RQ7217
antibody from NSJ Bioreagents
Targeting: ATP5F1A
ATP5A, ATP5A1, ATP5AL2, ATPM, hATP1, OMR, ORM
Antibody data
- Antibody Data
- Antigen structure
- References [0]
- Comments [0]
- Validations
- Western blot [2]
- Immunocytochemistry [3]
- Immunohistochemistry [4]
- Flow cytometry [1]
Submit
Validation data
Reference
Comment
Report error
- Product number
- RQ7217 - Provider product page

- Provider
- NSJ Bioreagents
- Product name
- ATP5A1 Antibody / ATP5F1A / ATP synthase subunit alpha
- Antibody type
- Polyclonal
- Description
- This highly specific ATP5A1 antibody is suitable for use in Western blot/Immunohistochemistry/Immunofluorescence/Flow cytometry/Direct ELISA applications with human, mouse and rat samples.
- Reactivity
- Human, Mouse, Rat
- Host
- Rabbit
- Conjugate
- Unconjugated
- Vial size
- 100 ug
- Concentration
- 0.5mg/ml if reconstituted with 0.2ml sterile DI water
- Storage
- After reconstitution, the ATP5A1 antibody can be stored for up to one month at 4oC. For long-term, aliquot and store at -20oC. Avoid repeated freezing and thawing.
No comments: Submit comment
Supportive validation
- Submitted by
- NSJ Bioreagents (provider)
- Main image

- Experimental details
- Western blot testing of 1) rat heart, 2) rat brain, 3) rat lung, 4) rat H9C2(2-1), 5) mouse heart, 6) mouse brain, 7) mouse lung and 8) mouse NIH 3T3 cell lysate with ATP5A1 antibody. Predicted molecular weight ~54-60 kDa (multiple isoforms).
- Submitted by
- NSJ Bioreagents (provider)
- Main image

- Experimental details
- Western blot testing of human 1) SK-OV-3, 2) MCF7, 3) HL60, 4) RT4, 5) Daudi, 6) ThP-1 and 7) HepG2 cell lysate with ATP5A1 antibody. Predicted molecular weight ~54-60 kDa (multiple isoforms).
Supportive validation
- Submitted by
- NSJ Bioreagents (provider)
- Main image

- Experimental details
- Immunofluorescent staining of FFPE human placental tissue with ATP5A1 antibody (red) and DAPI nuclear stain (blue). HIER: steam section in pH8 EDTA for 20 min.
- Submitted by
- NSJ Bioreagents (provider)
- Main image

- Experimental details
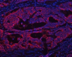
- Immunofluorescent staining of FFPE human colon cancer tissue with ATP5A1 antibody (red) and DAPI nuclear stain (blue). HIER: steam section in pH8 EDTA for 20 min.
- Submitted by
- NSJ Bioreagents (provider)
- Main image

- Experimental details
- Immunofluorescent staining of FFPE human HepG2 cells with ATP5A1 antibody (green) and DAPI nuclear stain (blue). HIER: steam section in pH6 citrate buffer for 20 min.
Supportive validation
- Submitted by
- NSJ Bioreagents (provider)
- Main image

- Experimental details
- IHC staining of FFPE human endometrial adenocarcinoma tissue with ATP5A1 antibody. HIER: boil tissue sections in pH8 EDTA for 20 min and allow to cool before testing.
- Submitted by
- NSJ Bioreagents (provider)
- Main image

- Experimental details
- IHC staining of FFPE human placental tissue with ATP5A1 antibody. HIER: boil tissue sections in pH8 EDTA for 20 min and allow to cool before testing.
- Submitted by
- NSJ Bioreagents (provider)
- Main image

- Experimental details
- IHC staining of FFPE human rectal cancer tissue with ATP5A1 antibody. HIER: boil tissue sections in pH8 EDTA for 20 min and allow to cool before testing.
- Submitted by
- NSJ Bioreagents (provider)
- Main image

- Experimental details
- IHC staining of FFPE human thyroid cancer tissue with ATP5A1 antibody. HIER: boil tissue sections in pH8 EDTA for 20 min and allow to cool before testing.
Supportive validation
- Submitted by
- NSJ Bioreagents (provider)
- Main image

- Experimental details
- Flow cytometry testing of human U937 cells with ATP5A1 antibody at 1ug/million cells (blocked with goat sera); Red=cells alone, Green=isotype control, Blue= ATP5A1 antibody.