Antibody data
- Antibody Data
- Antigen structure
- References [0]
- Comments [0]
- Validations
- Western blot [1]
- Immunocytochemistry [1]
- Immunohistochemistry [1]
Submit
Validation data
Reference
Comment
Report error
- Product number
- H00006683-M02 - Provider product page

- Provider
- Novus Biologicals
- Proper citation
- Novus Cat#H00006683-M02, RRID:AB_2270974
- Product name
- Mouse Monoclonal Spastin Antibody
- Antibody type
- Monoclonal
- Description
- IgG purified. SPAST - spastin (2F5)
- Reactivity
- Human
- Host
- Mouse
- Isotype
- IgG
- Vial size
- 0.1 mg
- Storage
- Aliquot and store at -20C or -80C. Avoid freeze-thaw cycles.
No comments: Submit comment
Supportive validation
- Submitted by
- Novus Biologicals (provider)
- Main image

- Experimental details
- Western Blot: Spastin Antibody (2F5) [H00006683-M02] - SPAST monoclonal antibody (M02), clone 2F5. Analysis of SPAST expression in Jurkat.
Supportive validation
- Submitted by
- Novus Biologicals (provider)
- Main image

- Experimental details
- Immunocytochemistry/Immunofluorescence: Spastin Antibody (2F5) [H00006683-M02] - Analysis of monoclonal antibody to SPAST on HeLa cell . Antibody concentration 10 ug/ml.
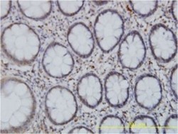
Supportive validation
- Submitted by
- Novus Biologicals (provider)
- Main image

- Experimental details
- Immunohistochemistry-Paraffin: Spastin Antibody (2F5) [H00006683-M02] - Analysis of monoclonal antibody to SPAST on formalin-fixed paraffin-embedded human colon. Antibody concentration 1 ~ 10 ug/ml.