Antibody data
- Antibody Data
- Antigen structure
- References [0]
- Comments [0]
- Validations
- Western blot [2]
- Immunohistochemistry [7]
- Flow cytometry [1]
Submit
Validation data
Reference
Comment
Report error
- Product number
- NBP2-03254 - Provider product page 
- Provider
- Novus Biologicals
- Product name
- Mouse Monoclonal Ribonuclease Inhibitor Antibody
- Antibody type
- Monoclonal
- Description
- Affinity purified.
- Reactivity
- Human
- Host
- Mouse
- Isotype
- IgG
- Vial size
- 0.1 ml
- Concentration
- 0.66 mg/ml
- Storage
- Store at -20C. Avoid freeze-thaw cycles.
				No comments: Submit comment	
	
			
							
					Supportive validation
					
									
				
				- Submitted by
- Novus Biologicals (provider)
- Main image
 
- Experimental details
- Western Blot: Ribonuclease Inhibitor Antibody (1B7) [NBP2-03254] - HEK293T cells were transfected with the pCMV6-ENTRY control (Left lane) or pCMV6-ENTRY Ribonuclease Inhibitor (Right lane) cDNA for 48 hrs and lysed. Equivalent amounts of cell lysates (5 ug per lane) were separated by SDS-PAGE and immunoblotted with anti-Ribonuclease Inhibitor.
- Submitted by
- Novus Biologicals (provider)
- Main image
 
- Experimental details
- Western Blot: Ribonuclease Inhibitor Antibody (1B7) [NBP2-03254] Analysis of extracts (35ug) from 9 different cell lines by using anti-Ribonuclease Inhibitor monoclonal antibody.
							
					Supportive validation
					
									
				
				- Submitted by
- Novus Biologicals (provider)
- Main image
 
- Experimental details
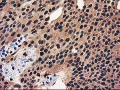
- Immunohistochemistry-Paraffin: Ribonuclease Inhibitor Antibody (1B7) [NBP2-03254] - Staining of paraffin-embedded Adenocarcinoma of Human breast tissue using anti-Ribonuclease Inhibitor mouse monoclonal antibody.
- Submitted by
- Novus Biologicals (provider)
- Main image
 
- Experimental details
- Immunohistochemistry-Paraffin: Ribonuclease Inhibitor Antibody (1B7) [NBP2-03254] - Staining of paraffin-embedded Adenocarcinoma of Human endometrium tissue using anti-Ribonuclease Inhibitor mouse monoclonal antibody.
- Submitted by
- Novus Biologicals (provider)
- Main image
 
- Experimental details
- Immunohistochemistry-Paraffin: Ribonuclease Inhibitor Antibody (1B7) [NBP2-03254] - Staining of paraffin-embedded Carcinoma of Human bladder tissue using anti-Ribonuclease Inhibitor mouse monoclonal antibody.
- Submitted by
- Novus Biologicals (provider)
- Main image
 
- Experimental details
- Immunohistochemistry-Paraffin: Ribonuclease Inhibitor Antibody (1B7) [NBP2-03254] - Staining of paraffin-embedded Carcinoma of Human prostate tissue using anti-Ribonuclease Inhibitor mouse monoclonal antibody.
- Submitted by
- Novus Biologicals (provider)
- Main image
 
- Experimental details
- Immunohistochemistry-Paraffin: Ribonuclease Inhibitor Antibody (1B7) [NBP2-03254] - Staining of paraffin-embedded Human lymph node tissue using anti-Ribonuclease Inhibitor mouse monoclonal antibody.
- Submitted by
- Novus Biologicals (provider)
- Main image
 
- Experimental details
- Immunohistochemistry-Paraffin: Ribonuclease Inhibitor Antibody (1B7) [NBP2-03254] - Staining of paraffin-embedded Human pancreas tissue using anti-Ribonuclease Inhibitor mouse monoclonal antibody.
- Submitted by
- Novus Biologicals (provider)
- Main image
 
- Experimental details
- Immunohistochemistry-Paraffin: Ribonuclease Inhibitor Antibody (1B7) [NBP2-03254] - Staining of paraffin-embedded Human prostate tissue using anti-Ribonuclease Inhibitor mouse monoclonal antibody.
							
					Supportive validation
					
									
				
		- Submitted by
- Novus Biologicals (provider)
- Main image
 
- Experimental details
- Flow Cytometry: Ribonuclease Inhibitor Antibody (1B7) [NBP2-03254] - HEK293T cells transfected with either overexpression plasmid (Red) or empty vector control plasmid (Blue) were immunostained by anti-Ribonuclease Inhibitor antibody, and then analyzed by flow cytometry.