Antibody data
- Antibody Data
 - Antigen structure
 - References [0]
 - Comments [0]
 - Validations
 - Western blot [2]
 - Immunohistochemistry [1]
 - Flow cytometry [1]
 
Submit
Validation data
Reference
Comment
Report error
- Product number
 - TA502847 - Provider product page

 - Provider
 - OriGene
 - Proper citation
 - OriGene Cat#TA502847, RRID:AB_11126187
 - Product name
 - HDHD2 mouse monoclonal antibody, clone OTI1A5 (formerly 1A5)
 - Antibody type
 - Monoclonal
 - Description
 - HDHD2 mouse monoclonal antibody, clone OTI1A5 (formerly 1A5)
 - Host
 - Mouse
 - Conjugate
 - Unconjugated
 - Epitope
 - HDHD2
 - Isotype
 - IgG
 - Antibody clone number
 - OTI1A5
 - Vial size
 - 100 µl
 - Concentration
 - 0.52 mg/ml
 
				No comments: Submit comment	
	
			
							
					Supportive validation
					
									
				
				- Submitted by
 - OriGene (provider)
 - Main image
 
- Experimental details
 - HEK293T cells were transfected with the pCMV6-ENTRY control (Left lane) or pCMV6-ENTRY HDHD2 (RC205967, Right lane) cDNA for 48 hrs and lysed. Equivalent amounts of cell lysates (5 ug per lane) were separated by SDS-PAGE and immunoblotted with anti-HDHD2.
 - Validation comment
 - WB
 
- Submitted by
 - OriGene (provider)
 - Main image
 
- Experimental details
 - Western blot analysis of extracts (10ug) from 8 different cell lines by using anti-HDHD2 monoclonal antibody.(1:200)
 - Validation comment
 - WB
 
							
					Supportive validation
					
									
				
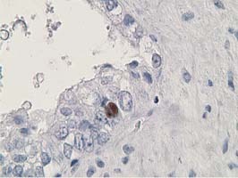
				- Submitted by
 - OriGene (provider)
 - Main image
 
- Experimental details
 - Immunohistochemical staining of paraffin-embedded Adenocarcinoma of Human ovary tissue using anti-HDHD2 mouse monoclonal antibody. (Heat-induced epitope retrieval by 10mM citric buffer, pH6.0, 100C for 10min, TA502847)
 - Validation comment
 - IHC
 
							
					Supportive validation
					
									
				
		- Submitted by
 - OriGene (provider)
 - Main image
 
- Experimental details
 - HEK293T cells transfected with either RC205967 overexpress plasmid(Red) or empty vector control plasmid(Blue) were immunostained by anti-HDHD2 antibody(TA502847), and then analyzed by flow cytometry.
 - Validation comment
 - FC