
Dental pulp stem cells-based therapy for the oviduct injury via immunomodulation and angiogenesis in vivo.
Galectin-3 Is a Natural Binding Ligand of MCAM (CD146, MUC18) in Melanoma Cells and Their Interaction Promotes Melanoma Progression.
A Hierarchical-Structured Mineralized Nanofiber Scaffold with Osteoimmunomodulatory and Osteoinductive Functions for Enhanced Alveolar Bone Regeneration.
Mitochondrial calcium uptake regulates tumour progression in embryonal rhabdomyosarcoma.
Macropore design of tissue engineering scaffolds regulates mesenchymal stem cell differentiation fate.
Co-delivery of fibrin-laminin hydrogel with mesenchymal stem cell spheroids supports skeletal muscle regeneration following trauma.
KDM3A/Ets1/MCAM axis promotes growth and metastatic properties in Rhabdomyosarcoma.
Salvianolic acid B ameliorates atherosclerosis via inhibiting YAP/TAZ/JNK signaling pathway in endothelial cells and pericytes.
Immunohistochemical staining with chemokine panel of non-specific colitis predicts future IBD diagnosis.
Therapeutic Effects of Human Urine-Derived Stem Cells in a Rat Model of Cisplatin-Induced Acute Kidney Injury In Vivo and In Vitro.
MicroRNA let-7c-5p promotes osteogenic differentiation of dental pulp stem cells by inhibiting lipopolysaccharide-induced inflammation via HMGA2/PI3K/Akt signal blockade.
The histone demethylase KDM3A, and its downstream target MCAM, promote Ewing Sarcoma cell migration and metastasis.
Role of hypoxia-inducible factor-1α and CD146 in epidermal growth factor receptor-mediated angiogenesis in salivary gland adenoid cystic carcinoma.
MCAM is a novel metastasis marker and regulates spreading, apoptosis and invasion of ovarian cancer cells.
Comparative proteomic analysis of primary schwann cells and a spontaneously immortalized schwann cell line RSC 96: a comprehensive overview with a focus on cell adhesion and migration related proteins.
He N, Chen X, Zhang C
International journal of genomics 2026;2026:2000690
International journal of genomics 2026;2026:2000690
Metabolomics Analysis Reveals Gut Microbiota-Associated Sakuranin Modulates Endometrial Stem Cell Differentiation and Inflammation to Alleviate Pain in Endometriosis.
Shi W, Wang M, Jin Z, Chen X, Li J, Lai H, Li X, Zhong Q, Chen Y, Chen S
Journal of pain research 2026;19:557430
Journal of pain research 2026;19:557430
CD146(+) pericyte-like lung cancer brain metastatic stem cells promote tumor angiogenesis through dual regulatory effects on the VEGF/VEGFR axis.
Liu W, Duan W, Xia S, Liu Y, Chu H, Liang K, Fang S, Lin M, Wei S, You X, Hu Q, Qi J, Wang Q
Theranostics 2026;16(4):1905-1924
Theranostics 2026;16(4):1905-1924
Sal-hDPSCs Transplantation Alleviates Hypoxic-Ischaemic Ferroptosis in Neonatal Rats Via the FSP1-CoQ(10) Axis.
Xu K, Li Y, Gao S, Fang X, Zhang X, Zhang X, Wang F, Wang X
International dental journal 2026 Apr 29;76(4):109573
International dental journal 2026 Apr 29;76(4):109573
Exendin-4 Reduces Senescence of Inflammation-Induced Periodontal Ligament Stem Cells Through SIRT1/Notch1 Signaling.
Xu Y, Zheng J, Liu M, Fu Z, Wang P
Stem cells international 2025;2025:7639451
Stem cells international 2025;2025:7639451
Specnuezhenide Alleviates Senile Osteoporosis by Activating TGR5/FXR Signaling in Bone Marrow Mesenchymal Stem Cells and RANKL-Induced Osteoclasts.
Deng X, Lin B, Xiao W, Wang F, Xu P, Wang N
Drug design, development and therapy 2025;19:1595-1608
Drug design, development and therapy 2025;19:1595-1608
Characteristics of lipid metabolism dysfunction in hypertensive disorders of pregnancy.
Wang Z, Zhang L, Zhou X, Zhu S, Li W, Tan W, He Z, Fu Y, Yang Y, Liu Y, Zeng W, Wu J, Wang S, Feng L, Ding W
BMC pregnancy and childbirth 2025 Oct 14;25(1):1080
BMC pregnancy and childbirth 2025 Oct 14;25(1):1080
Protocatechuic aldehyde promotes diabetic wound healing by enhancing angiogenesis via H3K18 lactylation-mediated Acvr1c expression.
Fan W, You Y, Qu Y, Liu G
Molecular immunology 2025 Nov;187:152-165
Molecular immunology 2025 Nov;187:152-165
BACH1 deficiency improves placental angiogenesis via SLC25A51-mediated mitochondrial NAD(+) transport in intrahepatic cholestasis of pregnancy.
Li S, Zhu W, Xing Z, Chen D, Zhao H, Zhang Y, Zhang W, Sun J, Wu Y, Ai L, Pang Q
Molecular medicine (Cambridge, Mass.) 2025 May 1;31(1):162
Molecular medicine (Cambridge, Mass.) 2025 May 1;31(1):162
Senolytic elimination of senescent cells improved periodontal ligament stem cell-based bone regeneration partially through inhibiting YAP.
Jia L, Xiao H, Hao Z, Sun S, Zhao W, Gong Z, Gu W, Wen Y
Biochimica et biophysica acta. Molecular cell research 2025 Mar;1872(3):119921
Biochimica et biophysica acta. Molecular cell research 2025 Mar;1872(3):119921
Melanoma Cell Adhesion Molecule Plays a Pivotal Role in Proliferation, Migration, Tumor Immune Microenvironment, and Immunotherapy in Colorectal Cancer.
Zhou J, Liu J, Yu Y, Nie H, Hong Y, Ning Y, Yang C, Lai J, Wang H, Tang X, Wang F, Zhao Q
Cancer medicine 2025 Mar;14(5):e70740
Cancer medicine 2025 Mar;14(5):e70740
The role of transient receptor potential melastatin channels in compressive force-induced contraction of primary cardiac pericytes.
Methner C, Cilento E, Cao Z, Iliff J, Mishra A, Kaul S
Physiological reports 2025 Jun;13(12):e70396
Physiological reports 2025 Jun;13(12):e70396
Human neural stem cell-derived small extracellular vesicles enhance functional recovery after ischemic stroke through the miR-362-3p/MCAM/Wnt/β-catenin axis.
Zhu Z, Zhang G, Ahmed W, Feng J, Wang C, Zhang Y, Wu G, Hong C, Zhang Q, Feng T, Liu J, Zhao A, Chen L
International immunopharmacology 2025 Jun 17;158:114826
International immunopharmacology 2025 Jun 17;158:114826
Spatiotemporally Programming Microenvironment to Recapitulate Endochondral Ossification via Greenhouse-Inspired Bionic Niche.
Liu X, Zhao Y, Wu X, Zhou Y, Liu Y, Wang S, Zhang Y, Yang H, Song F, Huang C
Advanced materials (Deerfield Beach, Fla.) 2025 Jul;37(28):e2504057
Advanced materials (Deerfield Beach, Fla.) 2025 Jul;37(28):e2504057
CD142-positive synovial fibroblasts drive meniscus destruction in rheumatoid arthritis.
Sun H, Lin X, Liu F, Zhang Y, Ma J, Huang Z, Huang J, Yao L, Zhang M, Chen M, Xu J, Wei Y, Dai L, Ma R
Nature communications 2025 Jul 28;16(1):6942
Nature communications 2025 Jul 28;16(1):6942
Machine learning developed LKB1-AMPK signaling related signature for prognosis and drug sensitivity in hepatocellular carcinoma.
Li W, Zhu X, Fang J
Scientific reports 2025 Jul 1;15(1):20738
Scientific reports 2025 Jul 1;15(1):20738
Single-cell sequencing reveals MCAM(+) MyCAFs as key pro-angiogenic cells interacting with endothelial cells in solid-type adenoid cystic carcinoma.
Yuan X, Liu Y, Zhang B, Fang Y, Meng L, Chen Z, Zhang H, Mo Y, Jiang W
Cancer cell international 2025 Dec 8;26(1):10
Cancer cell international 2025 Dec 8;26(1):10
CD146(+) CAFs mediate immunosuppression in gastric cancer via COL4A1: potential therapeutic targets.
Chen J, Xu P, Wang Q, Dai J, Liang S, Yang S, Xie G, Li X, Wang Y, Hua H, Ping X, Shen J, Shen L
Journal for immunotherapy of cancer 2025 Dec 21;13(12)
Journal for immunotherapy of cancer 2025 Dec 21;13(12)
Cigarette smoke disrupts osteogenic-adipogenic balance via Nrf2/HERC2 axis-driven ferroptosis.
Li W, Song L, Zhang F, Pan Y, Xu W, Huang F, Wang N
Free radical biology & medicine 2025 Dec 1;240:704-716
Free radical biology & medicine 2025 Dec 1;240:704-716
The long noncoding RNA lnc-FANCI-2 intrinsically restricts RAS signaling in human papillomavirus type 16-infected cervical cancer cells.
Liu H, Yu L, Majerciak V, Meyer TJ, Yi M, Johnson PF, Cam M, Lowy DR, Zheng ZM
eLife 2025 Aug 29;13
eLife 2025 Aug 29;13
Rapamycin ameliorates senescence of periodontal ligament stem cells and promotes their osteogenesis via the PI3K/AKT pathway.
Zheng Z, Li Z, Liu X, Liu L, Zhang P, Cui Y, Ding G
International immunopharmacology 2025 Apr 24;153:114517
International immunopharmacology 2025 Apr 24;153:114517
Regeneration process of severed rabbit common calcanean tendons influenced by external compression.
Wu H, Dai X, Huang L, Li X, Wei S, Xu F
Journal of orthopaedic surgery and research 2024 Nov 28;19(1):808
Journal of orthopaedic surgery and research 2024 Nov 28;19(1):808
Integrin β8 prevents pericyte-myofibroblast transition and renal fibrosis through inhibiting the TGF-β1/TGFBR1/Smad3 pathway in diabetic kidney disease.
Cao Y, Su H, Zeng J, Xie Y, Liu Z, Liu F, Qiu Y, Yi F, Lin J, Hammes HP, Zhang C
Translational research : the journal of laboratory and clinical medicine 2024 Mar;265:36-50
Translational research : the journal of laboratory and clinical medicine 2024 Mar;265:36-50
Biological characteristics of Muse cells derived from MenSCs and their application in acute liver injury and intracerebral hemorrhage diseases.
Li H, Wei J, Li M, Li Y, Zhang T, Tian J, Liu X, Li K, Lin J
Regenerative therapy 2024 Dec;27:48-62
Regenerative therapy 2024 Dec;27:48-62
Exosomes derived from umbilical cord mesenchymal stem cells promote healing of complex perianal fistulas in rats.
Lu Y, Huangfu S, Ma C, Ding Y, Zhang Y, Zhou C, Liao L, Li M, You J, Chen Y, Wang D, Chen A, Jiang B
Stem cell research & therapy 2024 Dec 29;15(1):414
Stem cell research & therapy 2024 Dec 29;15(1):414
The therapeutic value of adipose-derived pericyte transplantation after intracerebral hemorrhage in rats.
Zhang X, Zhou Y, Liu Q, Wang F, Fu L, Wei Y, Ye Y, Guo Y
Journal of molecular histology 2023 Oct;54(5):499-508
Journal of molecular histology 2023 Oct;54(5):499-508
Extrafibrillarly Demineralized Dentin Matrix for Bone Regeneration.
Wu X, Peng W, Liu G, Wang S, Duan B, Yu J, Yang H, Huang C
Advanced healthcare materials 2023 May;12(12):e2202611
Advanced healthcare materials 2023 May;12(12):e2202611
ST6GAL1 inhibits metastasis of hepatocellular carcinoma via modulating sialylation of MCAM on cell surface.
Zou X, Lu J, Deng Y, Liu Q, Yan X, Cui Y, Xiao X, Fang M, Yang F, Sawaki H, Sato T, Tan B, Lu X, Feng B, Kuno A, Narimatsu H, Gao C, Zhang Y
Oncogene 2023 Feb;42(7):516-529
Oncogene 2023 Feb;42(7):516-529
Rejuvenation of tendon stem/progenitor cells for functional tendon regeneration through platelet-derived exosomes loaded with recombinant Yap1.
Lu J, Yang X, He C, Chen Y, Li C, Li S, Chen Y, Wu Y, Xiang Z, Kang J, Jiang G, Wang C, Diarra MD, He R, Feng G, Yan R
Acta biomaterialia 2023 Apr 15;161:80-99
Acta biomaterialia 2023 Apr 15;161:80-99
Overexpression of MCAM induced by SMYD2-H3K36me2 in breast cancer stem cell properties.
Li X, Wang Y, Zhang Y, Liu B
Breast cancer (Tokyo, Japan) 2022 Sep;29(5):854-868
Breast cancer (Tokyo, Japan) 2022 Sep;29(5):854-868
Connective tissue growth factor promotes cementogenesis and cementum repair via Cx43/β-catenin axis.
Wu Z, He Y, Chen S, Zhu L, Wang J, Zhang D, Xie J, Zou S, Zhou C
Stem cell research & therapy 2022 Sep 6;13(1):460
Stem cell research & therapy 2022 Sep 6;13(1):460
Pericyte mediates the infiltration, migration, and polarization of macrophages by CD163/MCAM axis in glioblastoma.
Zhang H, Zhang N, Wu W, Wang Z, Dai Z, Liang X, Zhang L, Peng Y, Luo P, Zhang J, Liu Z, Cheng Q, Liu Z
iScience 2022 Sep 16;25(9):104918
iScience 2022 Sep 16;25(9):104918
Dental pulp stem cells-based therapy for the oviduct injury via immunomodulation and angiogenesis in vivo.
Luo L, Xing Z, Liao X, Li Y, Luo Y, Ai Y, He Y, Ye Q
Cell proliferation 2022 Oct;55(10):e13293
Cell proliferation 2022 Oct;55(10):e13293
Galectin-3 Is a Natural Binding Ligand of MCAM (CD146, MUC18) in Melanoma Cells and Their Interaction Promotes Melanoma Progression.
Pang Y, Maxwell E, Sindrewicz-Goral P, Shapanis A, Li S, Morgan M, Yu LG
Biomolecules 2022 Oct 10;12(10)
Biomolecules 2022 Oct 10;12(10)
A Hierarchical-Structured Mineralized Nanofiber Scaffold with Osteoimmunomodulatory and Osteoinductive Functions for Enhanced Alveolar Bone Regeneration.
He Y, Tian M, Li X, Hou J, Chen S, Yang G, Liu X, Zhou S
Advanced healthcare materials 2022 Feb;11(3):e2102236
Advanced healthcare materials 2022 Feb;11(3):e2102236
Mitochondrial calcium uptake regulates tumour progression in embryonal rhabdomyosarcoma.
Chiu HY, Loh AHP, Taneja R
Cell death & disease 2022 Apr 30;13(4):419
Cell death & disease 2022 Apr 30;13(4):419
Macropore design of tissue engineering scaffolds regulates mesenchymal stem cell differentiation fate.
Swanson WB, Omi M, Zhang Z, Nam HK, Jung Y, Wang G, Ma PX, Hatch NE, Mishina Y
Biomaterials 2021 May;272:120769
Biomaterials 2021 May;272:120769
Co-delivery of fibrin-laminin hydrogel with mesenchymal stem cell spheroids supports skeletal muscle regeneration following trauma.
Genovese P, Patel A, Ziemkiewicz N, Paoli A, Bruns J, Case N, Zustiak SP, Garg K
Journal of tissue engineering and regenerative medicine 2021 Dec;15(12):1131-1143
Journal of tissue engineering and regenerative medicine 2021 Dec;15(12):1131-1143
KDM3A/Ets1/MCAM axis promotes growth and metastatic properties in Rhabdomyosarcoma.
Sobral LM, Sechler M, Parrish JK, McCann TS, Jones KL, Black JC, Jedlicka P
Genes & cancer 2020;11(1-2):53-65
Genes & cancer 2020;11(1-2):53-65
Salvianolic acid B ameliorates atherosclerosis via inhibiting YAP/TAZ/JNK signaling pathway in endothelial cells and pericytes.
Yang Y, Pei K, Zhang Q, Wang D, Feng H, Du Z, Zhang C, Gao Z, Yang W, Wu J, Li Y
Biochimica et biophysica acta. Molecular and cell biology of lipids 2020 Oct;1865(10):158779
Biochimica et biophysica acta. Molecular and cell biology of lipids 2020 Oct;1865(10):158779
Immunohistochemical staining with chemokine panel of non-specific colitis predicts future IBD diagnosis.
El-Saka AM, Zamzam YA, Haydara T, Abd-Elsalam S
Cytokine 2020 Mar;127:154935
Cytokine 2020 Mar;127:154935
Therapeutic Effects of Human Urine-Derived Stem Cells in a Rat Model of Cisplatin-Induced Acute Kidney Injury In Vivo and In Vitro.
Sun B, Luo X, Yang C, Liu P, Yang Y, Dong X, Yang Z, Xu J, Zhang Y, Li L
Stem cells international 2019;2019:8035076
Stem cells international 2019;2019:8035076
MicroRNA let-7c-5p promotes osteogenic differentiation of dental pulp stem cells by inhibiting lipopolysaccharide-induced inflammation via HMGA2/PI3K/Akt signal blockade.
Yuan H, Zhao H, Wang J, Zhang H, Hong L, Li H, Che H, Zhang Z
Clinical and experimental pharmacology & physiology 2019 Apr;46(4):389-397
Clinical and experimental pharmacology & physiology 2019 Apr;46(4):389-397
The histone demethylase KDM3A, and its downstream target MCAM, promote Ewing Sarcoma cell migration and metastasis.
Sechler M, Parrish JK, Birks DK, Jedlicka P
Oncogene 2017 Jul 20;36(29):4150-4160
Oncogene 2017 Jul 20;36(29):4150-4160
Role of hypoxia-inducible factor-1α and CD146 in epidermal growth factor receptor-mediated angiogenesis in salivary gland adenoid cystic carcinoma.
Wang WM, Zhao ZL, Zhang WF, Zhao YF, Zhang L, Sun ZJ
Molecular medicine reports 2015 Sep;12(3):3432-3438
Molecular medicine reports 2015 Sep;12(3):3432-3438
MCAM is a novel metastasis marker and regulates spreading, apoptosis and invasion of ovarian cancer cells.
Wu Z, Wu Z, Li J, Yang X, Wang Y, Yu Y, Ye J, Xu C, Qin W, Zhang Z
Tumour biology : the journal of the International Society for Oncodevelopmental Biology and Medicine 2012 Oct;33(5):1619-28
Tumour biology : the journal of the International Society for Oncodevelopmental Biology and Medicine 2012 Oct;33(5):1619-28
Comparative proteomic analysis of primary schwann cells and a spontaneously immortalized schwann cell line RSC 96: a comprehensive overview with a focus on cell adhesion and migration related proteins.
Ji Y, Shen M, Wang X, Zhang S, Yu S, Chen G, Gu X, Ding F
Journal of proteome research 2012 Jun 1;11(6):3186-98
Journal of proteome research 2012 Jun 1;11(6):3186-98
No comments: Submit comment
Supportive validation
- Submitted by
- Proteintech Group (provider)
- Main image

- Experimental details
- A375 cells were subjected to SDS PAGE followed by western blot with 17564-1-AP( CD146, MCAM Antibody) at dilution of 1:1000
- Sample type
- cell line
Supportive validation
- Submitted by
- Proteintech Group (provider)
- Main image

- Experimental details
- IP Result of anti-CD146, MCAM (IP:17564-1-AP, 3ug; Detection:17564-1-AP 1:500) with HepG2 cells lysate 3600ug.
- Sample type
- cell line
Supportive validation
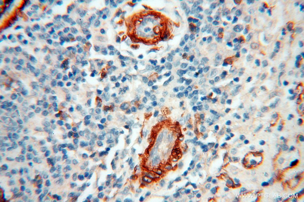
- Submitted by
- Proteintech Group (provider)
- Main image

- Experimental details
- Immunohistochemical of paraffin-embedded human spleen using 17564-1-AP(CD146, MCAM antibody) at dilution of 1:100 (under 10x lens)
- Sample type
- tissue
- Submitted by
- Proteintech Group (provider)
- Main image

- Experimental details
- The CD146/MCAM antibody from Proteintech is a rabbit polyclonal antibody to a recombinant protein of human CD146/MCAM. This antibody recognizes human,mouse,rat antigen. The CD146/MCAM antibody has been validated for the following applications: ELISA, IHC, IP, WB analysis.