Antibody data
- Antibody Data
- Antigen structure
- References [1]
- Comments [0]
- Validations
- Western blot [2]
- Immunohistochemistry [8]
- Flow cytometry [2]
Submit
Validation data
Reference
Comment
Report error
- Product number
- NBP2-00482 - Provider product page

- Provider
- Novus Biologicals
- Product name
- Mouse Monoclonal POLR2E Antibody
- Antibody type
- Monoclonal
- Description
- Affinity purified.
- Reactivity
- Human, Mouse, Rat, Canine, Simian
- Host
- Mouse
- Isotype
- IgG
- Vial size
- 0.1 ml
- Concentration
- 0.9 mg/ml
- Storage
- Store at -20C. Avoid freeze-thaw cycles.
Submitted references BRAF inhibition sensitizes melanoma cells to α-amanitin via decreased RNA polymerase II assembly.
Frischknecht L, Britschgi C, Galliker P, Christinat Y, Vichalkovski A, Gstaiger M, Kovacs WJ, Krek W
Scientific reports 2019 May 23;9(1):7779
Scientific reports 2019 May 23;9(1):7779
No comments: Submit comment
Supportive validation
- Submitted by
- Novus Biologicals (provider)
- Main image

- Experimental details
- Western Blot: POLR2E Antibody (OTI3B5) [NBP2-00482] - Analysis of extracts (35ug) from 9 different cell lines by using anti-POLR2E monoclonal antibody.
- Submitted by
- Novus Biologicals (provider)
- Main image

- Experimental details
- Western Blot: POLR2E Antibody (OTI3B5) [NBP2-00482] - HEK293T cells were transfected with the pCMV6-ENTRY control (Left lane) or pCMV6-ENTRY POLR2E (Right lane) cDNA for 48 hrs and lysed. Equivalent amounts of cell lysates (5 ug per lane) were separated by SDS-PAGE and immunoblotted with anti-POLR2E.
Supportive validation
- Submitted by
- Novus Biologicals (provider)
- Main image

- Experimental details
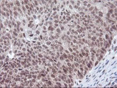
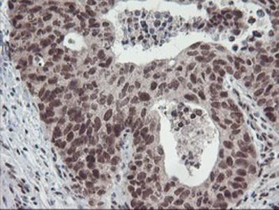
- Immunohistochemistry-Paraffin: POLR2E Antibody (OTI3B5) [NBP2-00482] - Staining of paraffin-embedded Adenocarcinoma of Human endometrium tissue using anti-POLR2E mouse monoclonal antibody.
- Submitted by
- Novus Biologicals (provider)
- Main image

- Experimental details
- Immunohistochemistry-Paraffin: POLR2E Antibody (OTI3B5) [NBP2-00482] - Staining of paraffin-embedded Carcinoma of Human bladder tissue using anti-POLR2E mouse monoclonal antibody.
- Submitted by
- Novus Biologicals (provider)
- Main image

- Experimental details
- Immunohistochemistry-Paraffin: POLR2E Antibody (OTI3B5) [NBP2-00482] - Staining of paraffin-embedded Carcinoma of Human prostate tissue using anti-POLR2E mouse monoclonal antibody.
- Submitted by
- Novus Biologicals (provider)
- Main image

- Experimental details
- Immunohistochemistry-Paraffin: POLR2E Antibody (OTI3B5) [NBP2-00482] - Staining of paraffin-embedded Carcinoma of Human lung tissue using anti-POLR2E mouse monoclonal antibody.
- Submitted by
- Novus Biologicals (provider)
- Main image

- Experimental details
- Immunohistochemistry-Paraffin: POLR2E Antibody (OTI3B5) [NBP2-00482] - Staining of paraffin-embedded Human lymphoma tissue using anti-POLR2E mouse monoclonal antibody.
- Submitted by
- Novus Biologicals (provider)
- Main image

- Experimental details
- Immunohistochemistry-Paraffin: POLR2E Antibody (OTI3B5) [NBP2-00482] - Staining of paraffin-embedded Human pancreas tissue using anti-POLR2E mouse monoclonal antibody.
- Submitted by
- Novus Biologicals (provider)
- Main image

- Experimental details
- Immunohistochemistry-Paraffin: POLR2E Antibody (OTI3B5) [NBP2-00482] - Human tonsil.
- Submitted by
- Novus Biologicals (provider)
- Main image

- Experimental details
- Immunohistochemistry-Paraffin: POLR2E Antibody (OTI3B5) [NBP2-00482] - Staining of paraffin-embedded Human breast tissue using anti-POLR2E mouse monoclonal antibody.
Supportive validation
- Submitted by
- Novus Biologicals (provider)
- Main image

- Experimental details
- Flow Cytometry: POLR2E Antibody (OTI3B5) [NBP2-00482] - Analysis of Jurkat cells, using anti-POLR2E antibody, (Red), compared to a nonspecific negative control antibody (Blue).
- Submitted by
- Novus Biologicals (provider)
- Main image

- Experimental details
- Flow Cytometry: POLR2E Antibody (OTI3B5) [NBP2-00482] - HEK293T cells transfected with either overexpression plasmid (Red) or empty vector control plasmid (Blue) were immunostained by anti-POLR2E antibody, and then analyzed by flow cytometry.