Antibody data
- Antibody Data
- Antigen structure
- References [6]
- Comments [0]
- Validations
- Western blot [2]
- Immunohistochemistry [3]
Submit
Validation data
Reference
Comment
Report error
- Product number
- AF932 - Provider product page

- Provider
- Novus Biologicals
- Product name
- Goat Polyclonal MCAM/CD146 Antibody
- Antibody type
- Polyclonal
- Description
- Antigen Affinity-purified. Detects human MCAM/CD46 in Western blots and direct ELISAs. In direct ELISAs, less than 10% cross-reactivity with recombinant human (rh) ALCAM, rhBCAM, rhNCAM-L1, rhTROP-2 and recombinant mouse MCAM is observed.
- Reactivity
- Human
- Host
- Goat
- Conjugate
- Unconjugated
- Isotype
- IgG
- Vial size
- 100 ug
- Concentration
- LYOPH
- Storage
- Use a manual defrost freezer and avoid repeated freeze-thaw cycles. 12 months from date of receipt, -20 to -70 degreesC as supplied. 1 month, 2 to 8 degreesC under sterile conditions after reconstitution. 6 months, -20 to -70 degreesC under sterile conditions after reconstitution.
Submitted references Platelet-Derived Growth Factor Receptor-Positive Pericytic Cells of White Adipose Tissue from Critical Limb Ischemia Patients Display Mesenchymal Stem Cell-Like Properties.
Chemotherapy enhances tumor vascularization via Notch signaling-mediated formation of tumor-derived endothelium in breast cancer.
Expression of the immunoglobulin superfamily cell adhesion molecules in the developing spinal cord and dorsal root ganglion.
CD105 expression on CD34-negative spindle-shaped stromal cells of primary tumor is an unfavorable prognostic marker in early breast cancer patients.
Plasticity of blood- and lymphatic endothelial cells and marker identification.
Endothelial endoglin is involved in inflammation: role in leukocyte adhesion and transmigration.
Kim EJ, Seo SG, Shin HS, Lee DJ, Kim JH, Lee DY
Clinics in orthopedic surgery 2017 Jun;9(2):239-248
Clinics in orthopedic surgery 2017 Jun;9(2):239-248
Chemotherapy enhances tumor vascularization via Notch signaling-mediated formation of tumor-derived endothelium in breast cancer.
Zhang P, He D, Chen Z, Pan Q, Du F, Zang X, Wang Y, Tang C, Li H, Lu H, Yao X, Jin J, Ma X
Biochemical pharmacology 2016 Oct 15;118:18-30
Biochemical pharmacology 2016 Oct 15;118:18-30
Expression of the immunoglobulin superfamily cell adhesion molecules in the developing spinal cord and dorsal root ganglion.
Gu Z, Imai F, Kim IJ, Fujita H, Katayama Ki, Mori K, Yoshihara Y, Yoshida Y
PloS one 2015;10(3):e0121550
PloS one 2015;10(3):e0121550
CD105 expression on CD34-negative spindle-shaped stromal cells of primary tumor is an unfavorable prognostic marker in early breast cancer patients.
Martinez LM, Labovsky V, Calcagno ML, Davies KM, Garcia Rivello H, Bianchi MS, Wernicke A, Fernández Vallone VB, Chasseing NA
PloS one 2015;10(3):e0121421
PloS one 2015;10(3):e0121421
Plasticity of blood- and lymphatic endothelial cells and marker identification.
Keuschnigg J, Karinen S, Auvinen K, Irjala H, Mpindi JP, Kallioniemi O, Hautaniemi S, Jalkanen S, Salmi M
PloS one 2013;8(9):e74293
PloS one 2013;8(9):e74293
Endothelial endoglin is involved in inflammation: role in leukocyte adhesion and transmigration.
Rossi E, Sanz-Rodriguez F, Eleno N, Düwell A, Blanco FJ, Langa C, Botella LM, Cabañas C, Lopez-Novoa JM, Bernabeu C
Blood 2013 Jan 10;121(2):403-15
Blood 2013 Jan 10;121(2):403-15
No comments: Submit comment
Supportive validation
- Submitted by
- Novus Biologicals (provider)
- Main image

- Experimental details
- Detection of Human MCAM/CD146 by Simple Western<sup abp="263">TM. Detection of Human MCAM/CD146 by Simple Western<sup abp="263">TM.
- Submitted by
- Novus Biologicals (provider)
- Main image

- Experimental details
- Detection of Human MCAM/CD146 by Western Blot. Detection of Human MCAM/CD146 by Western Blot.
Supportive validation
- Submitted by
- Novus Biologicals (provider)
- Main image

- Experimental details
- MCAM/CD146 in Human Melanoma. MCAM/CD146 in Human Melanoma.
- Submitted by
- Novus Biologicals (provider)
- Main image

- Experimental details
- MCAM/CD146 in Human Melanoma. MCAM/CD146 in Human Melanoma.
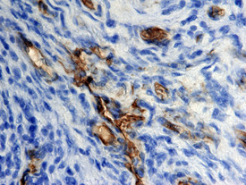
- Submitted by
- Novus Biologicals (provider)
- Main image

- Experimental details
- MCAM/CD146 in Human Melanoma Tissue. MCAM/CD146 in Human Melanoma Tissue.