Antibody data
- Antibody Data
- Antigen structure
- References [0]
- Comments [0]
- Validations
- Western blot [4]
- Immunocytochemistry [1]
- Immunohistochemistry [2]
- Other assay [1]
Submit
Validation data
Reference
Comment
Report error
- Product number
- 20461-1-AP - Provider product page

- Provider
- Invitrogen Antibodies
- Product name
- EPS8L2 Polyclonal Antibody
- Antibody type
- Polyclonal
- Antigen
- Other
- Reactivity
- Human, Mouse
- Host
- Rabbit
- Isotype
- IgG
- Vial size
- 150 µL
- Concentration
- 0.29 mg/mL
- Storage
- -20°C
No comments: Submit comment
Supportive validation
- Submitted by
- Invitrogen Antibodies (provider)
- Main image

- Experimental details
- Human placenta tissue were subjected to SDS PAGE followed by western blot with 20461-1-AP (EPS8L2 antibody) at dilution of 1:800 incubated at room temperature for 1.5 hours.
- Submitted by
- Invitrogen Antibodies (provider)
- Main image

- Experimental details
- Jurkat cells were subjected to SDS PAGE followed by western blot with 20461-1-AP (EPS8L2 antibody) at dilution of 1:1500 incubated at room temperature for 1.5 hours.
- Submitted by
- Invitrogen Antibodies (provider)
- Main image

- Experimental details
- HeLa cells were subjected to SDS PAGE followed by western blot with 20461-1-AP (EPS8L2 antibody) at dilution of 1:1500 incubated at room temperature for 1.5 hours.
- Submitted by
- Invitrogen Antibodies (provider)
- Main image

- Experimental details
- Mouse skin tissue were subjected to SDS PAGE followed by western blot with 20461-1-AP (EPS8L2 antibody) at dilution of 1:1500 incubated at room temperature for 1.5 hours.
Supportive validation
- Submitted by
- Invitrogen Antibodies (provider)
- Main image

- Experimental details
- Immunofluorescent analysis of HeLa cells using 20461-1-AP (EPS8L2 antibody) at dilution of 1:25 and Alexa Fluor 488-conjugated AffiniPure Goat Anti-Rabbit IGG (H+L).
Supportive validation
- Submitted by
- Invitrogen Antibodies (provider)
- Main image

- Experimental details
- Immunohistochemistry of paraffin-embedded human placenta using 20461-1-AP (EPS8L2 antibody) at dilution of 1:100 (under 40x lens).
- Submitted by
- Invitrogen Antibodies (provider)
- Main image

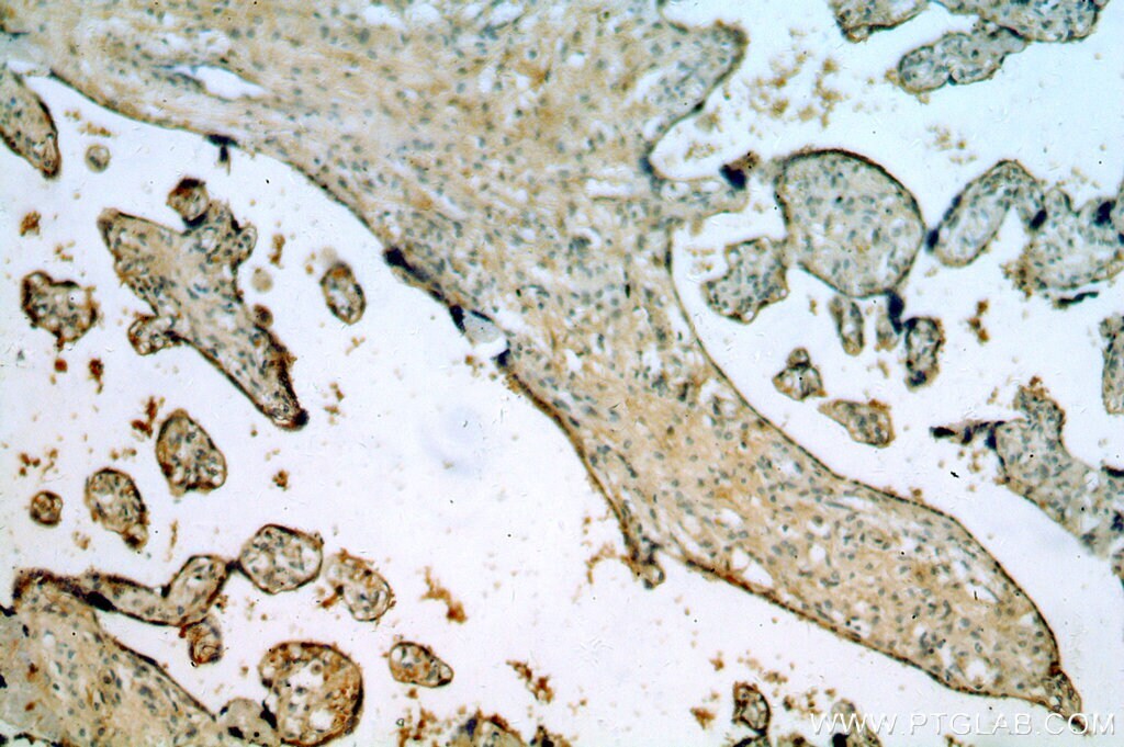
- Experimental details
- Immunohistochemistry of paraffin-embedded human placenta using 20461-1-AP (EPS8L2 antibody) at dilution of 1:100 (under 10x lens).
Supportive validation
- Submitted by
- Invitrogen Antibodies (provider)
- Main image

- Experimental details
- IP result of anti-EPS8L2 (IP:20461-1-AP, 4ug; Detection:20461-1-AP 1:1000) with HeLa cells lysate 3200ug.