Antibody data
- Antibody Data
- Antigen structure
- References [0]
- Comments [0]
- Validations
- Western blot [1]
- Immunohistochemistry [9]
Submit
Validation data
Reference
Comment
Report error
- Product number
- LS-C112400 - Provider product page

- Provider
- LSBio
- Product name
- FOLH1 / PSMA Antibody (clone GCP-04) LS-C112400
- Antibody type
- Monoclonal
- Description
- Purified by protein-A affinity chromatography. Greater than 95% by SDS-PAGE.
- Reactivity
- Human, Mouse, Rat, Porcine
- Host
- Mouse
- Isotype
- IgG
- Antibody clone number
- GCP-04
- Storage
- Store at 2°C to 8°C. Do not freeze.
No comments: Submit comment
Enhanced validation
- Submitted by
- LSBio (provider)
- Enhanced method
- Genetic validation
- Main image

- Experimental details
- Immunostaining of a fragment of human GCPII (aminoacids 44-750) produced in S2 cells on Western blot by GCP-04 monoclonal antibody. Lanes 1, 2, 3 represent 800, 400 and 200 pg of the protein.
Enhanced validation
- Submitted by
- LSBio (provider)
- Enhanced method
- Genetic validation
- Main image

- Experimental details
- Immunohistochemistry of GCPII in human Medulla oblongata by GCP-04 monoclonal antibody. Mag. 40x; positive astrocytes in white matter.
- Submitted by
- LSBio (provider)
- Enhanced method
- Genetic validation
- Main image

- Experimental details
- Immunohistochemistry of GCPII in human prostate by GCP-04 monoclonal antibody. Mag. 400x; positive epithelium of the prostate glands.
- Submitted by
- LSBio (provider)
- Enhanced method
- Genetic validation
- Main image

- Experimental details
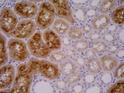
- Immunohistochemistry of GCPII in porcine kidney by GCP-04 monoclonal antibody. Highly positive proximal glomeruli.
- Submitted by
- LSBio (provider)
- Enhanced method
- Genetic validation
- Main image

- Experimental details
- Immunohistochemistry of GCPII in human Medulla oblongata by GCP-04 monoclonal antibody. Mag. 40x; positive astrocytes in white matter.
- Submitted by
- LSBio (provider)
- Enhanced method
- Genetic validation
- Main image

- Experimental details
- Immunohistochemistry of GCPII in human prostate by GCP-04 monoclonal antibody. Mag. 400x; positive epithelium of the prostate glands.
- Submitted by
- LSBio (provider)
- Enhanced method
- Genetic validation
- Main image

- Experimental details
- Immunohistochemistry of GCPII in porcine kidney by GCP-04 monoclonal antibody. Highly positive proximal glomeruli.
- Submitted by
- LSBio (provider)
- Main image

- Experimental details
- Immunohistochemistry of GCPII in human Medulla oblongata by GCP-04 monoclonal antibody. Mag. 40x; positive astrocytes in white matter.
- Submitted by
- LSBio (provider)
- Main image

- Experimental details
- Immunohistochemistry of GCPII in human prostate by GCP-04 monoclonal antibody. Mag. 400x; positive epithelium of the prostate glands.
- Submitted by
- LSBio (provider)
- Main image

- Experimental details
- Immunohistochemistry of GCPII in porcine kidney by GCP-04 monoclonal antibody. Highly positive proximal glomeruli.