Antibody data
- Antibody Data
- Antigen structure
- References [0]
- Comments [0]
- Validations
- Western blot [3]
- Immunocytochemistry [1]
- Immunohistochemistry [8]
- Other assay [1]
Submit
Validation data
Reference
Comment
Report error
- Product number
- UM500025 - Provider product page

- Provider
- OriGene
- Proper citation
- OriGene Cat#UM500025, RRID:AB_2629040
- Product name
- FOLH1 mouse monoclonal antibody,clone UMAB25
- Antibody type
- Monoclonal
- Description
- FOLH1 mouse monoclonal antibody,clone UMAB25
- Reactivity
- Canine
- Host
- Mouse
- Conjugate
- Unconjugated
- Epitope
- FOLH1
- Isotype
- IgG
- Antibody clone number
- UMAB25
- Vial size
- 100 µl
- Concentration
- 0.84mg/ml
No comments: Submit comment
Supportive validation
- Submitted by
- OriGene (provider)
- Main image

- Experimental details
- Western Blot analysis of 10 different human tissue lysates (10ug) by using anti-FOLH1 monoclonal antibody (clone UMAB25, 1:500)
- Validation comment
- WB
- Submitted by
- OriGene (provider)
- Main image

- Experimental details
- Western blot of human tissue lysates (15ug) from 10 different tissues (1: Testis, 2: Omentum, 3: Uterus, 4: Breast, 5: Brain, 6: Thyroid, 7: Colon, 8: Spleen 9: Liver, 10: Ovary). Diluation: 1:500.
- Validation comment
- WB
- Submitted by
- OriGene (provider)
- Main image

- Experimental details
- Western blot of cell lysates (35ug) from MDCK. Diluation: 1:500
- Validation comment
- WB
Supportive validation
- Submitted by
- OriGene (provider)
- Main image

- Experimental details
- Immunofluorescent staining of PC-12 cells using FOLH1 mouse monoclonal antibody (UM500025, green). Actin filaments were labeled with TRITC-phalloidin (red), and nuclear with DAPI (blue). The three-color overlay image is located at the bottom-right corner.
- Validation comment
- IF
Supportive validation
- Submitted by
- OriGene (provider)
- Main image

- Experimental details
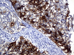
- Immunohistochemical staining of paraffin-embedded Adenocarcinoma of endometrium tissue using anti-FOLH1mouse monoclonal antibody. (Clone UMAB25, dilution 1:100; heat-induced epitope retrieval by 10mM citric buffer, pH6.0, 120C for 3min)
- Validation comment
- IHC
- Submitted by
- OriGene (provider)
- Main image

- Experimental details
- Immunohistochemical staining of paraffin-embedded Adenocarcinoma of ovary tissue using anti-FOLH1mouse monoclonal antibody. (Clone UMAB25, dilution 1:100; heat-induced epitope retrieval by 10mM citric buffer, pH6.0, 120C for 3min)
- Validation comment
- IHC
- Submitted by
- OriGene (provider)
- Main image

- Experimental details
- Immunohistochemical staining of paraffin-embedded Carcinoma of prostate tissue using anti-FOLH1mouse monoclonal antibody. (Clone UMAB25, dilution 1:100; heat-induced epitope retrieval by 10mM citric buffer, pH6.0, 120C for 3min)
- Validation comment
- IHC
- Submitted by
- OriGene (provider)
- Main image

- Experimental details
- Immunohistochemical staining of paraffin-embedded Carcinoma of thyroid tissue using anti-FOLH1mouse monoclonal antibody. (Clone UMAB25, dilution 1:100; heat-induced epitope retrieval by 10mM citric buffer, pH6.0, 120C for 3min)
- Validation comment
- IHC
- Submitted by
- OriGene (provider)
- Main image

- Experimental details
- Immunohistochemical staining of paraffin-embedded Carcinoma of kidney tissue using anti-FOLH1mouse monoclonal antibody. (Clone UMAB25, dilution 1:100; heat-induced epitope retrieval by 10mM citric buffer, pH6.0, 120C for 3min)
- Validation comment
- IHC
- Submitted by
- OriGene (provider)
- Main image

- Experimental details
- Immunohistochemical staining of paraffin-embedded prostate tissue using anti-FOLH1mouse monoclonal antibody. (Clone UMAB25, dilution 1:100; heat-induced epitope retrieval by 10mM citric buffer, pH6.0, 120C for 3min)
- Validation comment
- IHC
- Submitted by
- OriGene (provider)
- Main image

- Experimental details
- Immunohistochemical staining of paraffin-embedded thyroid tissue using anti-FOLH1mouse monoclonal antibody. (Clone UMAB25, dilution 1:100; heat-induced epitope retrieval by 10mM citric buffer, pH6.0, 120C for 3min)
- Validation comment
- IHC
- Submitted by
- OriGene (provider)
- Main image

- Experimental details
- Immunohistochemical staining of paraffin-embedded Kidney tissue using anti-FOLH1mouse monoclonal antibody. (Clone UMAB25, dilution 1:100; heat-induced epitope retrieval by 10mM citric buffer, pH6.0, 120C for 3min)
- Validation comment
- IHC
Supportive validation
- Submitted by
- OriGene (provider)
- Main image

- Experimental details
- OriGene overexpression protein microarray chip was immunostained with UltraMAB anti-FOLH1 mouse monoclonal antibody (Clone UMAB25). The positive reactive proteins are highlighted with two red arrows in the enlarged subarray. All the positive controls spotted in this subarray are also labeled for clarification. These data show that UltraMAB anti-FOLH1 (Clone UMAB25) very specifically recognizes FOLH1 antigen on OriGene protein microarray chip.
- Validation comment
- 10K-CHIP