Antibody data
- Antibody Data
- Antigen structure
- References [0]
- Comments [0]
- Validations
- Western blot [2]
- Immunohistochemistry [6]
Submit
Validation data
Reference
Comment
Report error
- Product number
- NBP2-01325 - Provider product page

- Provider
- Novus Biologicals
- Product name
- Mouse Monoclonal Calponin 2 Antibody
- Antibody type
- Monoclonal
- Description
- Affinity purified.
- Reactivity
- Human, Simian
- Host
- Mouse
- Isotype
- IgG
- Vial size
- 0.1 ml
- Concentration
- 1 mg/ml
- Storage
- Store at -20C. Avoid freeze-thaw cycles.
No comments: Submit comment
Supportive validation
- Submitted by
- Novus Biologicals (provider)
- Main image

- Experimental details
- Western Blot: Calponin 2 Antibody (2B5) [NBP2-01325] - HEK293T cells were transfected with the pCMV6-ENTRY control (Left lane) or pCMV6-ENTRY Calponin 2 (Right lane) cDNA for 48 hrs and lysed. Equivalent amounts of cell lysates (5 ug per lane) were separated by SDS-PAGE and immunoblotted with anti-Calponin 2.
- Submitted by
- Novus Biologicals (provider)
- Main image

- Experimental details
- Western Blot: Calponin 2 Antibody (2B5) [NBP2-01325] Analysis of extracts (35ug) from 9 different cell lines by using anti-Calponin 2 monoclonal antibody.
Supportive validation
- Submitted by
- Novus Biologicals (provider)
- Main image

- Experimental details
- Immunohistochemistry-Paraffin: Calponin 2 Antibody (2B5) [NBP2-01325] - Staining of paraffin-embedded Adenocarcinoma of Human breast tissue using anti-Calponin 2 mouse monoclonal antibody.
- Submitted by
- Novus Biologicals (provider)
- Main image

- Experimental details
- Immunohistochemistry-Paraffin: Calponin 2 Antibody (2B5) [NBP2-01325] - Staining of paraffin-embedded Carcinoma of Human bladder tissue using anti-Calponin 2 mouse monoclonal antibody.
- Submitted by
- Novus Biologicals (provider)
- Main image

- Experimental details
- Immunohistochemistry-Paraffin: Calponin 2 Antibody (2B5) [NBP2-01325] - Staining of paraffin-embedded Carcinoma of Human lung tissue using anti-Calponin 2 mouse monoclonal antibody.
- Submitted by
- Novus Biologicals (provider)
- Main image

- Experimental details
- Immunohistochemistry-Paraffin: Calponin 2 Antibody (2B5) [NBP2-01325] - Staining of paraffin-embedded Carcinoma of Human pancreas tissue using anti-Calponin 2 mouse monoclonal antibody.
- Submitted by
- Novus Biologicals (provider)
- Main image

- Experimental details
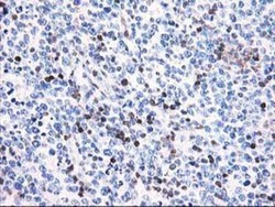
- Immunohistochemistry-Paraffin: Calponin 2 Antibody (2B5) [NBP2-01325] - Staining of paraffin-embedded Human lymphoma tissue using anti-Calponin 2 mouse monoclonal antibody.
- Submitted by
- Novus Biologicals (provider)
- Main image

- Experimental details
- Immunohistochemistry-Paraffin: Calponin 2 Antibody (2B5) [NBP2-01325] - Staining of paraffin-embedded Human tonsil using anti-Calponin 2 mouse monoclonal antibody.