14676-1-AP
antibody from Proteintech Group
Targeting: ATP5F1A
ATP5A, ATP5A1, ATP5AL2, ATPM, hATP1, OMR, ORM
Antibody data
- Antibody Data
- Antigen structure
- References [115]
- Comments [0]
- Validations
- Western blot [1]
- Immunocytochemistry [1]
- Immunohistochemistry [2]
Submit
Validation data
Reference
Comment
Report error
- Product number
- 14676-1-AP - Provider product page

- Provider
- Proteintech Group
- Proper citation
- Proteintech Cat#14676-1-AP, RRID:AB_2061761
- Product name
- ATP5A1 antibody
- Antibody type
- Polyclonal
- Description
- ATP5A1 antibody (Cat. #14676-1-AP) is a rabbit polyclonal antibody that shows reactivity with human, mouse, rat and has been validated for the following applications: IF, IHC, WB, ELISA.
- Reactivity
- Human, Mouse, Rat
- Host
- Rabbit
- Conjugate
- Unconjugated
- Isotype
- IgG
- Vial size
- 20ul, 150ul
Submitted references Xiasangju alleviate metabolic syndrome by enhancing noradrenaline biosynthesis and activating brown adipose tissue.
Blockade of pan-viral propagation by inhibition of host cell PNPT1.
APC/C-regulated CPT1C promotes tumor progression by upregulating the energy supply and accelerating the G1/S transition.
TREM2 deficiency impairs the energy metabolism of Schwann cells and exacerbates peripheral neurological deficits.
Peroxiredoxin 3 has a crucial role in the macrophage polarization by regulating mitochondrial homeostasis.
Critical roles of tubular mitochondrial ATP synthase dysfunction in maleic acid-induced acute kidney injury.
Nmnat1 Deficiency Causes Mitoribosome Excess in Diabetic Nephropathy Mediated by Transcriptional Repressor HIC1.
AMPK phosphorylation of FNIP1 (S220) controls mitochondrial function and muscle fuel utilization during exercise.
Deficient tRNA posttranscription modification dysregulated the mitochondrial quality controls and apoptosis.
Subcellular localization of viral proteins after porcine epidemic diarrhea virus infection and their roles in the viral life cycle.
Mitochondria-mediated ferroptosis induced by CARD9 ablation prevents MDSCs-dependent antifungal immunity.
LonP1 Links Mitochondria-ER Interaction to Regulate Heart Function.
Blockage of S100A8/A9 ameliorates septic nephropathy in mice.
F-ATP synthase inhibitory factor 1 regulates metabolic reprogramming involving its interaction with c-Myc and PGC1α.
Aerobic exercise enhances mitochondrial homeostasis to counteract D-galactose-induced sarcopenia in zebrafish.
Loss and recovery of myocardial mitochondria in mice under different tail suspension time: Apoptosis and mitochondrial fission, fusion and autophagy.
MTA1, a Novel ATP Synthase Complex Modulator, Enhances Colon Cancer Liver Metastasis by Driving Mitochondrial Metabolism Reprogramming.
TGR5 supresses cGAS/STING pathway by inhibiting GRP75-mediated endoplasmic reticulum-mitochondrial coupling in diabetic retinopathy.
Myeloid-specific deletion of Capns1 attenuates myocardial infarction injury via restoring mitochondrial function and inhibiting inflammasome activation.
Atorvastatin rescues vascular endothelial injury in hypertension by WWP2-mediated ubiquitination and degradation of ATP5A.
Epileptiform Discharges Reduce Neuronal ATP Production by Inhibiting F0F1-ATP Synthase Activity via A Zinc-α2-Glycoprotein-Dependent Mechanism.
The poxvirus F17 protein counteracts mitochondrially orchestrated antiviral responses.
Iron derived from NCOA4-mediated ferritinophagy causes cellular senescence via the cGAS-STING pathway.
Low-dose atorvastatin protects skeletal muscle mitochondria in high-fat diet-fed mice with mitochondrial autophagy inhibition and fusion enhancement.
TRPM8 promotes hepatocellular carcinoma progression by inducing SNORA55 mediated nuclear-mitochondrial communication.
LINC00493-encoded microprotein SMIM26 exerts anti-metastatic activity in renal cell carcinoma.
High-fat diet causes mitochondrial damage and downregulation of mitofusin-2 and optic atrophy-1 in multiple organs.
Disruption of ER ion homeostasis maintained by an ER anion channel CLCC1 contributes to ALS-like pathologies.
Low-Dose Radiation Reduces Doxorubicin-Induced Myocardial Injury Through Mitochondrial Pathways.
Ligand-free mitochondria-localized mutant AR-induced cytotoxicity in spinal bulbar muscular atrophy.
Mitochondrial SENP2 regulates the assembly of SDH complex under metabolic stress.
Rab8a as a mitochondrial receptor for lipid droplets in skeletal muscle.
SIRT3 promotes metabolic maturation of human iPSC-derived cardiomyocytes via OPA1-controlled mitochondrial dynamics.
RAPIDASH: A tag-free enrichment of ribosome-associated proteins reveals compositional dynamics in embryonic tissues and stimulated macrophages.
Mitochondrial Protein SLIRP Affects Biosynthesis of Cytochrome c Oxidase Subunits in HEK293T Cells.
A Novel Pathway of Functional microRNA Uptake and Mitochondria Delivery.
Aristolochic acid I exposure triggers ovarian dysfunction by activating NLRP3 inflammasome and affecting mitochondrial homeostasis.
Altered trafficking of miRNAs at mitochondria modulates mitochondrial functions and cell death in brain ischemia.
Small molecule agonist of mitochondrial fusion repairs mitochondrial dysfunction.
Proteomic analysis of rat colonic mucosa following acupuncture treatment for irritable bowel syndrome with diarrhea.
Activation of Dynamin-Related Protein 1 and Induction of Mitochondrial Apoptosis by Exosome-Rifampicin Nanoparticles Exerts Anti-Osteosarcoma Effect.
Sleeve Gastrectomy-Induced AMPK Activation Attenuates Diabetic Cardiomyopathy by Maintaining Mitochondrial Homeostasis via NR4A1 Suppression in Rats.
Spermidine protects against acute kidney injury by modulating macrophage NLRP3 inflammasome activation and mitochondrial respiration in an eIF5A hypusination-related pathway.
A Photoannealed Granular Hydrogel Facilitating Hyaline Cartilage Regeneration via Improving Chondrogenic Phenotype.
Nuclear Receptor NR1D1 Regulates Abdominal Aortic Aneurysm Development by Targeting the Mitochondrial Tricarboxylic Acid Cycle Enzyme Aconitase-2.
FNIP1 regulates adipocyte browning and systemic glucose homeostasis in mice by shaping intracellular calcium dynamics.
Antitumor Activity of a Mitochondrial-Targeted HSP90 Inhibitor in Gliomas.
Accumulation of polystyrene microplastics induces liver fibrosis by activating cGAS/STING pathway.
Metabolic targeting of cancer by a ubiquinone uncompetitive inhibitor of mitochondrial complex I.
LONP1-mediated mitochondrial quality control safeguards metabolic shifts in heart development.
Exogenous Otx2 protects midbrain dopaminergic neurons from MPP(+) by interacting with ATP5a1 and promoting ATP synthesis.
Mitochondrial proteostasis stress in muscle drives a long-range protective response to alleviate dietary obesity independently of ATF4.
Global mitochondrial protein import proteomics reveal distinct regulation by translation and translocation machinery.
Slc25a5 regulates adipogenesis by modulating ERK signaling in OP9 cells.
Disuse-associated loss of the protease LONP1 in muscle impairs mitochondrial function and causes reduced skeletal muscle mass and strength.
Elucidation of the Role of FAM210B in Mitochondrial Metabolism and Erythropoiesis.
Mitochondrial remodeling and ischemic protection by G protein-coupled receptor 35 agonists.
Role of molybdenum in material immunomodulation and periodontal wound healing: Targeting immunometabolism and mitochondrial function for macrophage modulation.
Melatonin Regulates Differentiation of Sheep Brown Adipocyte Precursor Cells Via AMP-Activated Protein Kinase.
Resistance of bone marrow mesenchymal stem cells in a stressed environment - Comparison with osteocyte cells.
ShenmaYizhi Decoction Improves the Mitochondrial Structure in the Brain and Ameliorates Cognitive Impairment in VCI Rats via the AMPK/UCP2 Signaling Pathway.
Mitochondrial ROS promote mitochondrial dysfunction and inflammation in ischemic acute kidney injury by disrupting TFAM-mediated mtDNA maintenance.
Biochanin A Inhibits Glioblastoma Growth via Restricting Glycolysis and Mitochondrial Oxidative Phosphorylation.
Punicalagin Protects Against Diabetic Cardiomyopathy by Promoting Opa1-Mediated Mitochondrial Fusion via Regulating PTP1B-Stat3 Pathway.
Celecoxib reverses the glioblastoma chemo-resistance to temozolomide through mitochondrial metabolism.
Effects of photoperiod on morphology and function in testis and epididymis of Cricetulus barabensis.
AMPK-dependent and -independent coordination of mitochondrial function and muscle fiber type by FNIP1.
Parkin-independent mitophagy via Drp1-mediated outer membrane severing and inner membrane ubiquitination.
OMA1 reprograms metabolism under hypoxia to promote colorectal cancer development.
P2X7 receptor signaling promotes inflammation in renal parenchymal cells suffering from ischemia-reperfusion injury.
Change on apoptosis, autophagy and mitochondria of the Harderian gland in Cricetulus barabensis during age.
RGS12 is required for the maintenance of mitochondrial function during skeletal development.
Mitochondrial Transcription Factor A added to Osteocytes in a Stressed Environment has a Cytoprotective Effect.
Drp1-mediated mitochondrial fission contributes to baicalein-induced apoptosis and autophagy in lung cancer via activation of AMPK signaling pathway.
The effect of autophagy and mitochondrial fission on Harderian gland is greater than apoptosis in male hamsters during different photoperiods.
Photoperiod Affects Harderian Gland Morphology and Secretion in Female Cricetulus barabensis: Autophagy, Apoptosis, and Mitochondria.
Taurine Inhibits Glucocorticoid-Induced Bone Mitochondrial Injury, Preventing Osteonecrosis in Rabbits and Cultured Osteocytes.
JNK signalling regulates antioxidant responses in neurons.
A Regulation Loop between YAP and NR4A1 Balances Cell Proliferation and Apoptosis.
Novel ultrastructural findings on cardiac mitochondria of huddling Brandt's voles in mild cold environment.
PHB2 (prohibitin 2) promotes PINK1-PRKN/Parkin-dependent mitophagy by the PARL-PGAM5-PINK1 axis.
Romo1 is involved in the immune response of glioblastoma by regulating the function of macrophages.
BRD4 inhibition by JQ1 prevents high-fat diet-induced diabetic cardiomyopathy by activating PINK1/Parkin-mediated mitophagy in vivo.
A cross-talk between epithelium and endothelium mediates human alveolar-capillary injury during SARS-CoV-2 infection.
The Paf1 complex transcriptionally regulates the mitochondrial-anchored protein Atg32 leading to activation of mitophagy.
Artemisinin suppresses hepatocellular carcinoma cell growth, migration and invasion by targeting cellular bioenergetics and Hippo-YAP signaling.
Insufficient fumarase contributes to hypertension by an imbalance of redox metabolism in Dahl salt-sensitive rats.
Benzoylaconine induces mitochondrial biogenesis in mice via activating AMPK signaling cascade.
TIGAR regulates mitochondrial functions through SIRT1-PGC1α pathway and translocation of TIGAR into mitochondria in skeletal muscle.
TDP-43 induces mitochondrial damage and activates the mitochondrial unfolded protein response.
The 3'UTR of human MAVS mRNA contains multiple regulatory elements for the control of protein expression and subcellular localization.
Promotion of Mitochondrial Biogenesis via Activation of AMPK-PGC1ɑ Signaling Pathway by Ginger (Zingiber officinale Roscoe) Extract, and Its Major Active Component 6-Gingerol.
Avenanthramide A triggers potent ROS-mediated anti-tumor effects in colorectal cancer by directly targeting DDX3.
Energy Metabolism in the Bone is Associated with Histomorphometric Changes in Rats with Hyperthyroidism.
AKT-mediated phosphorylation of ATG4B impairs mitochondrial activity and enhances the Warburg effect in hepatocellular carcinoma cells.
Mitophagy Directs Muscle-Adipose Crosstalk to Alleviate Dietary Obesity.
Leber's hereditary optic neuropathy (LHON)-associated ND5 12338T > C mutation altered the assembly and function of complex I, apoptosis and mitophagy.
Serine protease PRSS55 is crucial for male mouse fertility via affecting sperm migration and sperm-egg binding.
YiQiFuMai Powder Injection Protects against Ischemic Stroke via Inhibiting Neuronal Apoptosis and PKCδ/Drp1-Mediated Excessive Mitochondrial Fission.
Protein profiling and functional analysis of liver mitochondria from rats with nonalcoholic steatohepatitis.
Targeted Metabolomics Reveals Abnormal Hepatic Energy Metabolism by Depletion of β-Carotene Oxygenase 2 in Mice.
Lack of β, β-carotene-9', 10'-oxygenase 2 leads to hepatic mitochondrial dysfunction and cellular oxidative stress in mice.
DJ-1 modulates mitochondrial response to oxidative stress: clues from a novel diagnosis of PARK7.
Exercise Inducible Lactate Dehydrogenase B Regulates Mitochondrial Function in Skeletal Muscle.
Inhibition of Neuroblastoma Tumor Growth by Ketogenic Diet and/or Calorie Restriction in a CD1-Nu Mouse Model.
Interaction of cellular proteins with BCL-xL targeted to cytoplasmic inclusion bodies in adenovirus infected cells.
Mitofilin and CHCHD6 physically interact with Sam50 to sustain cristae structure.
Lipolytic inhibitor G0/G1 switch gene 2 inhibits reactive oxygen species production and apoptosis in endothelial cells.
Evaluation of intramitochondrial ATP levels identifies G0/G1 switch gene 2 as a positive regulator of oxidative phosphorylation.
Prss37 is required for male fertility in the mouse.
The liver connexin32 interactome is a novel plasma membrane-mitochondrial signaling nexus.
Protein sets define disease states and predict in vivo effects of drug treatment.
HtrA2 deficiency causes mitochondrial uncoupling through the F₁F₀-ATP synthase and consequent ATP depletion.
Relevance of the inner mitochondrial membrane enzyme F1F0-ATPase as an autoantigen in autoimmune liver disorders.
Protein composition of immunoprecipitated synaptic ribbons.
He C, An Y, Shi L, Huang Y, Zhang H, Fu W, Wang M, Shan Z, Du Y, Xie J, Huang Z, Sun W, Zhao Y, Zhao B
Frontiers in pharmacology 2024;15:1371929
Frontiers in pharmacology 2024;15:1371929
Blockade of pan-viral propagation by inhibition of host cell PNPT1.
Qu S, Yang C, Sun X, Huang H, Li J, Zhu Y, Zhang Y, Li L, Liang H, Zen K
International journal of antimicrobial agents 2024 May;63(5):107124
International journal of antimicrobial agents 2024 May;63(5):107124
APC/C-regulated CPT1C promotes tumor progression by upregulating the energy supply and accelerating the G1/S transition.
Zhao H, Cheng X, Yan L, Mi F, Wang W, Hu Y, Liu X, Fan Y, Min Q, Wang Y, Zhang W, Wu Q, Zhan Q
Cell communication and signaling : CCS 2024 May 23;22(1):283
Cell communication and signaling : CCS 2024 May 23;22(1):283
TREM2 deficiency impairs the energy metabolism of Schwann cells and exacerbates peripheral neurological deficits.
Zhang N, Ji Q, Chen Y, Wen X, Shan F
Cell death & disease 2024 Mar 7;15(3):193
Cell death & disease 2024 Mar 7;15(3):193
Peroxiredoxin 3 has a crucial role in the macrophage polarization by regulating mitochondrial homeostasis.
Huang W, Wang L, Huang Z, Sun Z, Zheng B
Respiratory research 2024 Mar 2;25(1):110
Respiratory research 2024 Mar 2;25(1):110
Critical roles of tubular mitochondrial ATP synthase dysfunction in maleic acid-induced acute kidney injury.
Lin HY, Liang CJ, Yang MY, Chen PL, Wang TM, Chen YH, Shih YH, Liu W, Chiu CC, Chiang CK, Lin CS, Lin HC
Apoptosis : an international journal on programmed cell death 2024 Jun;29(5-6):620-634
Apoptosis : an international journal on programmed cell death 2024 Jun;29(5-6):620-634
Nmnat1 Deficiency Causes Mitoribosome Excess in Diabetic Nephropathy Mediated by Transcriptional Repressor HIC1.
Hasegawa K, Tamaki M, Sakamaki Y, Wakino S
International journal of molecular sciences 2024 Jun 9;25(12)
International journal of molecular sciences 2024 Jun 9;25(12)
AMPK phosphorylation of FNIP1 (S220) controls mitochondrial function and muscle fuel utilization during exercise.
Xiao L, Yin Y, Sun Z, Liu J, Jia Y, Yang L, Mao Y, Peng S, Xie Z, Fang L, Li J, Xie X, Gan Z
Science advances 2024 Feb 9;10(6):eadj2752
Science advances 2024 Feb 9;10(6):eadj2752
Deficient tRNA posttranscription modification dysregulated the mitochondrial quality controls and apoptosis.
He Y, Zhu G, Li X, Zhou M, Guan MX
iScience 2024 Feb 16;27(2):108883
iScience 2024 Feb 16;27(2):108883
Subcellular localization of viral proteins after porcine epidemic diarrhea virus infection and their roles in the viral life cycle.
Chen XN, Cai ST, Liang YF, Weng ZJ, Song TQ, Li X, Sun YS, Peng YZ, Huang Z, Gao Q, Tang SQ, Zhang GH, Gong L
International journal of biological macromolecules 2024 Aug;274(Pt 2):133401
International journal of biological macromolecules 2024 Aug;274(Pt 2):133401
Mitochondria-mediated ferroptosis induced by CARD9 ablation prevents MDSCs-dependent antifungal immunity.
Zhang Z, Li P, Chen Y, Chen Y, Wang X, Shen S, Zhao Y, Zhu Y, Wang T
Cell communication and signaling : CCS 2024 Apr 2;22(1):210
Cell communication and signaling : CCS 2024 Apr 2;22(1):210
LonP1 Links Mitochondria-ER Interaction to Regulate Heart Function.
Li Y, Huang D, Jia L, Shangguan F, Gong S, Lan L, Song Z, Xu J, Yan C, Chen T, Tan Y, Liu Y, Huang X, Suzuki CK, Yang Z, Yang G, Lu B
Research (Washington, D.C.) 2023;6:0175
Research (Washington, D.C.) 2023;6:0175
Blockage of S100A8/A9 ameliorates septic nephropathy in mice.
Shi W, Wan TT, Li HH, Guo SB
Frontiers in pharmacology 2023;14:1172356
Frontiers in pharmacology 2023;14:1172356
F-ATP synthase inhibitory factor 1 regulates metabolic reprogramming involving its interaction with c-Myc and PGC1α.
Guo L, Gu Z
Frontiers in oncology 2023;13:1207603
Frontiers in oncology 2023;13:1207603
Aerobic exercise enhances mitochondrial homeostasis to counteract D-galactose-induced sarcopenia in zebrafish.
Chen ZL, Guo C, Zou YY, Feng C, Yang DX, Sun CC, Wen W, Jian ZJ, Zhao Z, Xiao Q, Zheng L, Peng XY, Zhou ZQ, Tang CF
Experimental gerontology 2023 Sep;180:112265
Experimental gerontology 2023 Sep;180:112265
Loss and recovery of myocardial mitochondria in mice under different tail suspension time: Apoptosis and mitochondrial fission, fusion and autophagy.
Wang Z, Wang XC, Chen YF, Wang CL, Chen L, Jiang MY, Liu XW, Zhang XX, Feng YZ, Xu JH
Experimental physiology 2023 Sep;108(9):1189-1202
Experimental physiology 2023 Sep;108(9):1189-1202
MTA1, a Novel ATP Synthase Complex Modulator, Enhances Colon Cancer Liver Metastasis by Driving Mitochondrial Metabolism Reprogramming.
Wang T, Sun F, Li C, Nan P, Song Y, Wan X, Mo H, Wang J, Zhou Y, Guo Y, Helali AE, Xu D, Zhan Q, Ma F, Qian H
Advanced science (Weinheim, Baden-Wurttemberg, Germany) 2023 Sep;10(25):e2300756
Advanced science (Weinheim, Baden-Wurttemberg, Germany) 2023 Sep;10(25):e2300756
TGR5 supresses cGAS/STING pathway by inhibiting GRP75-mediated endoplasmic reticulum-mitochondrial coupling in diabetic retinopathy.
Li Y, Zhu L, Cai MX, Wang ZL, Zhuang M, Tan CY, Xie TH, Yao Y, Wei TT
Cell death & disease 2023 Sep 1;14(9):583
Cell death & disease 2023 Sep 1;14(9):583
Myeloid-specific deletion of Capns1 attenuates myocardial infarction injury via restoring mitochondrial function and inhibiting inflammasome activation.
Xiao Z, Wei X, Li M, Yang K, Chen R, Su Y, Yu Z, Liang Y, Ge J
Journal of molecular and cellular cardiology 2023 Oct;183:54-66
Journal of molecular and cellular cardiology 2023 Oct;183:54-66
Atorvastatin rescues vascular endothelial injury in hypertension by WWP2-mediated ubiquitination and degradation of ATP5A.
Yin Z, You S, Zhang S, Zhang L, Wu B, Huang X, Lu S, Cao L, Zhang Y, Li D, Zhang X, Liu J, Sun Y, Zhang N
Biomedicine & pharmacotherapy = Biomedecine & pharmacotherapie 2023 Oct;166:115228
Biomedicine & pharmacotherapy = Biomedecine & pharmacotherapie 2023 Oct;166:115228
Epileptiform Discharges Reduce Neuronal ATP Production by Inhibiting F0F1-ATP Synthase Activity via A Zinc-α2-Glycoprotein-Dependent Mechanism.
Liang Y, Zhao L, Dai C, Liu G, Zhong Y, Liu H, Mo L, Tan C, Liu X, Chen L
Molecular neurobiology 2023 Nov;60(11):6627-6641
Molecular neurobiology 2023 Nov;60(11):6627-6641
The poxvirus F17 protein counteracts mitochondrially orchestrated antiviral responses.
Meade N, Toreev HK, Chakrabarty RP, Hesser CR, Park C, Chandel NS, Walsh D
Nature communications 2023 Nov 30;14(1):7889
Nature communications 2023 Nov 30;14(1):7889
Iron derived from NCOA4-mediated ferritinophagy causes cellular senescence via the cGAS-STING pathway.
Li HY, Wei TT, Zhuang M, Tan CY, Xie TH, Cai J, Yao Y, Zhu L
Cell death discovery 2023 Nov 18;9(1):419
Cell death discovery 2023 Nov 18;9(1):419
Low-dose atorvastatin protects skeletal muscle mitochondria in high-fat diet-fed mice with mitochondrial autophagy inhibition and fusion enhancement.
Zheng P, Zhang Q, Ma W, Hu R, Gu Y, Bian Z, Yang D, Chen X, Wu H
European journal of pharmacology 2023 Nov 15;959:176085
European journal of pharmacology 2023 Nov 15;959:176085
TRPM8 promotes hepatocellular carcinoma progression by inducing SNORA55 mediated nuclear-mitochondrial communication.
Fu J, Liu G, Zhang X, Lei X, Liu Q, Qian K, Tong Q, Qin W, Li Z, Cao Z, Zhang J, Liu C, Wang Z, Liu Z, Liang XM, Yamamoto H, Xu X
Cancer gene therapy 2023 May;30(5):738-751
Cancer gene therapy 2023 May;30(5):738-751
LINC00493-encoded microprotein SMIM26 exerts anti-metastatic activity in renal cell carcinoma.
Meng K, Lu S, Li YY, Hu LL, Zhang J, Cao Y, Wang Y, Zhang CZ, He QY
EMBO reports 2023 Jun 5;24(6):e56282
EMBO reports 2023 Jun 5;24(6):e56282
High-fat diet causes mitochondrial damage and downregulation of mitofusin-2 and optic atrophy-1 in multiple organs.
Zheng P, Ma W, Gu Y, Wu H, Bian Z, Liu N, Yang D, Chen X
Journal of clinical biochemistry and nutrition 2023 Jul;73(1):61-76
Journal of clinical biochemistry and nutrition 2023 Jul;73(1):61-76
Disruption of ER ion homeostasis maintained by an ER anion channel CLCC1 contributes to ALS-like pathologies.
Guo L, Mao Q, He J, Liu X, Piao X, Luo L, Hao X, Yu H, Song Q, Xiao B, Fan D, Gao Z, Jia Y
Cell research 2023 Jul;33(7):497-515
Cell research 2023 Jul;33(7):497-515
Low-Dose Radiation Reduces Doxorubicin-Induced Myocardial Injury Through Mitochondrial Pathways.
Zhao D, Jiang X, Meng X, Liu D, Du Y, Zhao L, Jiang H
Dose-response : a publication of International Hormesis Society 2023 Jan-Mar;21(1):15593258231155789
Dose-response : a publication of International Hormesis Society 2023 Jan-Mar;21(1):15593258231155789
Ligand-free mitochondria-localized mutant AR-induced cytotoxicity in spinal bulbar muscular atrophy.
Feng X, Cheng XT, Zheng P, Li Y, Hakim J, Zhang SQ, Anderson SM, Linask K, Prestil R, Zou J, Sheng ZH, Blackstone C
Brain : a journal of neurology 2023 Jan 5;146(1):278-294
Brain : a journal of neurology 2023 Jan 5;146(1):278-294
Mitochondrial SENP2 regulates the assembly of SDH complex under metabolic stress.
Liu Y, Liu K, Thorne RF, Shi R, Zhang Q, Wu M, Liu L
Cell reports 2023 Feb 28;42(2):112041
Cell reports 2023 Feb 28;42(2):112041
Rab8a as a mitochondrial receptor for lipid droplets in skeletal muscle.
Ouyang Q, Chen Q, Ke S, Ding L, Yang X, Rong P, Feng W, Cao Y, Wang Q, Li M, Su S, Wei W, Liu M, Liu J, Zhang X, Li JZ, Wang HY, Chen S
Developmental cell 2023 Feb 27;58(4):289-305.e6
Developmental cell 2023 Feb 27;58(4):289-305.e6
SIRT3 promotes metabolic maturation of human iPSC-derived cardiomyocytes via OPA1-controlled mitochondrial dynamics.
Wang R, Xu H, Tan B, Yi Q, Sun Y, Xiang H, Chen T, Liu H, Xie Q, Wang L, Tian J, Zhu J
Free radical biology & medicine 2023 Feb 1;195:270-282
Free radical biology & medicine 2023 Feb 1;195:270-282
RAPIDASH: A tag-free enrichment of ribosome-associated proteins reveals compositional dynamics in embryonic tissues and stimulated macrophages.
Susanto TT, Hung V, Levine AG, Kerr CH, Yoo Y, Chen Y, Oses-Prieto JA, Fromm L, Fujii K, Wernig M, Burlingame AL, Ruggero D, Barna M
bioRxiv : the preprint server for biology 2023 Dec 7;
bioRxiv : the preprint server for biology 2023 Dec 7;
Mitochondrial Protein SLIRP Affects Biosynthesis of Cytochrome c Oxidase Subunits in HEK293T Cells.
Baleva MV, Piunova U, Chicherin I, Vasilev R, Levitskii S, Kamenski P
International journal of molecular sciences 2023 Dec 20;25(1)
International journal of molecular sciences 2023 Dec 20;25(1)
A Novel Pathway of Functional microRNA Uptake and Mitochondria Delivery.
Liu J, Li W, Li J, Song E, Liang H, Rong W, Jiang X, Xu N, Wang W, Qu S, Gu S, Zhang Y, Yu Zhang C, Zen K
Advanced science (Weinheim, Baden-Wurttemberg, Germany) 2023 Aug;10(24):e2300452
Advanced science (Weinheim, Baden-Wurttemberg, Germany) 2023 Aug;10(24):e2300452
Aristolochic acid I exposure triggers ovarian dysfunction by activating NLRP3 inflammasome and affecting mitochondrial homeostasis.
Sun MX, Qiao FX, Xu ZR, Liu YC, Xu CL, Wang HL, Qi ZQ, Liu Y
Free radical biology & medicine 2023 Aug 1;204:313-324
Free radical biology & medicine 2023 Aug 1;204:313-324
Altered trafficking of miRNAs at mitochondria modulates mitochondrial functions and cell death in brain ischemia.
Gohel D, Shukla S, Rajan WD, Wojtas B, Kaminska B, Singh R
Free radical biology & medicine 2023 Apr;199:26-33
Free radical biology & medicine 2023 Apr;199:26-33
Small molecule agonist of mitochondrial fusion repairs mitochondrial dysfunction.
Guo Y, Zhang H, Yan C, Shen B, Zhang Y, Guo X, Sun S, Yu F, Yan J, Liu R, Zhang Q, Zhang D, Liu H, Liu Y, Zhang Y, Li W, Qin J, Lv H, Wang Z, Yuan Y, Yang JF, Zhong YT, Gao S, Zhou B, Liu L, Kong D, Hao X, Hu J, Chen Q
Nature chemical biology 2023 Apr;19(4):468-477
Nature chemical biology 2023 Apr;19(4):468-477
Proteomic analysis of rat colonic mucosa following acupuncture treatment for irritable bowel syndrome with diarrhea.
Liu J, Peng R, Tan Q, Li B, Chen J, Liu G, Wang Y, Li C, Li J, Wang H
PloS one 2022;17(9):e0273853
PloS one 2022;17(9):e0273853
Activation of Dynamin-Related Protein 1 and Induction of Mitochondrial Apoptosis by Exosome-Rifampicin Nanoparticles Exerts Anti-Osteosarcoma Effect.
Chen W, Lin W, Yu N, Zhang L, Wu Z, Chen Y, Li Z, Gong F, Li N, Chen X, He X, Wu Y, Zeng X, Yueh Y, Xu R, Ji G
International journal of nanomedicine 2022;17:5431-5446
International journal of nanomedicine 2022;17:5431-5446
Sleeve Gastrectomy-Induced AMPK Activation Attenuates Diabetic Cardiomyopathy by Maintaining Mitochondrial Homeostasis via NR4A1 Suppression in Rats.
Li S, Dong S, Xu Q, Shi B, Li L, Zhang W, Zhu J, Cheng Y, Zhang G, Zhong M
Frontiers in physiology 2022;13:837798
Frontiers in physiology 2022;13:837798
Spermidine protects against acute kidney injury by modulating macrophage NLRP3 inflammasome activation and mitochondrial respiration in an eIF5A hypusination-related pathway.
Li X, Zhou X, Liu X, Li X, Jiang X, Shi B, Wang S
Molecular medicine (Cambridge, Mass.) 2022 Sep 4;28(1):103
Molecular medicine (Cambridge, Mass.) 2022 Sep 4;28(1):103
A Photoannealed Granular Hydrogel Facilitating Hyaline Cartilage Regeneration via Improving Chondrogenic Phenotype.
Zhu Y, Sun Y, Rui B, Lin J, Shen J, Xiao H, Liu X, Chai Y, Xu J, Yang Y
ACS applied materials & interfaces 2022 Sep 14;14(36):40674-40687
ACS applied materials & interfaces 2022 Sep 14;14(36):40674-40687
Nuclear Receptor NR1D1 Regulates Abdominal Aortic Aneurysm Development by Targeting the Mitochondrial Tricarboxylic Acid Cycle Enzyme Aconitase-2.
Sun LY, Lyu YY, Zhang HY, Shen Z, Lin GQ, Geng N, Wang YL, Huang L, Feng ZH, Guo X, Lin N, Ding S, Yuan AC, Zhang L, Qian K, Pu J
Circulation 2022 Nov 22;146(21):1591-1609
Circulation 2022 Nov 22;146(21):1591-1609
FNIP1 regulates adipocyte browning and systemic glucose homeostasis in mice by shaping intracellular calcium dynamics.
Yin Y, Xu D, Mao Y, Xiao L, Sun Z, Liu J, Zhou D, Xu Z, Liu L, Fu T, Ding C, Guo Q, Sun W, Zhou Z, Yang L, Jia Y, Chen X, Gan Z
The Journal of experimental medicine 2022 May 2;219(5)
The Journal of experimental medicine 2022 May 2;219(5)
Antitumor Activity of a Mitochondrial-Targeted HSP90 Inhibitor in Gliomas.
Wei S, Yin D, Yu S, Lin X, Savani MR, Du K, Ku Y, Wu D, Li S, Liu H, Tian M, Chen Y, Bowie M, Hariharan S, Waitkus M, Keir ST, Sugarman ET, Deek RA, Labrie M, Khasraw M, Lu Y, Mills GB, Herlyn M, Wu K, Liu L, Wei Z, Flaherty KT, Abdullah K, Zhang G, Ashley DM
Clinical cancer research : an official journal of the American Association for Cancer Research 2022 May 13;28(10):2180-2195
Clinical cancer research : an official journal of the American Association for Cancer Research 2022 May 13;28(10):2180-2195
Accumulation of polystyrene microplastics induces liver fibrosis by activating cGAS/STING pathway.
Shen R, Yang K, Cheng X, Guo C, Xing X, Sun H, Liu D, Liu X, Wang D
Environmental pollution (Barking, Essex : 1987) 2022 May 1;300:118986
Environmental pollution (Barking, Essex : 1987) 2022 May 1;300:118986
Metabolic targeting of cancer by a ubiquinone uncompetitive inhibitor of mitochondrial complex I.
Jain S, Hu C, Kluza J, Ke W, Tian G, Giurgiu M, Bleilevens A, Campos AR, Charbono A, Stickeler E, Maurer J, Holinski-Feder E, Vaisburg A, Bureik M, Luo G, Marchetti P, Cheng Y, Wolf DA
Cell chemical biology 2022 Mar 17;29(3):436-450.e15
Cell chemical biology 2022 Mar 17;29(3):436-450.e15
LONP1-mediated mitochondrial quality control safeguards metabolic shifts in heart development.
Zhao K, Huang X, Zhao W, Lu B, Yang Z
Development (Cambridge, England) 2022 Mar 15;149(6)
Development (Cambridge, England) 2022 Mar 15;149(6)
Exogenous Otx2 protects midbrain dopaminergic neurons from MPP(+) by interacting with ATP5a1 and promoting ATP synthesis.
Xue J, Li Y, Qi Y, Zhang Z, Tang X
Neurotoxicology 2022 Jul;91:211-217
Neurotoxicology 2022 Jul;91:211-217
Mitochondrial proteostasis stress in muscle drives a long-range protective response to alleviate dietary obesity independently of ATF4.
Guo Q, Xu Z, Zhou D, Fu T, Wang W, Sun W, Xiao L, Liu L, Ding C, Yin Y, Zhou Z, Sun Z, Zhu Y, Zhou W, Jia Y, Xue J, Chen Y, Chen XW, Piao HL, Lu B, Gan Z
Science advances 2022 Jul 29;8(30):eabo0340
Science advances 2022 Jul 29;8(30):eabo0340
Global mitochondrial protein import proteomics reveal distinct regulation by translation and translocation machinery.
Schäfer JA, Bozkurt S, Michaelis JB, Klann K, Münch C
Molecular cell 2022 Jan 20;82(2):435-446.e7
Molecular cell 2022 Jan 20;82(2):435-446.e7
Slc25a5 regulates adipogenesis by modulating ERK signaling in OP9 cells.
Zhu S, Wang W, Zhang J, Ji S, Jing Z, Chen YQ
Cellular & molecular biology letters 2022 Feb 2;27(1):11
Cellular & molecular biology letters 2022 Feb 2;27(1):11
Disuse-associated loss of the protease LONP1 in muscle impairs mitochondrial function and causes reduced skeletal muscle mass and strength.
Xu Z, Fu T, Guo Q, Zhou D, Sun W, Zhou Z, Chen X, Zhang J, Liu L, Xiao L, Yin Y, Jia Y, Pang E, Chen Y, Pan X, Fang L, Zhu MS, Fei W, Lu B, Gan Z
Nature communications 2022 Feb 16;13(1):894
Nature communications 2022 Feb 16;13(1):894
Elucidation of the Role of FAM210B in Mitochondrial Metabolism and Erythropoiesis.
Suzuki C, Fujiwara T, Shima H, Ono K, Saito K, Kato H, Onodera K, Ichikawa S, Fukuhara N, Onishi Y, Yokoyama H, Nakamura Y, Igarashi K, Harigae H
Molecular and cellular biology 2022 Dec 15;42(12):e0014322
Molecular and cellular biology 2022 Dec 15;42(12):e0014322
Mitochondrial remodeling and ischemic protection by G protein-coupled receptor 35 agonists.
Wyant GA, Yu W, Doulamis IP, Nomoto RS, Saeed MY, Duignan T, McCully JD, Kaelin WG Jr
Science (New York, N.Y.) 2022 Aug 5;377(6606):621-629
Science (New York, N.Y.) 2022 Aug 5;377(6606):621-629
Role of molybdenum in material immunomodulation and periodontal wound healing: Targeting immunometabolism and mitochondrial function for macrophage modulation.
He XT, Li X, Zhang M, Tian BM, Sun LJ, Bi CS, Deng DK, Zhou H, Qu HL, Wu C, Chen FM
Biomaterials 2022 Apr;283:121439
Biomaterials 2022 Apr;283:121439
Melatonin Regulates Differentiation of Sheep Brown Adipocyte Precursor Cells Via AMP-Activated Protein Kinase.
Gao XY, Deng BH, Li XR, Wang Y, Zhang JX, Hao XY, Zhao JX
Frontiers in veterinary science 2021;8:661773
Frontiers in veterinary science 2021;8:661773
Resistance of bone marrow mesenchymal stem cells in a stressed environment - Comparison with osteocyte cells.
Shimasaki M, Ueda S, Ichiseki T, Hirata H, Kawahara N, Ueda Y
International journal of medical sciences 2021;18(6):1375-1381
International journal of medical sciences 2021;18(6):1375-1381
ShenmaYizhi Decoction Improves the Mitochondrial Structure in the Brain and Ameliorates Cognitive Impairment in VCI Rats via the AMPK/UCP2 Signaling Pathway.
Sun C, Liu M, Liu J, Zhang T, Zhang L, Li H, Luo Z
Neuropsychiatric disease and treatment 2021;17:1937-1951
Neuropsychiatric disease and treatment 2021;17:1937-1951
Mitochondrial ROS promote mitochondrial dysfunction and inflammation in ischemic acute kidney injury by disrupting TFAM-mediated mtDNA maintenance.
Zhao M, Wang Y, Li L, Liu S, Wang C, Yuan Y, Yang G, Chen Y, Cheng J, Lu Y, Liu J
Theranostics 2021;11(4):1845-1863
Theranostics 2021;11(4):1845-1863
Biochanin A Inhibits Glioblastoma Growth via Restricting Glycolysis and Mitochondrial Oxidative Phosphorylation.
Dong Q, Li Q, Duan L, Yin H, Wang X, Liu Y, Wang B, Li K, Yao X, Yuan G, Pan Y
Frontiers in oncology 2021;11:652008
Frontiers in oncology 2021;11:652008
Punicalagin Protects Against Diabetic Cardiomyopathy by Promoting Opa1-Mediated Mitochondrial Fusion via Regulating PTP1B-Stat3 Pathway.
Fu F, Liu C, Shi R, Li M, Zhang M, Du Y, Wang Q, Li J, Wang G, Pei J, Ding M
Antioxidants & redox signaling 2021 Sep;35(8):618-641
Antioxidants & redox signaling 2021 Sep;35(8):618-641
Celecoxib reverses the glioblastoma chemo-resistance to temozolomide through mitochondrial metabolism.
Yin D, Jin G, He H, Zhou W, Fan Z, Gong C, Zhao J, Xiong H
Aging 2021 Sep 8;13(17):21268-21282
Aging 2021 Sep 8;13(17):21268-21282
Effects of photoperiod on morphology and function in testis and epididymis of Cricetulus barabensis.
Mou J, Xu J, Wang Z, Wang C, Yang X, Wang X, Xue H, Wu M, Xu L
Journal of cellular physiology 2021 Mar;236(3):2109-2125
Journal of cellular physiology 2021 Mar;236(3):2109-2125
AMPK-dependent and -independent coordination of mitochondrial function and muscle fiber type by FNIP1.
Xiao L, Liu J, Sun Z, Yin Y, Mao Y, Xu D, Liu L, Xu Z, Guo Q, Ding C, Sun W, Yang L, Zhou Z, Zhou D, Fu T, Zhou W, Zhu Y, Chen XW, Li JZ, Chen S, Xie X, Gan Z
PLoS genetics 2021 Mar;17(3):e1009488
PLoS genetics 2021 Mar;17(3):e1009488
Parkin-independent mitophagy via Drp1-mediated outer membrane severing and inner membrane ubiquitination.
Oshima Y, Cartier E, Boyman L, Verhoeven N, Polster BM, Huang W, Kane M, Lederer WJ, Karbowski M
The Journal of cell biology 2021 Jun 7;220(6)
The Journal of cell biology 2021 Jun 7;220(6)
OMA1 reprograms metabolism under hypoxia to promote colorectal cancer development.
Wu Z, Zuo M, Zeng L, Cui K, Liu B, Yan C, Chen L, Dong J, Shangguan F, Hu W, He H, Lu B, Song Z
EMBO reports 2021 Jan 7;22(1):e50827
EMBO reports 2021 Jan 7;22(1):e50827
P2X7 receptor signaling promotes inflammation in renal parenchymal cells suffering from ischemia-reperfusion injury.
Qian Y, Qian C, Xie K, Fan Q, Yan Y, Lu R, Wang L, Zhang M, Wang Q, Mou S, Dai H, Ni Z, Pang H, Gu L
Cell death & disease 2021 Jan 27;12(1):132
Cell death & disease 2021 Jan 27;12(1):132
Change on apoptosis, autophagy and mitochondria of the Harderian gland in Cricetulus barabensis during age.
Kong XT, Wang Z, Mou JJ, Li CS, Xue HL, Wu M, Chen L, Xu JH, Xu LX
Comparative biochemistry and physiology. Part B, Biochemistry & molecular biology 2021 Apr-May;253:110547
Comparative biochemistry and physiology. Part B, Biochemistry & molecular biology 2021 Apr-May;253:110547
RGS12 is required for the maintenance of mitochondrial function during skeletal development.
Yuan G, Yang S, Liu M, Yang S
Cell discovery 2020;6:59
Cell discovery 2020;6:59
Mitochondrial Transcription Factor A added to Osteocytes in a Stressed Environment has a Cytoprotective Effect.
Ueda S, Shimasaki M, Ichiseki T, Hirata H, Kawahara N, Ueda Y
International journal of medical sciences 2020;17(9):1293-1299
International journal of medical sciences 2020;17(9):1293-1299
Drp1-mediated mitochondrial fission contributes to baicalein-induced apoptosis and autophagy in lung cancer via activation of AMPK signaling pathway.
Deng X, Liu J, Liu L, Sun X, Huang J, Dong J
International journal of biological sciences 2020;16(8):1403-1416
International journal of biological sciences 2020;16(8):1403-1416
The effect of autophagy and mitochondrial fission on Harderian gland is greater than apoptosis in male hamsters during different photoperiods.
Xu JH, Wang Z, Mou JJ, Zhao XY, Geng XC, Wu M, Xue HL, Chen L, Xu LX
PloS one 2020;15(11):e0241561
PloS one 2020;15(11):e0241561
Photoperiod Affects Harderian Gland Morphology and Secretion in Female Cricetulus barabensis: Autophagy, Apoptosis, and Mitochondria.
Wang Z, Xu JH, Mou JJ, Kong XT, Wu M, Xue HL, Xu LX
Frontiers in physiology 2020;11:408
Frontiers in physiology 2020;11:408
Taurine Inhibits Glucocorticoid-Induced Bone Mitochondrial Injury, Preventing Osteonecrosis in Rabbits and Cultured Osteocytes.
Hirata H, Ueda S, Ichiseki T, Shimasaki M, Ueda Y, Kaneuji A, Kawahara N
International journal of molecular sciences 2020 Sep 20;21(18)
International journal of molecular sciences 2020 Sep 20;21(18)
JNK signalling regulates antioxidant responses in neurons.
Ugbode C, Garnham N, Fort-Aznar L, Evans GJO, Chawla S, Sweeney ST
Redox biology 2020 Oct;37:101712
Redox biology 2020 Oct;37:101712
A Regulation Loop between YAP and NR4A1 Balances Cell Proliferation and Apoptosis.
He L, Yuan L, Yu W, Sun Y, Jiang D, Wang X, Feng X, Wang Z, Xu J, Yang R, Zhang W, Feng H, Chen HZ, Zeng YA, Hui L, Wu Q, Zhang Y, Zhang L
Cell reports 2020 Oct 20;33(3):108284
Cell reports 2020 Oct 20;33(3):108284
Novel ultrastructural findings on cardiac mitochondria of huddling Brandt's voles in mild cold environment.
Wang Z, Xu JH, Mou JJ, Kong XT, Zou JW, Xue HL, Wu M, Xu LX
Comparative biochemistry and physiology. Part A, Molecular & integrative physiology 2020 Nov;249:110766
Comparative biochemistry and physiology. Part A, Molecular & integrative physiology 2020 Nov;249:110766
PHB2 (prohibitin 2) promotes PINK1-PRKN/Parkin-dependent mitophagy by the PARL-PGAM5-PINK1 axis.
Yan C, Gong L, Chen L, Xu M, Abou-Hamdan H, Tang M, Désaubry L, Song Z
Autophagy 2020 Mar;16(3):419-434
Autophagy 2020 Mar;16(3):419-434
Romo1 is involved in the immune response of glioblastoma by regulating the function of macrophages.
Sun G, Cao Y, Qian C, Wan Z, Zhu J, Guo J, Shi L
Aging 2020 Jan 16;12(2):1114-1127
Aging 2020 Jan 16;12(2):1114-1127
BRD4 inhibition by JQ1 prevents high-fat diet-induced diabetic cardiomyopathy by activating PINK1/Parkin-mediated mitophagy in vivo.
Mu J, Zhang D, Tian Y, Xie Z, Zou MH
Journal of molecular and cellular cardiology 2020 Dec;149:1-14
Journal of molecular and cellular cardiology 2020 Dec;149:1-14
A cross-talk between epithelium and endothelium mediates human alveolar-capillary injury during SARS-CoV-2 infection.
Wang P, Luo R, Zhang M, Wang Y, Song T, Tao T, Li Z, Jin L, Zheng H, Chen W, Zhao M, Zheng Y, Qin J
Cell death & disease 2020 Dec 8;11(12):1042
Cell death & disease 2020 Dec 8;11(12):1042
The Paf1 complex transcriptionally regulates the mitochondrial-anchored protein Atg32 leading to activation of mitophagy.
Zheng L, Shu WJ, Li YM, Mari M, Yan C, Wang D, Yin ZH, Jiang W, Zhou Y, Okamoto K, Reggiori F, Klionsky DJ, Song Z, Du HN
Autophagy 2020 Aug;16(8):1366-1379
Autophagy 2020 Aug;16(8):1366-1379
Artemisinin suppresses hepatocellular carcinoma cell growth, migration and invasion by targeting cellular bioenergetics and Hippo-YAP signaling.
Li Y, Lu J, Chen Q, Han S, Shao H, Chen P, Jin Q, Yang M, Shangguan F, Fei M, Wang L, Liu Y, Liu N, Lu B
Archives of toxicology 2019 Nov;93(11):3367-3383
Archives of toxicology 2019 Nov;93(11):3367-3383
Insufficient fumarase contributes to hypertension by an imbalance of redox metabolism in Dahl salt-sensitive rats.
Zheng X, Chen M, Li X, Yang P, Zhao X, Ouyang Y, Yang Z, Liang M, Hou E, Tian Z
Hypertension research : official journal of the Japanese Society of Hypertension 2019 Nov;42(11):1672-1682
Hypertension research : official journal of the Japanese Society of Hypertension 2019 Nov;42(11):1672-1682
Benzoylaconine induces mitochondrial biogenesis in mice via activating AMPK signaling cascade.
Deng XH, Liu JJ, Sun XJ, Dong JC, Huang JH
Acta pharmacologica Sinica 2019 May;40(5):658-665
Acta pharmacologica Sinica 2019 May;40(5):658-665
TIGAR regulates mitochondrial functions through SIRT1-PGC1α pathway and translocation of TIGAR into mitochondria in skeletal muscle.
Geng J, Wei M, Yuan X, Liu Z, Wang X, Zhang D, Luo L, Wu J, Guo W, Qin ZH
FASEB journal : official publication of the Federation of American Societies for Experimental Biology 2019 May;33(5):6082-6098
FASEB journal : official publication of the Federation of American Societies for Experimental Biology 2019 May;33(5):6082-6098
TDP-43 induces mitochondrial damage and activates the mitochondrial unfolded protein response.
Wang P, Deng J, Dong J, Liu J, Bigio EH, Mesulam M, Wang T, Sun L, Wang L, Lee AY, McGee WA, Chen X, Fushimi K, Zhu L, Wu JY
PLoS genetics 2019 May;15(5):e1007947
PLoS genetics 2019 May;15(5):e1007947
The 3'UTR of human MAVS mRNA contains multiple regulatory elements for the control of protein expression and subcellular localization.
Xu L, Peng L, Gu T, Yu D, Yao YG
Biochimica et biophysica acta. Gene regulatory mechanisms 2019 Jan;1862(1):47-57
Biochimica et biophysica acta. Gene regulatory mechanisms 2019 Jan;1862(1):47-57
Promotion of Mitochondrial Biogenesis via Activation of AMPK-PGC1ɑ Signaling Pathway by Ginger (Zingiber officinale Roscoe) Extract, and Its Major Active Component 6-Gingerol.
Deng X, Zhang S, Wu J, Sun X, Shen Z, Dong J, Huang J
Journal of food science 2019 Aug;84(8):2101-2111
Journal of food science 2019 Aug;84(8):2101-2111
Avenanthramide A triggers potent ROS-mediated anti-tumor effects in colorectal cancer by directly targeting DDX3.
Fu R, Yang P, Li Z, Liu W, Amin S, Li Z
Cell death & disease 2019 Aug 7;10(8):593
Cell death & disease 2019 Aug 7;10(8):593
Energy Metabolism in the Bone is Associated with Histomorphometric Changes in Rats with Hyperthyroidism.
Hu Z, Du M, Lai W, Liang Y, Liu Q, Mo Y, Bei J, Li S, Yang Y, Xu J, Cui L
Cellular physiology and biochemistry : international journal of experimental cellular physiology, biochemistry, and pharmacology 2018;46(4):1471-1482
Cellular physiology and biochemistry : international journal of experimental cellular physiology, biochemistry, and pharmacology 2018;46(4):1471-1482
AKT-mediated phosphorylation of ATG4B impairs mitochondrial activity and enhances the Warburg effect in hepatocellular carcinoma cells.
Ni Z, He J, Wu Y, Hu C, Dai X, Yan X, Li B, Li X, Xiong H, Li Y, Li S, Xu L, Li Y, Lian J, He F
Autophagy 2018;14(4):685-701
Autophagy 2018;14(4):685-701
Mitophagy Directs Muscle-Adipose Crosstalk to Alleviate Dietary Obesity.
Fu T, Xu Z, Liu L, Guo Q, Wu H, Liang X, Zhou D, Xiao L, Liu L, Liu Y, Zhu MS, Chen Q, Gan Z
Cell reports 2018 May 1;23(5):1357-1372
Cell reports 2018 May 1;23(5):1357-1372
Leber's hereditary optic neuropathy (LHON)-associated ND5 12338T > C mutation altered the assembly and function of complex I, apoptosis and mitophagy.
Zhang J, Ji Y, Lu Y, Fu R, Xu M, Liu X, Guan MX
Human molecular genetics 2018 Jun 1;27(11):1999-2011
Human molecular genetics 2018 Jun 1;27(11):1999-2011
Serine protease PRSS55 is crucial for male mouse fertility via affecting sperm migration and sperm-egg binding.
Shang X, Shen C, Liu J, Tang L, Zhang H, Wang Y, Wu W, Chi J, Zhuang H, Fei J, Wang Z
Cellular and molecular life sciences : CMLS 2018 Dec;75(23):4371-4384
Cellular and molecular life sciences : CMLS 2018 Dec;75(23):4371-4384
YiQiFuMai Powder Injection Protects against Ischemic Stroke via Inhibiting Neuronal Apoptosis and PKCδ/Drp1-Mediated Excessive Mitochondrial Fission.
Xu Y, Wang Y, Wang G, Ye X, Zhang J, Cao G, Zhao Y, Gao Z, Zhang Y, Yu B, Kou J
Oxidative medicine and cellular longevity 2017;2017:1832093
Oxidative medicine and cellular longevity 2017;2017:1832093
Protein profiling and functional analysis of liver mitochondria from rats with nonalcoholic steatohepatitis.
You Y, Zhang Y, Lu Y, Hu K, Qu X, Liu Y, Lu B, Jin L
Molecular medicine reports 2017 Sep;16(3):2379-2388
Molecular medicine reports 2017 Sep;16(3):2379-2388
Targeted Metabolomics Reveals Abnormal Hepatic Energy Metabolism by Depletion of β-Carotene Oxygenase 2 in Mice.
Wu L, Guo X, Lyu Y, Clarke SL, Lucas EA, Smith BJ, Hildebrand D, Wang W, Medeiros DM, Shen X, Lin D
Scientific reports 2017 Nov 7;7(1):14624
Scientific reports 2017 Nov 7;7(1):14624
Lack of β, β-carotene-9', 10'-oxygenase 2 leads to hepatic mitochondrial dysfunction and cellular oxidative stress in mice.
Wu L, Guo X, Hartson SD, Davis MA, He H, Medeiros DM, Wang W, Clarke SL, Lucas EA, Smith BJ, von Lintig J, Lin D
Molecular nutrition & food research 2017 May;61(5)
Molecular nutrition & food research 2017 May;61(5)
DJ-1 modulates mitochondrial response to oxidative stress: clues from a novel diagnosis of PARK7.
Di Nottia M, Masciullo M, Verrigni D, Petrillo S, Modoni A, Rizzo V, Di Giuda D, Rizza T, Niceta M, Torraco A, Bianchi M, Santoro M, Bentivoglio AR, Bertini E, Piemonte F, Carrozzo R, Silvestri G
Clinical genetics 2017 Jul;92(1):18-25
Clinical genetics 2017 Jul;92(1):18-25
Exercise Inducible Lactate Dehydrogenase B Regulates Mitochondrial Function in Skeletal Muscle.
Liang X, Liu L, Fu T, Zhou Q, Zhou D, Xiao L, Liu J, Kong Y, Xie H, Yi F, Lai L, Vega RB, Kelly DP, Smith SR, Gan Z
The Journal of biological chemistry 2016 Dec 2;291(49):25306-25318
The Journal of biological chemistry 2016 Dec 2;291(49):25306-25318
Inhibition of Neuroblastoma Tumor Growth by Ketogenic Diet and/or Calorie Restriction in a CD1-Nu Mouse Model.
Morscher RJ, Aminzadeh-Gohari S, Feichtinger RG, Mayr JA, Lang R, Neureiter D, Sperl W, Kofler B
PloS one 2015;10(6):e0129802
PloS one 2015;10(6):e0129802
Interaction of cellular proteins with BCL-xL targeted to cytoplasmic inclusion bodies in adenovirus infected cells.
Subramanian T, Vijayalingam S, Kuppuswamy M, Chinnadurai G
Virology 2015 Sep;483:21-31
Virology 2015 Sep;483:21-31
Mitofilin and CHCHD6 physically interact with Sam50 to sustain cristae structure.
Ding C, Wu Z, Huang L, Wang Y, Xue J, Chen S, Deng Z, Wang L, Song Z, Chen S
Scientific reports 2015 Nov 4;5:16064
Scientific reports 2015 Nov 4;5:16064
Lipolytic inhibitor G0/G1 switch gene 2 inhibits reactive oxygen species production and apoptosis in endothelial cells.
Wang Y, Zhang Y, Zhu Y, Zhang P
American journal of physiology. Cell physiology 2015 Mar 15;308(6):C496-504
American journal of physiology. Cell physiology 2015 Mar 15;308(6):C496-504
Evaluation of intramitochondrial ATP levels identifies G0/G1 switch gene 2 as a positive regulator of oxidative phosphorylation.
Kioka H, Kato H, Fujikawa M, Tsukamoto O, Suzuki T, Imamura H, Nakano A, Higo S, Yamazaki S, Matsuzaki T, Takafuji K, Asanuma H, Asakura M, Minamino T, Shintani Y, Yoshida M, Noji H, Kitakaze M, Komuro I, Asano Y, Takashima S
Proceedings of the National Academy of Sciences of the United States of America 2014 Jan 7;111(1):273-8
Proceedings of the National Academy of Sciences of the United States of America 2014 Jan 7;111(1):273-8
Prss37 is required for male fertility in the mouse.
Shen C, Kuang Y, Liu J, Feng J, Chen X, Wu W, Chi J, Tang L, Wang Y, Fei J, Wang Z
Biology of reproduction 2013 May;88(5):123
Biology of reproduction 2013 May;88(5):123
The liver connexin32 interactome is a novel plasma membrane-mitochondrial signaling nexus.
Fowler SL, Akins M, Zhou H, Figeys D, Bennett SA
Journal of proteome research 2013 Jun 7;12(6):2597-610
Journal of proteome research 2013 Jun 7;12(6):2597-610
Protein sets define disease states and predict in vivo effects of drug treatment.
Meierhofer D, Weidner C, Hartmann L, Mayr JA, Han CT, Schroeder FC, Sauer S
Molecular & cellular proteomics : MCP 2013 Jul;12(7):1965-79
Molecular & cellular proteomics : MCP 2013 Jul;12(7):1965-79
HtrA2 deficiency causes mitochondrial uncoupling through the F₁F₀-ATP synthase and consequent ATP depletion.
Plun-Favreau H, Burchell VS, Holmström KM, Yao Z, Deas E, Cain K, Fedele V, Moisoi N, Campanella M, Miguel Martins L, Wood NW, Gourine AV, Abramov AY
Cell death & disease 2012 Jun 28;3(6):e335
Cell death & disease 2012 Jun 28;3(6):e335
Relevance of the inner mitochondrial membrane enzyme F1F0-ATPase as an autoantigen in autoimmune liver disorders.
Preuss B, Berg C, Dengjel J, Stevanovic S, Klein R
Liver international : official journal of the International Association for the Study of the Liver 2012 Feb;32(2):249-57
Liver international : official journal of the International Association for the Study of the Liver 2012 Feb;32(2):249-57
Protein composition of immunoprecipitated synaptic ribbons.
Kantardzhieva A, Peppi M, Lane WS, Sewell WF
Journal of proteome research 2012 Feb 3;11(2):1163-74
Journal of proteome research 2012 Feb 3;11(2):1163-74
No comments: Submit comment
Supportive validation
- Submitted by
- Proteintech Group (provider)
- Main image

- Experimental details
- The ATP5A1 antibody from Proteintech is a rabbit polyclonal antibody to a recombinant protein of human ATP5A1. This antibody recognizes human,mouse,rat antigen. The ATP5A1 antibody has been validated for the following applications: ELISA, IHC, WB, IF analysis.
Supportive validation
- Submitted by
- Proteintech Group (provider)
- Main image

- Experimental details
- Immunofluorescent analysis of HepG2 cells, using ATP5A1 antibody 14676-1-AP at 1:25 dilution and Rhodamine-labeled goat anti-rabbit IgG (red).
- Sample type
- cell line
Supportive validation
- Submitted by
- Proteintech Group (provider)
- Main image

- Experimental details
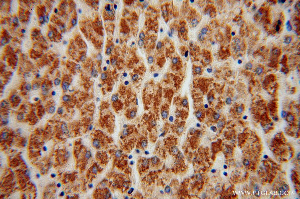
- Immunohistochemical of paraffin-embedded human liver using 14676-1-AP(ATP5A1 antibody) at dilution of 1:100 (under 10x lens)
- Sample type
- tissue
- Submitted by
- Proteintech Group (provider)
- Main image

- Experimental details
- Immunohistochemical of paraffin-embedded human liver using 14676-1-AP(ATP5A1 antibody) at dilution of 1:100 (under 40x lens)
- Sample type
- tissue