Antibody data
- Antibody Data
- Antigen structure
- References [0]
- Comments [0]
- Validations
- Western blot [1]
- Immunohistochemistry [1]
Submit
Validation data
Reference
Comment
Report error
- Product number
- AP22601PU-N - Provider product page

- Provider
- Acris Antibodies GmbH
- Proper citation
- Acris Antibodies GmbH Cat#AP22601PU-N, RRID:AB_10862422
- Product name
- anti Glutamate receptor 5 / GLUR5
- Antibody type
- Polyclonal
- Antigen
- GRIK1 antibody was raised against 16 amino acid peptide near the center of the human Grik1
- Reactivity
- Human, Mouse, Rat
- Host
- Rabbit
- Vial size
- 50 µg
No comments: Submit comment
Supportive validation
- Submitted by
- Acris Antibodies GmbH (provider)
- Main image

- Experimental details
- Western blot analysis of Grik1 in rat brain tissue lysate with Grik1 antibody (AP22601PU-N) at (A) 0.5 and (B) 1 µg/ml.
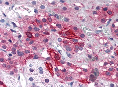
Supportive validation
- Submitted by
- Acris Antibodies GmbH (provider)
- Main image

- Experimental details
- Human Adrenal (formalin-fixed, paraffin-embedded) stained with GRIK1 antibody AP22601PU-N at 5 µg/ml followed by biotinylated goat anti-rabbit IgG secondary antibody, alkaline phosphatase-streptavidin and chromogen.