Antibody data
- Antibody Data
- Antigen structure
- References [0]
- Comments [0]
- Validations
- Western blot [2]
- Immunohistochemistry [2]
Submit
Validation data
Reference
Comment
Report error
- Product number
- 25668-1-AP - Provider product page

- Provider
- Invitrogen Antibodies
- Product name
- FAM105A Polyclonal Antibody
- Antibody type
- Polyclonal
- Antigen
- Other
- Reactivity
- Human
- Host
- Rabbit
- Isotype
- IgG
- Vial size
- 150 µL
- Concentration
- 0.25 mg/mL
- Storage
- -20°C
No comments: Submit comment
Supportive validation
- Submitted by
- Invitrogen Antibodies (provider)
- Main image

- Experimental details
- COLO 320 cells were subjected to SDS PAGE followed by western blot with 25668-1-AP ( FAM105A Antibody) at dilution of 1:300 incubated at room temperature for 1.5 hours.
- Submitted by
- Invitrogen Antibodies (provider)
- Main image

- Experimental details
- Human placenta tissue were subjected to SDS PAGE followed by western blot with 25668-1-AP (FAM105A Antibody) at dilution of 1:300 incubated at room temperature for 1.5 hours.
Supportive validation
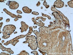
- Submitted by
- Invitrogen Antibodies (provider)
- Main image

- Experimental details
- Immunohistochemistry of paraffin-embedded human placenta tissue slide using 25668-1-AP ( FAM105A Antibody) at dilution of 1:50 (under 10x lens).
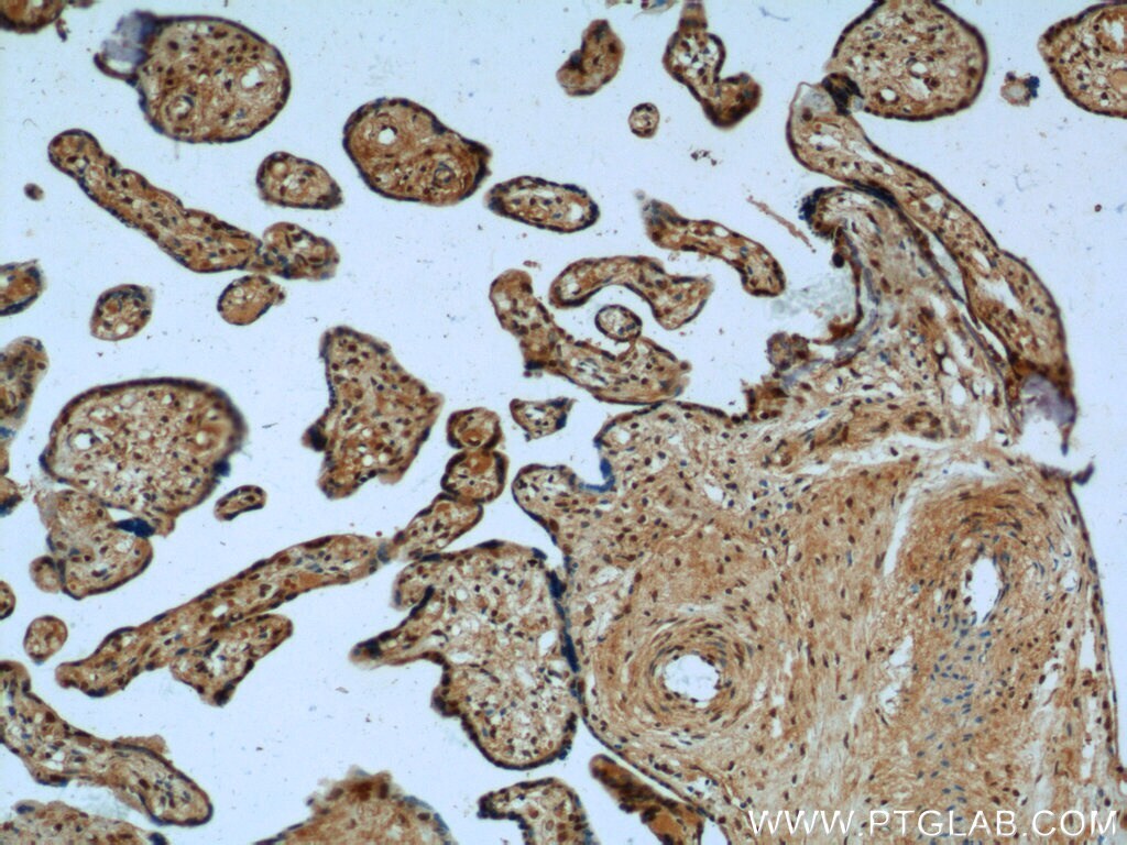
- Submitted by
- Invitrogen Antibodies (provider)
- Main image

- Experimental details
- Immunohistochemistry of paraffin-embedded human placenta tissue slide using 25668-1-AP ( FAM105A Antibody) at dilution of 1:50 (under 40x lens).