Antibody data
- Antibody Data
- Antigen structure
- References [0]
- Comments [0]
- Validations
- Western blot [1]
- Immunohistochemistry [2]
Submit
Validation data
Reference
Comment
Report error
- Product number
- 25668-1-AP - Provider product page

- Provider
- Proteintech Group
- Product name
- FAM105A antibody
- Antibody type
- Polyclonal
- Description
- FAM105A antibody (Cat. #25668-1-AP) is a rabbit polyclonal antibody that shows reactivity with human and has been validated for the following applications: IHC, WB,ELISA.
- Reactivity
- Human
- Host
- Rabbit
- Conjugate
- Unconjugated
- Isotype
- IgG
- Vial size
- 20ul, 150ul
No comments: Submit comment
Supportive validation
- Submitted by
- Proteintech Group (provider)
- Main image

- Experimental details
- human placenta tissue were subjected to SDS PAGE followed by western blot with 25668-1-AP( FAM105A Antibody) at dilution of 1:300
- Other comments
- WB
Supportive validation
Supportive validation
- Submitted by
- Proteintech Group (provider)
- Main image

- Experimental details
- The FAM105A antibody from Proteintech is a rabbit polyclonal antibody to a fusion protein of human FAM105A. This antibody recognizes human antigen. The FAM105A antibody has been validated for the following applications: ELISA, IHC, WB analysis.
Supportive validation
- Submitted by
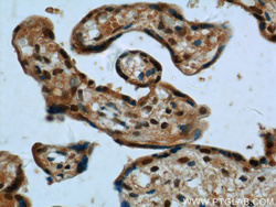
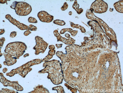
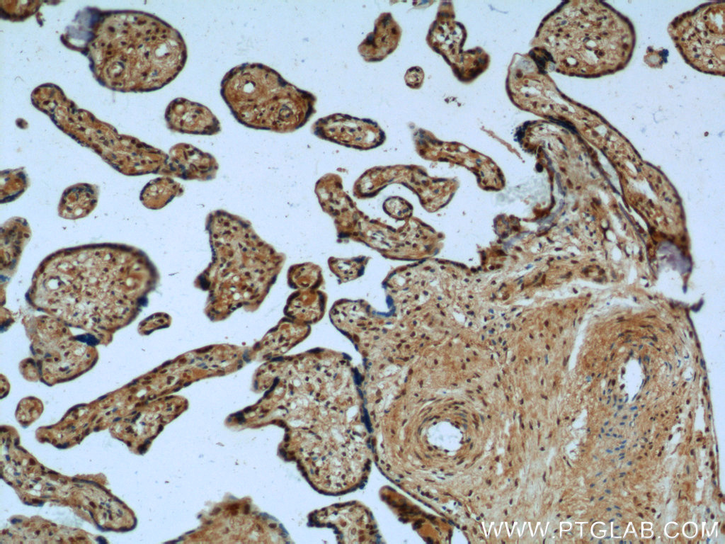
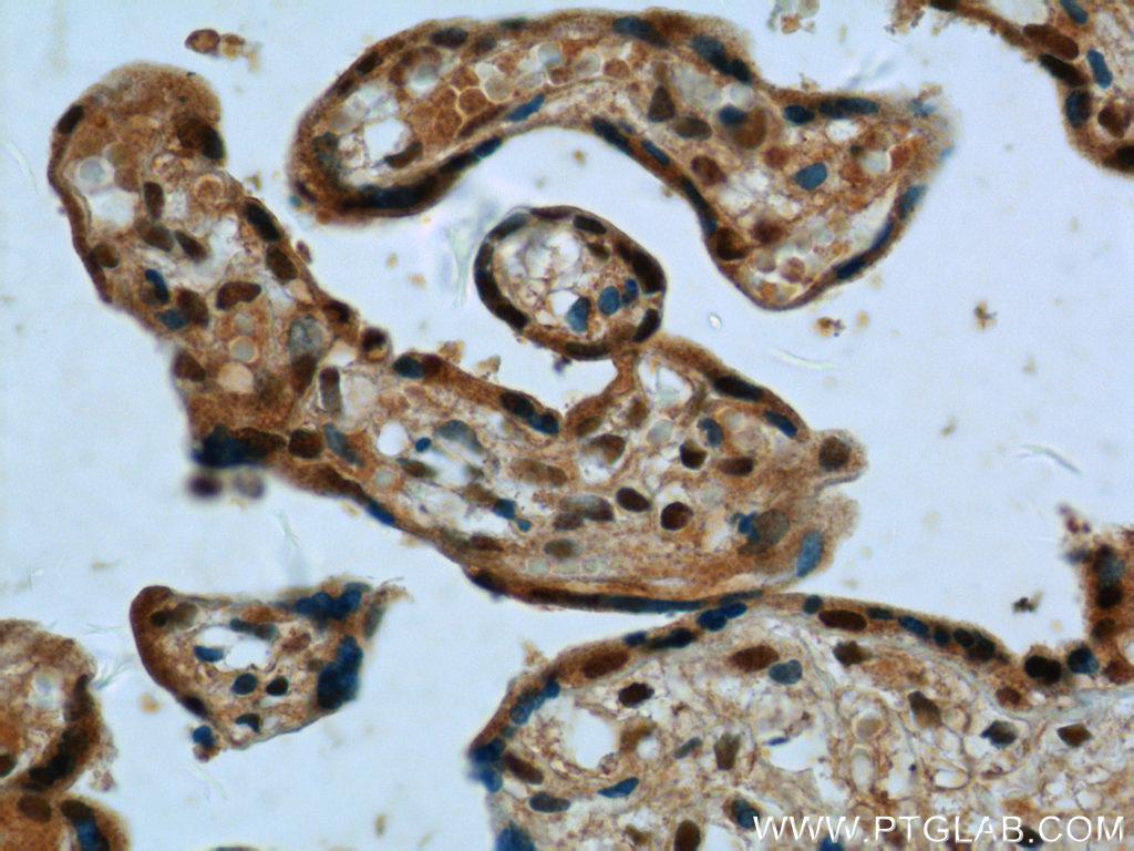
- Proteintech Group (provider)
- Main image

- Experimental details
- Immunohistochemistry of paraffin-embedded human placenta tissue slide using 25668-1-AP( FAM105A Antibody) at dilution of 1:50 (under 10x lens)
- Other comments
- IHC