Antibody data
- Antibody Data
- Antigen structure
- References [0]
- Comments [0]
- Validations
- Immunohistochemistry [1]
Submit
Validation data
Reference
Comment
Report error
- Product number
- 22982 - Provider product page

- Provider
- Signalway Antibody LLC
- Proper citation
- Signalway Cat#22982, RRID:AB_11122154
- Product name
- CD74 antibody
- Antibody type
- Polyclonal
- Antigen
- Synthetic peptide contain a sequence corresponding to a region within amino acids 1 and 28 of CD74
- Host
- Rabbit
- Conjugate
- Unconjugated
- Vial size
- 100µl
No comments: Submit comment
Supportive validation
- Submitted by
- Signalway Antibody LLC (provider)
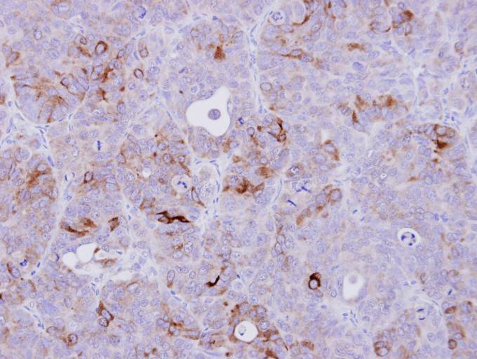
- Main image

- Experimental details
- Immunohistochemical analysis of paraffin-embedded SW480 xenograft, using CD74 antibody at 1: 500 dilution.